HOME-Au
HOME-Au
24h
24h
USA
USA
GOP
GOP
Phim Bộ
Phim Bộ
Videoauto
VIDEO-Au
Home Classic
Home Classic
Donation
Donation
News Book
News Book
News 50
News 50
worldautoscroll
WORLD-Au
Breaking
Breaking
 

Go Back   VietBF > Other News|Tin Khác > School | Kiến thức > School | Kiến thức 2006-2019


 
 
Thread Tools
  #1  
Old  Default Hiểm họa khôn lường nếu bạn cứ có thói quen xỉa răng
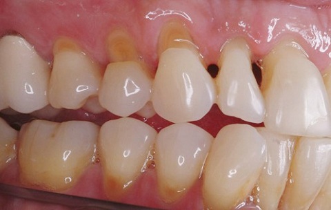
Người Việt mình cứ ăn xong là phải tìm ngay lọ tăm. Thói quen này gây tổn hại vô cùng đến sức khỏe răng miệng. Bạn hãy bỏ ngay thói quen này đi nhé, đọc xong bài này bạn sẽ biết lời khuyên này hoàn toàn hữu ích.



Mối họa khôn lường từ thói quen xỉa răng
Xỉa răng là thói quen làm sạch răng miệng của rất nhiều người Việt Nam sau khi ăn. Tuy nhiên, không phải ai cũng biết rằng, hành động này có thể tạo điều kiện cho vi khuẩn phát triển.
Ngoài ra xỉa răng bằng những loại tăm không đúng kích cỡ còn có thể làm chảy máu chân răng, thưa răng và có thể gây bệnh.

Theo các chuyên gia, sử dụng tăm xỉa răng là không lành mạnh. Các loại tăm trên thị trường hiện nay chúng ta đang mua về sử dụng được làm từ gỗ (tre) hoặc nhựa. Vì vậy nếu dùng thường xuyên, nó sẽ gây hại khủng khiếp cho răng và nướu. Thay vào đó , ban nên sử dụng nước súc miệng ngay sau khi ăn bất kỳ thực phẩm hoặc thậm chí dùng chỉ nha khoa . Sau đây là một vài trong số những lý do tại sao chúng ta tuyệt đối không sử dụng tăm xỉa răng.

Làm mòn răng:
Khi bạn dùng tăm đâm vào giữa hai hàm răng để loại bỏ các thức ăn thừa, nó gây ra mòn răng và cũng dẫn đến chảy máu. Nếu điều này tiếp tục trong thời gian dài nó có thể gây tổn hại cho toàn bộ hàm răng.

Bệnh về nướu:
Sử dụng tăm chỉ cho một vài lần thì không sao, nhưng việc sử dụng thường xuyên có thể ảnh hưởng đến không chỉ răng mà còn đến nướu. Nếu không chữa trị kịp thời, nó có thể gây ra các bệnh về nướu vô cùng nghiêm trọng.

Ảnh hưởng men răng:
Khi một người sử dụng tăm xỉa răng, họ cũng có xu hướng cắn chiếc tăm đó. Thông thường tăm được làm bằng nhựa hoặc gỗ và điều này gây hại cho men răng.

Tổn hại chân răng:
Thường xuyên sử dụng tăm xỉa răng không chỉ ảnh hưởng đến nướu mà đẩy nướu khỏi vị trí ban đầu. Điều này gây ra thiệt hại cho chân răng, thậm chí gây đau răng trong một số trường hợp.



Hơi thở có mùi:
Tăm xỉa răng thường được sử dụng để loại bỏ các thực phẩm bị mắc kẹt ở giữa các răng. Vì vậy, khi đồ ăn mắc kẹt trong một khoảng thời gian dài và được gỡ bỏ bằng cách sử dụng một cây tăm, nó cũng có thể gây hôi miệng.
Theo Tiến sĩ y khoa Richard H. Price của Hiệp hội Nha khoa Hoa Kỳ, thói quen dùng tăm xỉa răng là nguyên nhân chính khiến kẽ răng bị rộng hơn, tình trạng tiêu xương diễn ra nhanh, thức ăn sẽ dễ bị lưu giữ lại đó, tạo điều kiện cho các vi khuẩn sinh sôi nhiều hơn và làm gia tăng nguy cơ mắc các bệnh răng miệng như sâu răng, viêm quanh chân răng, viêm nướu…
Các bệnh về răng tưởng chừng đơn giản, nhưng thực tế lại là nguyên nhân khiến bạn phải đối mặt với rất nhiều chứng bệnh về
tim
mạch, huyết áp, cũng như nguy cơ ung thư cao hơn bình thường…Cách tốt nhất để loại bỏ những nguy cơ ảnh hưởng tới sức khỏe răng miệng là từ bỏ thói quen xỉa răng. Thay vào đó, nên sử dụng chỉ nha khoa để làm sạch kẽ răng.
VIETBF Diễn Đàn Hay Nhất Của Người Việt Nam

HOT NEWS 24h

HOT 3 Days

NEWS 3 Days

HOT 7 Days

NEWS 7 Days

HOME

Breaking News

VietOversea

World News

Business News

Car News

Computer News

Game News

USA News

Mobile News

Music News

Movies News

History

Thơ Ca

Sport News

Stranger Stories

Comedy Stories

Cooking Chat

Nice Pictures

Fashion

School

Travelling

Funny Videos

Canada Tin Hay

USA Tin Hay

VietBF Homepage Autoscroll

VietBF Video Autoscroll Portal

Home Classic

Home Classic Master Page



PinaColada
R11 Tuyệt Thế Thiên Hạ
Release: 03-10-2017
Reputation: 136977


Profile:
Join Date: Oct 2013
Posts: 119,323
Last Update: None Rating: None
Attached Thumbnails
Click image for larger version

Name:	191.jpg
Views:	0
Size:	38.9 KB
ID:	1008649   Click image for larger version

Name:	192.jpg
Views:	0
Size:	36.8 KB
ID:	1008650  
PinaColada_is_offline
Thanks: 9
Thanked 7,867 Times in 6,996 Posts
Mentioned: 2 Post(s)
Tagged: 0 Thread(s)
Quoted: 23 Post(s)
Rep Power: 138
PinaColada Reputation Uy Tín Level 9PinaColada Reputation Uy Tín Level 9PinaColada Reputation Uy Tín Level 9PinaColada Reputation Uy Tín Level 9PinaColada Reputation Uy Tín Level 9
PinaColada Reputation Uy Tín Level 9PinaColada Reputation Uy Tín Level 9PinaColada Reputation Uy Tín Level 9PinaColada Reputation Uy Tín Level 9PinaColada Reputation Uy Tín Level 9PinaColada Reputation Uy Tín Level 9PinaColada Reputation Uy Tín Level 9PinaColada Reputation Uy Tín Level 9PinaColada Reputation Uy Tín Level 9PinaColada Reputation Uy Tín Level 9PinaColada Reputation Uy Tín Level 9PinaColada Reputation Uy Tín Level 9PinaColada Reputation Uy Tín Level 9PinaColada Reputation Uy Tín Level 9PinaColada Reputation Uy Tín Level 9PinaColada Reputation Uy Tín Level 9PinaColada Reputation Uy Tín Level 9PinaColada Reputation Uy Tín Level 9PinaColada Reputation Uy Tín Level 9PinaColada Reputation Uy Tín Level 9PinaColada Reputation Uy Tín Level 9
 
User Tag List


Xả súng kinh hoàng tại Mỹ: Thảm Kịch Tại Brown University - Cơn Ác Mộng Giáng Sinh Và Nỗi Đau Chưa Từng Có Của Một Trường Ivy League Melissa Trần – Tâm thư từ Việt Nam của cô chủ tiệm nail bị trục xuất Úc: Khủng bố xả súng bắn vào cư dân Israel tại bải biển, giết chết 11 người và hàng chục người khác bị thương
Bác sĩ Mũ Đỏ Phạm Gia Cổn: Từ chiến trường Tam Biên đến Khí Công Hoàng Hạc Xả súng ở bãi biển Úc, ít nhất 11 người chết Người Việt tại Đức xuống đường tố cáo bàn tay đàn áp xuyên quốc gia của CSVN
Giữa Tô Lâm và Phan Văn Giang: Cuộc cờ quyền lực, lợi ích nhóm và thân phận 100 triệu dân Target “chơi lớn” ở SoHo: Cửa hàng kiểu mẫu để giành lại hào quang “Tar-zhay” Mỹ bất ngờ thu hẹp thâm hụt thương mại: vàng, thuế quan và những mặt trái sau các con số đẹp
Bài học Nokia giữa mùa đông Phần Lan: Thua từ bên trong trước khi thua thị trường Liuzhi – Bóng tối mới phủ xuống giới doanh nhân Trung Quốc 5 tiểu bang vàng cho nghề nail – hair – spa của người Việt tại Mỹ
Phố Tây Bùi Viện náo nhiệt và bóng dáng nhà canh tân cuối thế kỷ XIX Từ mafia thuốc lá đến tú bà Chemnitz: Vết nhơ kéo dài của một bộ phận người Việt Đông Đức Khi xe Trung Quốc viết lại trật tự ngành ô tô thế giới
Dự luật ‘một quốc tịch Mỹ’: ồn ào trên mặt báo, nhưng rất khó thành hiện thực Netflix nuốt chửng Warner Bros: Địa chấn 72 tỷ đô làm rung chuyển Hollywood Apple rung chuyển: Lãnh đạo lần lượt ra đi, Tim Cook trước cơn bão AI
Kế hoạch y tế mới của Trump: Chưa kịp ra mắt đã vỡ trận ngay trong nội bộ Cộng Hòa Cuộc trả thù chính trị của Trump: Từ vụ Comey, Letitia James đến đòn nhắm vào Mark Kelly Cơn say trên mây: Ai chịu trách nhiệm về hành khách nhậu nhẹt trên máy bay?
Giáng Sinh thắt lưng buộc bụng mà vẫn đủ ấm và đủ vui Mùa mua sắm Giáng Sinh 2025: Kinh tế chữ K và ảo giác “chi tiêu vẫn tăng” DOGE – thí nghiệm quyền lực thất bại của Trump và Musk
Ukraine, Trump và bản hòa ước mong manh giữa tiếng drone gầm rú Dũng Taylor: Căng thẳng đỉnh điểm giữa người Việt MAGA và người Việt Dân Chủ Hùng Cao về thăm Việt Nam: Từ đứa bé tị nạn đến kiến trúc sư an ninh Thái Bình Dương
“Ngày Tri Ân Trump” ở Little Saigon: khi tượng đài chiến sĩ bị biến thành sân khấu chính trị “Giải thưởng Neville Chamberlain” cho Trump và bản thỏa thuận 28 điểm bẩn thỉu Biển lửa Hồng Kông: giàn giáo tre bốc cháy, chung cư Tai Po hóa địa ngục giữa trời
Từ iPod đến “Delete Day”: Hành trình Gabriela Nguyễn thoát khỏi cơn nghiện mạng xã hội “Cha già dân tộc” đã khép lại: khi thần tượng chính trị bị kéo xuống mặt đất DOGE đã chết: “cải cách” 135 tỷ đô la đốt sạch tiền thuế của người Mỹ
VinFast VF 8 ở Mỹ: từ cáo buộc “sạc rùa bò” đến nguy cơ mất lái và lệnh triệu hồi hàng loạt Trump, Putin và ván cờ hòa bình Ukraine: khi “hạn chót” chỉ còn là lời nói gió bay 1.000 tỷ USD bốc hơi: Bitcoin bước vào thời kỳ ‘dành cho người thường’ và cơn say tiền số tan vỡ

 
Lên đầu Xuống dưới Lên 3000px Xuống 3000px

iPad Videos Portal Autoscroll

VietBF Music Portal Autoscroll

iPad News Portal Autoscroll

VietBF Homepage Autoscroll

VietBF Video Autoscroll Portal

USA News Autoscroll Portall

VietBF WORLD Autoscroll Portal

Home Classic

Super Widescreen

iPad World Portal Autoscroll

iPad USA Portal Autoscroll

Phim Bộ Online

Tin nóng nhất 24h qua

Tin nóng nhất 3 ngày qua

Tin nóng nhất 7 ngày qua

Tin nóng nhất 30 ngày qua

Albums

Total Videos Online
Lên đầu Xuống dưới Lên 3000px Xuống 3000px

Tranh luận sôi nổi nhất 7 ngày qua

Tranh luận sôi nổi nhất 14 ngày qua

Tranh luận sôi nổi nhất 30 ngày qua

10.000 Tin mới nhất

Tin tức Hoa Kỳ

Tin tức Công nghệ
Lên đầu Xuống dưới Lên 3000px Xuống 3000px

Super News

School Cooking Traveling Portal

Enter Portal

Series Shows and Movies Online

Home Classic Master Page

Donation Ủng hộ $3 cho VietBF
Lên đầu Xuống dưới Lên 3000px Xuống 3000px
Diễn Đàn Người Việt Hải Ngoại. Tự do ngôn luận, an toàn và uy tín. Vì một tương lai tươi đẹp cho các thế hệ Việt Nam hãy ghé thăm chúng tôi, hãy tâm sự với chúng tôi mỗi ngày, mỗi giờ và mỗi giây phút có thể. VietBF.Com Xin cám ơn các bạn, chúc tất cả các bạn vui vẻ và gặp nhiều may mắn.
Welcome to Vietnamese American Community, Vietnamese European, Canadian, Australian Forum, Vietnamese Overseas Forum. Freedom of speech, safety and prestige. For a beautiful future for Vietnamese generations, please visit us, talk to us every day, every hour and every moment possible. VietBF.Com Thank you all and good luck.

Lên đầu Xuống dưới Lên 3000px Xuống 3000px

All times are GMT. The time now is 18:06.
VietBF - Vietnamese Best Forum Copyright ©2005 - 2025
User Alert System provided by Advanced User Tagging (Pro) - vBulletin Mods & Addons Copyright © 2025 DragonByte Technologies Ltd.
Log Out Unregistered

Page generated in 0.09644 seconds with 13 queries