HOME-Au
HOME-Au
24h
24h
USA
USA
GOP
GOP
Phim Bộ
Phim Bộ
Videoauto
VIDEO-Au
Home Classic
Home Classic
Donation
Donation
News Book
News Book
News 50
News 50
worldautoscroll
WORLD-Au
Breaking
Breaking
 

Go Back   VietBF > World Box| Thế Giới > World News|Tin Thế Giới > World News |Tin Thế Giới 2021-2023


 
 
Thread Tools
  #1  
Old  Default Tiết lộ nguyên nhân khiến nhiều trẻ em Mỹ tử vong nhờ ảnh X-quang
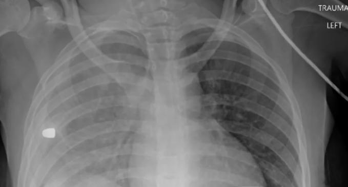
Ảnh X-quang tiết lộ nguyên nhân khiến nhiều trẻ em Mỹ tử vong. Ảnh chụp X-quang được một bác sĩ chia sẻ cho thấy các sự cố liên quan súng đạn là nguyên nhân gây tử vong hàng đầu cho trẻ em Mỹ.

Hôm 28/3, bác sĩ Sam Ghali, làm việc tại khoa Cấp cứu, Trung tâm Y tế Đại học Toledo, đă đăng bức ảnh chụp X-quang lồng ngực của một thiếu niên lên Twitter, cho thấy phổi của bệnh nhân dường như có dị vật. Ông đề nghị mọi người đoán nguyên nhân.

"Đây là phim chụp X-quang lồng ngực của một thiếu niên đang phải gánh chịu một t́nh trạng - hiện là nguyên nhân gây tử vong số một ở trẻ em và thanh thiếu niên Mỹ. Bạn hăy thử chẩn đoán xem?", ông đặt câu hỏi.

Sau đó, vị bác sĩ tiết lộ dị vật trong phim chụp X-quang này là một viên đạn, găm vào lồng ngực thiếu niên sau sự cố liên quan súng đạn. Danh tính nạn nhân không được tiết lộ. Theo bác sĩ Ghali, đây cũng là nguyên nhân số một khiến nhiều trẻ em Mỹ qua đời trong thời gian qua.

H́nh ảnh được đăng tải cùng ngày nước Mỹ trải qua vụ xả súng hàng loạt thứ 130 trong năm, sau khi một tay súng xông vào trường tiểu học tại Nashville và giết chết 6 người, ba trong số đó là trẻ em. Audrey Elizabeth Hale, 28 tuổi, được cho là cựu học sinh của trường và đă bị các sĩ quan cảnh sát bắn hạ.

Theo Cơ quan Lưu trữ Bạo lực Súng đạn, một vụ xả súng hàng loạt xảy ra khi ít nhất một phần tư số người ở hiện trường bị bắn, không kể người xả súng. Với định nghĩa đó, số vụ xả súng hàng loạt vào ba tháng đầu năm 2023 tăng 100 vụ so với cùng kỳ năm ngoái, trong đó ba vụ nhắm vào các trường học.

Tổng thống Joe Biden đă kêu gọi chấm dứt bạo lực súng đạn, gọi vụ xả súng mới nhất là sự kiện "đau ḷng", "cơn ác mộng tồi tệ nhất của một gia đ́nh".

Phát biểu với truyền thông ở Bắc Carolina, ông cho biết đất nước đang phải đối mặt với dịch bệnh xả súng. "Khi bắt đầu trở thành chính khách, tôi chưa từng nghĩ súng đạn sẽ là nguyên nhân số một khiến trẻ em tử vong ở Mỹ. Thật đáng sợ", ông nói.

Mảnh đạn trong ngực trái của một bé gái tại Mỹ. Ảnh: Sam Ghali
Mảnh đạn trong ngực trái của một trẻ em gái tại Mỹ. Ảnh: Sam Ghali

Theo dữ liệu Trung tâm Kiểm soát và Pḥng ngừa Dịch bệnh (CDC) công bố vào năm ngoái, các thương tích do súng gây ra là nguyên nhân tử vong hàng đầu ở người từ 1 đến 19 tuổi.

Trước đó, tỷ lệ tăng đều đặn kể từ năm 2015 đến năm 2019. Mức tăng mạnh 13,5% được ghi nhận vào năm 2020. Trong các trường hợp tử vong do súng, gần 60% là các vụ giết người, 35% là do tự sát.

Đứng thứ hai trong danh sách các nguyên nhân gây tử vong ở trẻ em và vị thành niên Mỹ là tai nạn giao thông, tiếp theo là ung thư, ngạt thở (do tai nạn hoặc cố ư).

VietBF@ sưu tập
VIETBF Diễn Đàn Hay Nhất Của Người Việt Nam

HOT NEWS 24h

HOT 3 Days

NEWS 3 Days

HOT 7 Days

NEWS 7 Days

HOME

Breaking News

VietOversea

World News

Business News

Car News

Computer News

Game News

USA News

Mobile News

Music News

Movies News

History

Thơ Ca

Sport News

Stranger Stories

Comedy Stories

Cooking Chat

Nice Pictures

Fashion

School

Travelling

Funny Videos

Canada Tin Hay

USA Tin Hay

VietBF Homepage Autoscroll

VietBF Video Autoscroll Portal

Home Classic

Home Classic Master Page



pizza
R11 Tuyệt Thế Thiên Hạ
Release: 03-29-2023
Reputation: 237152


Profile:
Join Date: Sep 2014
Posts: 106,839
Last Update: None Rating: None
Attached Thumbnails
Click image for larger version

Name:	51.jpg
Views:	0
Size:	19.9 KB
ID:	2198199  
pizza is_online_now
Thanks: 7
Thanked 8,105 Times in 7,215 Posts
Mentioned: 6 Post(s)
Tagged: 0 Thread(s)
Quoted: 41 Post(s)
Rep Power: 129
pizza Reputation Uy Tín Level 10pizza Reputation Uy Tín Level 10pizza Reputation Uy Tín Level 10pizza Reputation Uy Tín Level 10pizza Reputation Uy Tín Level 10pizza Reputation Uy Tín Level 10pizza Reputation Uy Tín Level 10
pizza Reputation Uy Tín Level 10pizza Reputation Uy Tín Level 10pizza Reputation Uy Tín Level 10pizza Reputation Uy Tín Level 10pizza Reputation Uy Tín Level 10pizza Reputation Uy Tín Level 10pizza Reputation Uy Tín Level 10pizza Reputation Uy Tín Level 10pizza Reputation Uy Tín Level 10pizza Reputation Uy Tín Level 10pizza Reputation Uy Tín Level 10pizza Reputation Uy Tín Level 10pizza Reputation Uy Tín Level 10pizza Reputation Uy Tín Level 10pizza Reputation Uy Tín Level 10pizza Reputation Uy Tín Level 10pizza Reputation Uy Tín Level 10pizza Reputation Uy Tín Level 10pizza Reputation Uy Tín Level 10pizza Reputation Uy Tín Level 10pizza Reputation Uy Tín Level 10pizza Reputation Uy Tín Level 10
 
User Tag List


Thời mafia lộng hành: Donald Trump và Vladimir Putin biến nền ngoại giao cổ điển trở thành chuyện làm ăn Sáu câu hỏi của thế hệ sau chiến tranh: Giải phóng ai, giải phóng khỏi điều ǵ? Báo động ngành nails: 5 người bị bắt, 2 tiệm niêm phong, chủ đối mặt án tù v́ thuê người không giấy tờ
VinFast ở North Carolina đứng trước nguy cơ bị “thu hồi đất vàng”, Vingroup quay xe sang Ấn Độ với canh bạc 3 tỷ USD Bệnh khoe của và cơn nghiện “chứng tỏ ḿnh” của người Việt thời mạng xă hội Khi Nhật Bản đứng trước cám dỗ hạt nhân: Bao lâu nữa Tokyo phải tự vơ trang?
Sài G̣n “chập mạch” dễ thương: thành phố không thiếu tiền, chỉ dư t́nh người Zelensky tuyên bố sẵn sàng bầu cử giữa làn đạn, bác cáo buộc “trốn phiếu” của Trump Lời hứa muộn màng của người lính cũ
Khi doanh nghiệp Mỹ nổi loạn v́ thuế quan Trump muốn học mô h́nh hưu trí “super” của Úc: Bắt buộc tiết kiệm cho tuổi già Từ cô thợ nails tị nạn đến chủ nhân căn nhà đắt nhất Atlanta
Thuế mới, phố vắng, chợ buồn: Nếu tiểu thương gục ngă, ai bán hàng cho 100 triệu dân? K+ khép lại sau 16 năm: Đế chế bóng đá trả tiền tàn cuộc chơi Người Vợ Lực Lượng Đặc Biệt – Hồi ức về Thiếu Tá Hồ Đăng Nhựt trong mùa Quốc Nạn
Viên tướng nhỏ thó gánh oan khiên Mậu Thân John Riordan – người Mỹ quay lại Sài G̣n để cứu 105 người Việt Evergrande: Từ đế chế số 1 đến quả bom nợ – Bài học nào cho Việt Nam?
Campuchia: Từ Thiên Đường Angkor Đến “Công Xưởng Tội Phạm” Của Mafia Trung Quốc Cuộc Xâm Lược Cuối Cùng Của Trung Quốc Và Trang Sử Bị Xóa Khỏi Kư Ức Việt Nam V́ Sao Số Nhà Ở Mỹ “Nhảy Cóc”? Giải Mă Từ House Number Đến ZIP Code
David Thái, Highlands Coffee Và Những Hành Tŕnh “Đi Rồi Trở Về” Của Thuyền Nhân Việt V́ Sao Quân Đội Trung Quốc Không Đảo Chính? “Đảng Chỉ Huy Quân Đội” Và Nỗi Sợ Được Thể Chế Hóa Tâm Lư Vọng Ngoại Và Căn Bệnh “Bụt Nhà Không Thiêng”
Từ Giọt Nước Mắt Của Mẹ Đến Đế Chế Zara: Hành Tŕnh Của Amancio Ortega “Tâm Hồn Nga” Và Cơn Say Đế Quốc: Từ Crimea Đến Putin “Bên kia vĩ tuyến” và lời tự thú của một Bắc Kỳ 1985
Hiệu ứng Elon Musk: Khi một CEO “tham chính” làm Tesla mất hơn một triệu chiếc xe Điện thoại – phát minh bắt đầu từ một lời gọi yêu thương Thứ trưởng Cao Hùng và nỗi buồn ḥa hợp dân tộc: Không thể không nói
Mười phát minh vĩ đại của người Hồi giáo đă âm thầm làm nên thế giới hiện đại Bẻ găy “chiến dịch” báng bổ tiền nhân: Lịch sử Việt Nam giữa hai cách kể Từ “janitor da đen” đến người cứu sống vạn “em bé xanh”
Cơn mê “phục sinh Liên Xô”: Hoang tưởng đế quốc trong kỷ nguyên mạng xă hội Trung Quốc có c̣n xă hội chủ nghĩa không – hay chỉ là tư bản thân hữu khoác áo đỏ? Kỷ nguyên Tô Lâm: Thiên tai, tham nhũng và những vết nứt dẫn tới sụp đổ

 
Lên đầu Xuống dưới Lên 3000px Xuống 3000px

iPad Videos Portal Autoscroll

VietBF Music Portal Autoscroll

iPad News Portal Autoscroll

VietBF Homepage Autoscroll

VietBF Video Autoscroll Portal

USA News Autoscroll Portall

VietBF WORLD Autoscroll Portal

Home Classic

Super Widescreen

iPad World Portal Autoscroll

iPad USA Portal Autoscroll

Phim Bộ Online

Tin nóng nhất 24h qua

Tin nóng nhất 3 ngày qua

Tin nóng nhất 7 ngày qua

Tin nóng nhất 30 ngày qua

Albums

Total Videos Online
Lên đầu Xuống dưới Lên 3000px Xuống 3000px

Tranh luận sôi nổi nhất 7 ngày qua

Tranh luận sôi nổi nhất 14 ngày qua

Tranh luận sôi nổi nhất 30 ngày qua

10.000 Tin mới nhất

Tin tức Hoa Kỳ

Tin tức Công nghệ
Lên đầu Xuống dưới Lên 3000px Xuống 3000px

Super News

School Cooking Traveling Portal

Enter Portal

Series Shows and Movies Online

Home Classic Master Page

Donation Ủng hộ $3 cho VietBF
Lên đầu Xuống dưới Lên 3000px Xuống 3000px
Diễn Đàn Người Việt Hải Ngoại. Tự do ngôn luận, an toàn và uy tín. V́ một tương lai tươi đẹp cho các thế hệ Việt Nam hăy ghé thăm chúng tôi, hăy tâm sự với chúng tôi mỗi ngày, mỗi giờ và mỗi giây phút có thể. VietBF.Com Xin cám ơn các bạn, chúc tất cả các bạn vui vẻ và gặp nhiều may mắn.
Welcome to Vietnamese American Community, Vietnamese European, Canadian, Australian Forum, Vietnamese Overseas Forum. Freedom of speech, safety and prestige. For a beautiful future for Vietnamese generations, please visit us, talk to us every day, every hour and every moment possible. VietBF.Com Thank you all and good luck.

Lên đầu Xuống dưới Lên 3000px Xuống 3000px

All times are GMT. The time now is 00:06.
VietBF - Vietnamese Best Forum Copyright ©2005 - 2025
User Alert System provided by Advanced User Tagging (Pro) - vBulletin Mods & Addons Copyright © 2025 DragonByte Technologies Ltd.
Log Out Unregistered

Page generated in 0.12530 seconds with 13 queries