HOME-Au
HOME-Au
24h
24h
USA
USA
GOP
GOP
Phim Bộ
Phim Bộ
Videoauto
VIDEO-Au
Home Classic
Home Classic
Donation
Donation
News Book
News Book
News 50
News 50
worldautoscroll
WORLD-Au
Breaking
Breaking
 

Go Back   VietBF > Other News|Tin Khác > School | Kiến thức


Reply
 
Thread Tools
  #1  
Old  Default Đột quỵ gia tăng ở người trẻ: "Cảnh báo đỏ" độ tuổi 20 - 40
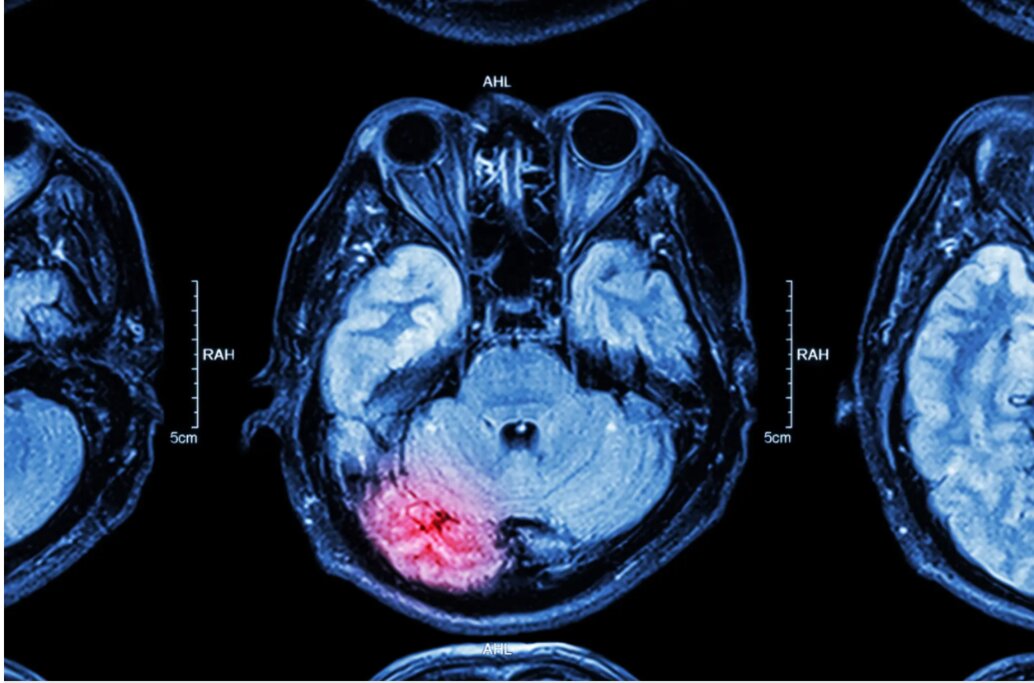
Từng là căn bệnh gắn liền với người cao tuổi, đột quỵ giờ đây đang "tấn công" ngày càng nhiều người trong độ tuổi thanh niên và trung niên.

Theo dữ liệu từ Trung tâm Kiểm soát và Pḥng ngừa Dịch bệnh Hoa Kỳ (CDC), số ca đột quỵ ở nhóm tuổi từ 18–44 đă tăng tới 14,6% chỉ trong ṿng 2 năm (2020–2022). Điều này đang khiến các chuyên gia y tế đau đầu, đặc biệt khi ngày càng nhiều người trẻ hoàn toàn khỏe mạnh, không có tiền sử bệnh nền, vẫn bị đột quỵ một cách bất ngờ

"Chúng tôi chưa từng thấy bệnh nhân trẻ như vậy"


Tiến sĩ Mohammad Anadani. Ảnh: Jon Hillenbrand
Tiến sĩ Mohammad Anadani, chuyên gia nội mạch thần kinh tại Viện Khoa học thần kinh Endeavor Health (Mỹ) chia sẻ, gần đây ông đă điều trị cho 2 bệnh nhân trẻ tuổi bị đột quỵ là Ann Fulk (24 tuổi) và Aubrey Hasley (23 tuổi). Cả hai đều không có yếu tố nguy cơ rơ ràng, sức khỏe trước đó được đánh giá là ổn định.

Các xét nghiệm sau đó cho thấy cơn đột quỵ đến từ t́nh trạng tắc mạch, nghĩa là cục máu đông h́nh thành ở nơi khác trong cơ thể và trôi lên năo. Đáng chú ư, cả hai bệnh nhân đều sử dụng thuốc tránh thai đường uống - một yếu tố được biết là có thể làm tăng nguy cơ h́nh thành huyết khối.

“Chúng tôi chưa bao giờ có bệnh nhân trẻ đến vậy. Việc chăm sóc họ khiến chúng tôi cảm thấy áp lực hơn rất nhiều v́ họ c̣n quá trẻ”, tiến sĩ Mohammad Anadani thông tin.

Caffeine, lối sống thiếu vận động: Thủ phạm âm thầm

Một yếu tố đáng lưu ư khác là thói quen tiêu thụ caffeine ở mức cao. Ann Fulk chia sẻ rằng cô thường xuyên uống loại nước tăng lực chứa đến 200mg caffeine mỗi lon, vượt ngưỡng an toàn khuyến nghị cho người lớn.

Không chỉ nước tăng lực, thuốc kích thích như Adderall, loại thuốc thường được dùng điều trị rối loạn tăng động giảm chú ư (ADHD) cũng được nhắc tới. Theo bác sĩ tim mạch Evan Levine, những người trẻ dùng Adderall có thể đối mặt với nguy cơ cao hơn 57% mắc các vấn đề tim mạch.

Tuy nhiên, các chuyên gia cũng nhấn mạnh rằng những yếu tố nguy cơ truyền thống như béo ph́, tăng huyết áp, tiểu đường và căng thẳng măn tính vẫn là nguyên nhân chính dẫn đến đột quỵ ở người trẻ.


“Lối sống hiện đại với nhiều áp lực công việc, thời gian ngồi lâu, ít vận động, cùng chế độ ăn uống không lành mạnh đang góp phần thúc đẩy làn sóng đột quỵ sớm ở người trẻ", bác sĩ Anadani nhận định.

Cuối cùng, các chuyên gia đồng loạt cảnh báo: Đột quỵ không chừa một ai, đă đến lúc người trẻ phải cảnh giác, và không nên chủ quan. Việc duy tŕ lối sống lành mạnh, kiểm tra sức khỏe định kỳ, kiểm soát căng thẳng và tránh lạm dụng thuốc, chất kích thích là những biện pháp đơn giản nhưng cực kỳ cần thiết để pḥng ngừa đột quỵ từ sớm.

VietBF@ sưu tập
VIETBF Diễn Đàn Hay Nhất Của Người Việt Nam

HOT NEWS 24h

HOT 3 Days

NEWS 3 Days

HOT 7 Days

NEWS 7 Days

HOME

Breaking News

VietOversea

World News

Business News

Car News

Computer News

Game News

USA News

Mobile News

Music News

Movies News

History

Thơ Ca

Sport News

Stranger Stories

Comedy Stories

Cooking Chat

Nice Pictures

Fashion

School

Travelling

Funny Videos

Canada Tin Hay

USA Tin Hay

VietBF Homepage Autoscroll

VietBF Video Autoscroll Portal

Home Classic

Home Classic Master Page

VietBF iPad Music Portal

Tin nóng nhất 50h qua

Phim Bộ Online

Phim Bộ



PinaColada
R11 Tuyệt Thế Thiên Hạ
Release: 06-09-2025
Reputation: 136989


Profile:
Join Date: Oct 2013
Posts: 119,505
Last Update: None Rating: None
Attached Thumbnails
Click image for larger version

Name:	461.jpg
Views:	0
Size:	71.2 KB
ID:	2534775   Click image for larger version

Name:	462.jpg
Views:	0
Size:	100.3 KB
ID:	2534776  
PinaColada_is_offline
Thanks: 9
Thanked 7,873 Times in 7,002 Posts
Mentioned: 2 Post(s)
Tagged: 0 Thread(s)
Quoted: 23 Post(s)
Rep Power: 138
PinaColada Reputation Uy Tín Level 9PinaColada Reputation Uy Tín Level 9PinaColada Reputation Uy Tín Level 9PinaColada Reputation Uy Tín Level 9PinaColada Reputation Uy Tín Level 9
PinaColada Reputation Uy Tín Level 9PinaColada Reputation Uy Tín Level 9PinaColada Reputation Uy Tín Level 9PinaColada Reputation Uy Tín Level 9PinaColada Reputation Uy Tín Level 9PinaColada Reputation Uy Tín Level 9PinaColada Reputation Uy Tín Level 9PinaColada Reputation Uy Tín Level 9PinaColada Reputation Uy Tín Level 9PinaColada Reputation Uy Tín Level 9PinaColada Reputation Uy Tín Level 9PinaColada Reputation Uy Tín Level 9PinaColada Reputation Uy Tín Level 9PinaColada Reputation Uy Tín Level 9PinaColada Reputation Uy Tín Level 9PinaColada Reputation Uy Tín Level 9PinaColada Reputation Uy Tín Level 9PinaColada Reputation Uy Tín Level 9PinaColada Reputation Uy Tín Level 9PinaColada Reputation Uy Tín Level 9PinaColada Reputation Uy Tín Level 9
Reply

User Tag List


Đi Tesla “chôm” bưu kiện ở Irvine Kinh tế Nga gió ngược nhưng Putin chưa xuống thang California trước nguy cơ khát xăng
Ông Trump lạc đề Trước Trung ương 15 và Đại hội XIV Bóng đá lên hương, bụng dân vẫn lép
Người hùng trong vụ xả súng khủng bố ở Úc Biển Charlie Kirk Way dưới All American Way CPI rớt mạnh xuống 2,7%
Thời mafia lộng hành: Donald Trump và Vladimir Putin biến nền ngoại giao cổ điển trở thành chuyện làm ăn Sáu câu hỏi của thế hệ sau chiến tranh: Giải phóng ai, giải phóng khỏi điều ǵ? Báo động ngành nails: 5 người bị bắt, 2 tiệm niêm phong, chủ đối mặt án tù v́ thuê người không giấy tờ
VinFast ở North Carolina đứng trước nguy cơ bị “thu hồi đất vàng”, Vingroup quay xe sang Ấn Độ với canh bạc 3 tỷ USD Bệnh khoe của và cơn nghiện “chứng tỏ ḿnh” của người Việt thời mạng xă hội Khi Nhật Bản đứng trước cám dỗ hạt nhân: Bao lâu nữa Tokyo phải tự vơ trang?
Sài G̣n “chập mạch” dễ thương: thành phố không thiếu tiền, chỉ dư t́nh người Zelensky tuyên bố sẵn sàng bầu cử giữa làn đạn, bác cáo buộc “trốn phiếu” của Trump Lời hứa muộn màng của người lính cũ
Khi doanh nghiệp Mỹ nổi loạn v́ thuế quan Trump muốn học mô h́nh hưu trí “super” của Úc: Bắt buộc tiết kiệm cho tuổi già Từ cô thợ nails tị nạn đến chủ nhân căn nhà đắt nhất Atlanta
Thuế mới, phố vắng, chợ buồn: Nếu tiểu thương gục ngă, ai bán hàng cho 100 triệu dân? K+ khép lại sau 16 năm: Đế chế bóng đá trả tiền tàn cuộc chơi Người Vợ Lực Lượng Đặc Biệt – Hồi ức về Thiếu Tá Hồ Đăng Nhựt trong mùa Quốc Nạn
Viên tướng nhỏ thó gánh oan khiên Mậu Thân John Riordan – người Mỹ quay lại Sài G̣n để cứu 105 người Việt Evergrande: Từ đế chế số 1 đến quả bom nợ – Bài học nào cho Việt Nam?
Campuchia: Từ Thiên Đường Angkor Đến “Công Xưởng Tội Phạm” Của Mafia Trung Quốc Cuộc Xâm Lược Cuối Cùng Của Trung Quốc Và Trang Sử Bị Xóa Khỏi Kư Ức Việt Nam V́ Sao Số Nhà Ở Mỹ “Nhảy Cóc”? Giải Mă Từ House Number Đến ZIP Code
David Thái, Highlands Coffee Và Những Hành Tŕnh “Đi Rồi Trở Về” Của Thuyền Nhân Việt V́ Sao Quân Đội Trung Quốc Không Đảo Chính? “Đảng Chỉ Huy Quân Đội” Và Nỗi Sợ Được Thể Chế Hóa Tâm Lư Vọng Ngoại Và Căn Bệnh “Bụt Nhà Không Thiêng”
Từ Giọt Nước Mắt Của Mẹ Đến Đế Chế Zara: Hành Tŕnh Của Amancio Ortega “Tâm Hồn Nga” Và Cơn Say Đế Quốc: Từ Crimea Đến Putin “Bên kia vĩ tuyến” và lời tự thú của một Bắc Kỳ 1985
Hiệu ứng Elon Musk: Khi một CEO “tham chính” làm Tesla mất hơn một triệu chiếc xe Điện thoại – phát minh bắt đầu từ một lời gọi yêu thương Thứ trưởng Cao Hùng và nỗi buồn ḥa hợp dân tộc: Không thể không nói
Mười phát minh vĩ đại của người Hồi giáo đă âm thầm làm nên thế giới hiện đại Bẻ găy “chiến dịch” báng bổ tiền nhân: Lịch sử Việt Nam giữa hai cách kể Từ “janitor da đen” đến người cứu sống vạn “em bé xanh”
Cơn mê “phục sinh Liên Xô”: Hoang tưởng đế quốc trong kỷ nguyên mạng xă hội Trung Quốc có c̣n xă hội chủ nghĩa không – hay chỉ là tư bản thân hữu khoác áo đỏ? Kỷ nguyên Tô Lâm: Thiên tai, tham nhũng và những vết nứt dẫn tới sụp đổ

 
Lên đầu Xuống dưới Lên 3000px Xuống 3000px

iPad Videos Portal Autoscroll

VietBF Music Portal Autoscroll

iPad News Portal Autoscroll

VietBF Homepage Autoscroll

VietBF Video Autoscroll Portal

USA News Autoscroll Portall

VietBF WORLD Autoscroll Portal

Home Classic

Super Widescreen

iPad World Portal Autoscroll

iPad USA Portal Autoscroll

Phim Bộ Online

Tin nóng nhất 24h qua

Tin nóng nhất 3 ngày qua

Tin nóng nhất 7 ngày qua

Tin nóng nhất 30 ngày qua

Albums

Total Videos Online
Lên đầu Xuống dưới Lên 3000px Xuống 3000px

Tranh luận sôi nổi nhất 7 ngày qua

Tranh luận sôi nổi nhất 14 ngày qua

Tranh luận sôi nổi nhất 30 ngày qua

10.000 Tin mới nhất

Tin tức Hoa Kỳ

Tin tức Công nghệ
Lên đầu Xuống dưới Lên 3000px Xuống 3000px

Super News

School Cooking Traveling Portal

Enter Portal

Series Shows and Movies Online

Home Classic Master Page

Donation Ủng hộ $3 cho VietBF
Lên đầu Xuống dưới Lên 3000px Xuống 3000px
Diễn Đàn Người Việt Hải Ngoại. Tự do ngôn luận, an toàn và uy tín. V́ một tương lai tươi đẹp cho các thế hệ Việt Nam hăy ghé thăm chúng tôi, hăy tâm sự với chúng tôi mỗi ngày, mỗi giờ và mỗi giây phút có thể. VietBF.Com Xin cám ơn các bạn, chúc tất cả các bạn vui vẻ và gặp nhiều may mắn.
Welcome to Vietnamese American Community, Vietnamese European, Canadian, Australian Forum, Vietnamese Overseas Forum. Freedom of speech, safety and prestige. For a beautiful future for Vietnamese generations, please visit us, talk to us every day, every hour and every moment possible. VietBF.Com Thank you all and good luck.

Lên đầu Xuống dưới Lên 3000px Xuống 3000px

All times are GMT. The time now is 21:21.
VietBF - Vietnamese Best Forum Copyright ©2005 - 2025
User Alert System provided by Advanced User Tagging (Pro) - vBulletin Mods & Addons Copyright © 2025 DragonByte Technologies Ltd.
Log Out Unregistered

Page generated in 0.12827 seconds with 15 queries