HOME-Au
HOME-Au
24h
24h
USA
USA
GOP
GOP
Phim Bộ
Phim Bộ
Videoauto
VIDEO-Au
Home Classic
Home Classic
Donation
Donation
News Book
News Book
News 50
News 50
worldautoscroll
WORLD-Au
Breaking
Breaking
 

Go Back   VietBF > World Box| Thế Giới > Vietnam News | Tin Việt Nam


Reply
 
Thread Tools
  #1  
Old  Default Ông Việt kiều tử vong sau cú hắt xì vì kiên quyết làm 1 điều
Nam bệnh nhân là Việt kiều Úc bất ngờ rơi vào hôn mê sau khi hắt xì. Dù được bác sĩ hết lòng điều trị nhưng bệnh nhân đã không thể qua khỏi.

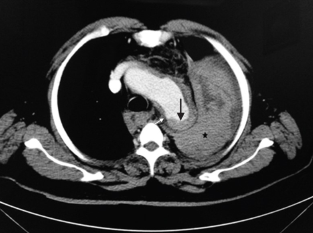
Bác sĩ Nguyễn Minh Đức – Giảng viên Trường Đại học Y Phạm Ngọc Thạch (TPHCM), trước đó, bệnh nhân đến bệnh viện khám do có các triệu chứng của rối loạn tiêu hóa. Tuy nhiên, trong quá trình khám bệnh, bác sĩ đã phát hiện bệnh nhân bị phình động mạch chủ ngực, kích thước lên tới 50mm.

Bác sĩ tư vấn bệnh nhân can thiệp điều trị đặt stent graft ngay vì có nguy cơ vỡ túi phình động mạch chủ ngực nhưng bệnh nhân mong muốn là quay trở lại Úc điều trị. Dù được bác sĩ giải thích về những nguy cơ có thể xảy ra vỡ túi phình, thậm chí có thể nguy kịch tới tính mạng nhưng bệnh nhân vẫn nhất quyết từ chối điều trị và đặt vé máy bay về Úc.

Tuy nhiên, chưa kịp bay thì ngay hôm sau, bệnh nhân đã phải nhập viện cấp cứu trong tình trạng hôn mê. Theo người nhà, người bệnh đã bất tỉnh sau một cú hắt xì. Qua kết quả chụp CT, bác sĩ xác định bệnh nhân bị vỡ túi phình, khiến người bệnh sốc và tử vong ngay sau đó.


Bác sĩ Đức cho biết, trường hợp như bệnh nhân Việt kiều trên không phải hiếm gặp. Trước đó, bác sĩ đã từng chứng kiến một đồng nghiệp tử vong sau cú hắt hơi. Người bệnh là một bác sĩ ngành chấn thương chỉnh hình ở TPHCM. Vị bác sĩ này khám và phát hiện phình động mạch ngực, túi phình 45mm nhưng chưa muốn điều trị.

Sau đó vị bác sĩ này khi bị cảm cúm, bệnh nhân hắt xì và gặp biến chứng vỡ phình động mạch chủ ngực rồi tử vong ở tuổi 60.

Theo bác sĩ Đức, động mạch chủ là mạch máu lớn nhất trong cơ thể, xuất phát từ tim và đưa máu giàu oxy đến các cơ quan khác như ngực, bụng, tứ chi... Phình động mạch chủ ngực là tình trạng một đoạn động mạch chủ chạy qua ngực bị tổn thương, dần suy yếu, phình to ra.

Khi hắt hơi, người bệnh sẽ lấy hơi bụng đẩy lên, gây áp lực lên động mạch chủ ngực. Động mạch đang phình căng như bóng bay khi bị tác dụng lực sẽ rất dễ vỡ, dẫn đến chảy máu ồ ạt vào tim, phổi gây sốc và người bệnh có nguy cơ tử vong rất cao.

Biến chứng nguy hiểm của phình động mạch

Bác sĩ Nguyễn Minh Đức cho biết phình động mạch rất nguy hiểm nếu không được can thiệp và xử lý kịp thời. Người bệnh có thể gặp những biến chứng như: Vỡ mạch tại vị trí phình, có thể gây tử vong; Tắc động mạch ngoại vi cấp tính; Phình động mạch chủ dọa vỡ; Tách thành động mạch chủ; Viêm quanh túi phình.

Theo bác sĩ Đức, phình động mạch chủ có nguy có xảy ra ở những bệnh nhân tăng huyết áp, đái tháo đường, rối loạn mỡ máu. Để phát hiện phình động mạch chủ bác sĩ sẽ chỉ định chụp mạch, siêu âm. Để phòng bệnh, người dân có thể xây dựng chế độ ăn uống tốt cho sức khỏe tim mạch, không tiếp xúc với thuốc lá, hạn chế uống rượu, ngủ đủ giấc, tránh stress - thức khuya và tập luyện thường xuyên.
VIETBF Diễn Đàn Hay Nhất Của Người Việt Nam

HOT NEWS 24h

HOT 3 Days

NEWS 3 Days

HOT 7 Days

NEWS 7 Days

HOME

Breaking News

VietOversea

World News

Business News

Car News

Computer News

Game News

USA News

Mobile News

Music News

Movies News

History

Thơ Ca

Sport News

Stranger Stories

Comedy Stories

Cooking Chat

Nice Pictures

Fashion

School

Travelling

Funny Videos

Canada Tin Hay

USA Tin Hay

VietBF Homepage Autoscroll

VietBF Video Autoscroll Portal

Home Classic

Home Classic Master Page



nguoiduatinabc
R10 Vô Địch Thiên Hạ
Release: 04-02-2025
Reputation: 22130


Profile:
Join Date: Apr 2016
Posts: 81,661
Last Update: None Rating: None
Attached Thumbnails
Click image for larger version

Name:	4.PNG
Views:	0
Size:	243.5 KB
ID:	2509335  
nguoiduatinabc_is_offline
Thanks: 168
Thanked 5,400 Times in 4,375 Posts
Mentioned: 4 Post(s)
Tagged: 0 Thread(s)
Quoted: 29 Post(s)
Rep Power: 92
nguoiduatinabc Reputation Uy Tín Level 7nguoiduatinabc Reputation Uy Tín Level 7
nguoiduatinabc Reputation Uy Tín Level 7nguoiduatinabc Reputation Uy Tín Level 7nguoiduatinabc Reputation Uy Tín Level 7nguoiduatinabc Reputation Uy Tín Level 7nguoiduatinabc Reputation Uy Tín Level 7nguoiduatinabc Reputation Uy Tín Level 7nguoiduatinabc Reputation Uy Tín Level 7nguoiduatinabc Reputation Uy Tín Level 7nguoiduatinabc Reputation Uy Tín Level 7nguoiduatinabc Reputation Uy Tín Level 7nguoiduatinabc Reputation Uy Tín Level 7nguoiduatinabc Reputation Uy Tín Level 7nguoiduatinabc Reputation Uy Tín Level 7
Reply

User Tag List


Cuộc đua gom vàng của ngân hàng trung ương và ‘khối cầu’ 47.000 tỉ USD Đằng sau nội các Trump: Những người vợ kể chuyện “đội ngũ lớn” trong Tòa Bạch Ốc Kim Jong Un ôm lính thương tật, tung hô ‘anh hùng’ Bắc Hàn trở về từ chiến trường Kursk
Con trai của nhà hoạt động cộng đồng, nữ MC Mã Tiểu Linh qua đời “Lời chúc bất hạnh” của Chánh án John Roberts: Bài học trưởng thành không ai dạy chúng ta ở trường Đừng biến ICE thành “con ngáo ộp”: Hiểu luật để bớt sợ và biết tự bảo vệ mình
Westminster dậy sóng vì con đường “Charlie Kirk Way”: Dân phản đối, hội đồng vẫn phớt lờ Thăm nước Mỹ thời Trump: Từ dĩa cơm tấm Cali đến bi kịch Melissa Trần Vua Charles III và hành trình ung thư: Khi nhà vua nói về nỗi sợ, hy vọng và “phép màu” phát hiện sớm
Bi kịch quán bún ốc Trần Hưng Đạo: 3 mẹ con chết ngạt sau cửa cuốn khóa kín ‘America Alone’ – Khi Trump vẽ lại trật tự thế giới theo cách của mình Cuộc chơi liều lĩnh của Trump với Tu chính án 14 và quyền có quốc tịch khi chào đời
LeBron James: Chấp nhận đánh mất kỷ lục 1.297 trận chỉ để làm một đường chuyền đúng Ciel Tower – khách sạn cao nhất thế giới Chiếc nhẫn cưới ‘mất tích’ và nghi ngờ Phó Tổng Thống Mỹ bỏ cô vợ Ấn Độ
Karoline Leavitt: Từ ‘thánh cô nói láo’ đến biểu tượng của Trump 2.0 Bong bóng AI, khí hậu nổi giận và năm 2026 Khi Vingroup phải vay trái phiếu lãi 12%: Phao cứu sinh hay bước đi liều mạng?
Từ Geneva đến Kyiv: Kế hoạch 28 điểm của Trump và thế lưỡng nan của Ukraine Nước Nga trên ván bài cuối: biết không thể thắng nhưng vẫn lao vào cuộc chiến đến cùng Tiền thuế đã đi đâu, khi dân miền Trung đói rét trên nóc nhà chờ chết?
Nellie Bly – 72 ngày vòng quanh thế giới và cú đòn vào mọi định kiến về phụ nữ “Góa phụ đen” ở nước Nga: khi cái chết của người lính trở thành một mô hình kinh doanh Lá thư cuối của Kurt Vonnegut: hãy sáng tạo chỉ để tâm hồn mình lớn lên
Trung Quốc vỡ trận công nghiệp: khi “Made in China” bước vào thập niên suy thoái mới Bốn ngày trên nóc nhà: khi người dân miền Trung thực sự bị bỏ rơi giữa lũ dữ Không một lời cảnh báo: Miền Trung chết chìm trong lũ thủy điện “đúng quy trình”
Biệt kích Chung Tử Ngọc – Từ ngọn đồi lửa đạn đến sáu năm lao tù cộng sản Một mạng người đáng giá bao nhiêu – từ vụ tai nạn ở California đến những xác người trong lũ Việt Nam Mercury – đoàn tàu Art Deco biến tốc độ thành cái đẹp hữu hình
Hoa Kỳ-Ukraine đạt sự đồng thuận cho kế hoạch hòa bình với 19 điểm mới Tấm chăn thơ rách nát giữa địa ngục cộng sản – từ hố xí tập thể đến bến bờ tị nạn Morgan Geyser trốn khỏi giám sát: Bóng ma Slender Man trở lại sau vụ đâm bạn 19 nhát chấn động nước Mỹ
New Delhi ngạt thở: Khi Pháo đài Đỏ hóa đen và người dân chỉ còn ước được… hít thở Red Bull – từ lon nước vàng ở Bangkok đến đế chế nội dung làm thay đổi thế giới Kế hoạch 28 điểm của Trump: Hoà bình cho Ukraine hay bản hợp đồng nhượng bộ cho Nga?

 
Lên đầu Xuống dưới Lên 3000px Xuống 3000px

iPad Videos Portal Autoscroll

VietBF Music Portal Autoscroll

iPad News Portal Autoscroll

VietBF Homepage Autoscroll

VietBF Video Autoscroll Portal

USA News Autoscroll Portall

VietBF WORLD Autoscroll Portal

Home Classic

Super Widescreen

iPad World Portal Autoscroll

iPad USA Portal Autoscroll

Phim Bộ Online

Tin nóng nhất 24h qua

Tin nóng nhất 3 ngày qua

Tin nóng nhất 7 ngày qua

Tin nóng nhất 30 ngày qua

Albums

Total Videos Online
Lên đầu Xuống dưới Lên 3000px Xuống 3000px

Tranh luận sôi nổi nhất 7 ngày qua

Tranh luận sôi nổi nhất 14 ngày qua

Tranh luận sôi nổi nhất 30 ngày qua

10.000 Tin mới nhất

Tin tức Hoa Kỳ

Tin tức Công nghệ
Lên đầu Xuống dưới Lên 3000px Xuống 3000px

Super News

School Cooking Traveling Portal

Enter Portal

Series Shows and Movies Online

Home Classic Master Page

Donation Ủng hộ $3 cho VietBF
Lên đầu Xuống dưới Lên 3000px Xuống 3000px
Diễn Đàn Người Việt Hải Ngoại. Tự do ngôn luận, an toàn và uy tín. Vì một tương lai tươi đẹp cho các thế hệ Việt Nam hãy ghé thăm chúng tôi, hãy tâm sự với chúng tôi mỗi ngày, mỗi giờ và mỗi giây phút có thể. VietBF.Com Xin cám ơn các bạn, chúc tất cả các bạn vui vẻ và gặp nhiều may mắn.
Welcome to Vietnamese American Community, Vietnamese European, Canadian, Australian Forum, Vietnamese Overseas Forum. Freedom of speech, safety and prestige. For a beautiful future for Vietnamese generations, please visit us, talk to us every day, every hour and every moment possible. VietBF.Com Thank you all and good luck.

Lên đầu Xuống dưới Lên 3000px Xuống 3000px

All times are GMT. The time now is 22:54.
VietBF - Vietnamese Best Forum Copyright ©2005 - 2025
User Alert System provided by Advanced User Tagging (Pro) - vBulletin Mods & Addons Copyright © 2025 DragonByte Technologies Ltd.
Log Out Unregistered

Page generated in 0.12963 seconds with 13 queries