HOME-Au
HOME-Au
24h
24h
USA
USA
GOP
GOP
Phim Bộ
Phim Bộ
Videoauto
VIDEO-Au
Home Classic
Home Classic
Donation
Donation
News Book
News Book
News 50
News 50
worldautoscroll
WORLD-Au
Breaking
Breaking
 

Go Back   VietBF > Others (Closed Forums) > Archive - Old News 2005-2011 (closed)

 
 
Thread Tools
Default Nhiễm ấu trùng sán lợn: Khoẻ dễ trở thành tàn phế
Old 10-15-2011   #1
johnnydan9
R10 Vô Địch Thiên Hạ
 
johnnydan9's Avatar
 
Join Date: Nov 2007
Location: LCN
Posts: 55,869
Thanks: 40
Thanked 564 Times in 514 Posts
Mentioned: 2 Post(s)
Tagged: 0 Thread(s)
Quoted: 1 Post(s)
Rep Power: 75
johnnydan9 Reputation Uy Tín Level 7johnnydan9 Reputation Uy Tín Level 7
johnnydan9 Reputation Uy Tín Level 7johnnydan9 Reputation Uy Tín Level 7johnnydan9 Reputation Uy Tín Level 7johnnydan9 Reputation Uy Tín Level 7johnnydan9 Reputation Uy Tín Level 7johnnydan9 Reputation Uy Tín Level 7johnnydan9 Reputation Uy Tín Level 7johnnydan9 Reputation Uy Tín Level 7johnnydan9 Reputation Uy Tín Level 7johnnydan9 Reputation Uy Tín Level 7johnnydan9 Reputation Uy Tín Level 7
Theo tin từ Bệnh viện Nhi đồng 1, Bé P. T. A., 20 tháng tuổi, nhà ở Mỏ Cày, Bến Tre do nuốt bóng đèn gây viêm phổi nặng kéo dài, có nhiều mục đục ở cuống phổi bên trái...

Bác sĩ Nguyễn Thị Kim Thoa cho biết, cháu A. nhập viện bệnh viện Nhi Đồng 1 vì ho đã 30 ngày Bé ho và sổ mũi liên tục, thở khò khè khi ngủ.

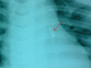
Gia đình cháu A. cho biết, cháu bị ho nhiều gia đình cho cháu uống thuốc có giảm nhưng sau đó lại bị tái lại. Cứ hết thuốc gia đình lại cho cháu đi khám và mua thuốc, rồi nhập vịện tiêm thuốc tại địa phương nhưng không khỏi nên đã đưa đến bệnh viện Nhi đồng 1. Tại bệnh viện, các bác sĩ thấy cháu có những dấu hiệu nghi viêm phổi và cho chụp phim X quang phổi.

Kết quả là tình trạng phổi bị viêm ở cả 2 bên, bên phổi trái còn bị xẹp một phần. Chụp phim kiểm tra lại giúp xác định được có hình ảnh vật kim khí trong lồng ngực bên trái.

Nội soi đường thở thì thấy có nhiều mủ đục ở cuống phổi bên trái. Ở giữa ổ mủ gắp ra được một bóng đèn điện nhỏ, lọai đèn trang trí làm đẹp nhà cửa.

Khi phát hiện có kim khi trong phổi, mẹ cháu A. mới nhớ lại đã để cháu nhặt chơi bóng đèn trong lúc cả nhà đang chuẩn bị ngày Lễ vừa qua. Sau khi cháu ngậm nuốt phải không thấy có biểu hiện gì lạ nên không đưa đi khám bệnh.

Bác sĩ Nguyễn Thị Kim Thoa cảnh báo, để đề phòng tai nạn nuốt dị vật ở trẻ em nhỏ, các bậc phụ huynh phải luôn để mắt đến bé trong lúc chơi, nhất là trong lúc dọn dẹp, trang hòang nhà cửa. Không cho trẻ chơi bất kỳ vật nhỏ nào không để trẻ nuốt phải khi vô tình đưa vào miệng ngậm mút. Nếu phát hiện hoặc nghi ngờ trẻ nuốt vật lạ vào miệng phải đưa đến cơ sở y tế để được xử lý kịp thời.
(Báo vnmedia.vn)
johnnydan9_is_offline  
Attached Thumbnails
Click image for larger version

Name:	787321_1S.JPG
Views:	11
Size:	37.6 KB
ID:	324854  
 
User Tag List


Chiến lược an ninh mới của Trump: Hạ giọng với Trung Quốc, đặt cược tất tay vào kinh tế và lá bài Đài Loan Kho ảnh mới từ dinh thự Jeffrey Epstein: Bóng dáng giới quyền lực và cuộc đấu Trump – Quốc hội Mỹ Cây chổi cho Donald Trump
Nước Mỹ Trump đang kéo châu Âu đi đâu? Nền kinh tế chữ K: 79 ngàn tỷ đô bị “ăn cắp” khỏi túi người lao động Mỹ Khi Trump “đại tu” FEMA và tấn công các cơ quan độc lập
Ukraine đánh thẳng vào “cây ATM năng lượng” của Nga, NATO cảnh báo: chiến tranh đã ở ngay trước cửa Tyler Robinson lần đầu trực tiếp xuất hiện trước tòa: Vụ ám sát Charlie Kirk và câu hỏi về thù hận chính trị ở nước Mỹ Chính quyền Trump chính thức mở trang mạng để bán "thẻ vàng định cư"
Ba người Việt bị ICE bắt ở New Orleans: Từ giấc mơ Mỹ đến nguy cơ bị trục xuất Hai anh em sinh đôi trở về Việt Nam tìm mẹ ruột sau 24 năm và người mẹ Mỹ mang trái tim Bồ Tát Cuối năm phố tắt đèn: Cơn sóng trả mặt bằng và tiếng thở dài của tiểu thương
Tin đồn ông Nguyễn Xuân Phúc xin qua Mỹ định cư: Tấm thẻ đảng và cánh cửa di trú Hoa Kỳ Netflix tung đòn 28 USD/cổ phiếu: Trận quyết đấu cuối cùng của ‘chiến tranh streaming’? Cơn sốc 50.000 USD: Mua xe mới ở Mỹ sắp thành xa xỉ phẩm?
Làn sóng hủy show Nhật Bản ở Trung Quốc: Khi chính trị tắt đèn sân khấu Mãn kinh – chương đời bị bỏ quên của một nửa nhân loại Cuộc họp nội các thật hỗn loạn của ông Trump
Miền Trung chết đuối trong hai chữ “đúng quy trình” Nhật Bản thời Takaichi: Khi Tokyo thôi “hiền lành” và trở thành đối trọng cứng rắn với Bắc Kinh Từ lũ dữ miền Trung đến “Công ước Hà Nội”: Khi khế ước xã hội bị xé bỏ
Phú Yên không còn quan tài: Tiếng khóc giữa đại hồng thủy và những chuyến xe chở tình người Mafia công nghệ 4.0: Từ vụ Alice Guo đến cuộc cạnh tranh quyền lực ngầm ở Đông Nam Á Người đàn ông mang trạm sạc đến nối lại tin tức giữa vùng lũ
“Lũ nhân tạo” ở Việt Nam: Khi dòng sông bị bẻ cong vì thủy điện Đêm 19-11 và tiếng kêu giữa lũ dữ: Khi “đúng quy trình” nhấn chìm niềm tin của dân Lời nói dối “người Mỹ không làm việc này” và cái giá của cả một quốc gia
Đức dựng lại “đạo quân mạnh nhất châu Âu”: Tham vọng của Merz và nỗi lo nghĩa vụ quân sự Thích Trí Quang: Từ “vì đạo pháp và dân tộc” đến 44 năm im lặng Khi Bắc Kinh dọa “chặt đầu” bà đầm thép Sanae Takaichi
Trump hô tội “phản loạn, xử tử hình” 6 dân biểu Dân Chủ: chính trường Mỹ trượt sát lằn ranh bạo lực Ukraine giữa gọng kìm: Kế hoạch hòa bình của Trump và bóng ma drone Rubicon trên bầu trời chiến tranh Kinh tế Mỹ “chạy hết ga, nhưng ghế trống”: Nỗi lo suy thoái không việc làm dưới thời Trump
Hai thẩm phán liên bang chặn lệnh Trump “bóp cổ” ngân sách cứu trợ thiên tai để ép bỏ DEI và hỗ trợ di trú Đêm lũ cuốn trôi Camp Mystic: từ bức vẽ ám ảnh của bé Lulu đến 27 sinh mạng nhỏ bị bỏ rơi Từ cái chết Pamela Genini đến bóng tối đè lên phụ nữ Ý dưới thời Giorgia Meloni

 
Lên đầu Xuống dưới Lên 3000px Xuống 3000px

iPad Videos Portal Autoscroll

VietBF Music Portal Autoscroll

iPad News Portal Autoscroll

VietBF Homepage Autoscroll

VietBF Video Autoscroll Portal

USA News Autoscroll Portall

VietBF WORLD Autoscroll Portal

Home Classic

Super Widescreen

iPad World Portal Autoscroll

iPad USA Portal Autoscroll

Phim Bộ Online

Tin nóng nhất 24h qua

Tin nóng nhất 3 ngày qua

Tin nóng nhất 7 ngày qua

Tin nóng nhất 30 ngày qua

Albums

Total Videos Online
Lên đầu Xuống dưới Lên 3000px Xuống 3000px

Tranh luận sôi nổi nhất 7 ngày qua

Tranh luận sôi nổi nhất 14 ngày qua

Tranh luận sôi nổi nhất 30 ngày qua

10.000 Tin mới nhất

Tin tức Hoa Kỳ

Tin tức Công nghệ
Lên đầu Xuống dưới Lên 3000px Xuống 3000px

Super News

School Cooking Traveling Portal

Enter Portal

Series Shows and Movies Online

Home Classic Master Page

Donation Ủng hộ $3 cho VietBF
Lên đầu Xuống dưới Lên 3000px Xuống 3000px
Diễn Đàn Người Việt Hải Ngoại. Tự do ngôn luận, an toàn và uy tín. Vì một tương lai tươi đẹp cho các thế hệ Việt Nam hãy ghé thăm chúng tôi, hãy tâm sự với chúng tôi mỗi ngày, mỗi giờ và mỗi giây phút có thể. VietBF.Com Xin cám ơn các bạn, chúc tất cả các bạn vui vẻ và gặp nhiều may mắn.
Welcome to Vietnamese American Community, Vietnamese European, Canadian, Australian Forum, Vietnamese Overseas Forum. Freedom of speech, safety and prestige. For a beautiful future for Vietnamese generations, please visit us, talk to us every day, every hour and every moment possible. VietBF.Com Thank you all and good luck.

Lên đầu Xuống dưới Lên 3000px Xuống 3000px

All times are GMT. The time now is 05:56.
VietBF - Vietnamese Best Forum Copyright ©2005 - 2025
User Alert System provided by Advanced User Tagging (Pro) - vBulletin Mods & Addons Copyright © 2025 DragonByte Technologies Ltd.
Log Out Unregistered

Page generated in 0.11315 seconds with 13 queries