HOME-Au
HOME-Au
24h
24h
USA
USA
GOP
GOP
Phim Bộ
Phim Bộ
Videoauto
VIDEO-Au
Home Classic
Home Classic
Donation
Donation
News Book
News Book
News 50
News 50
worldautoscroll
WORLD-Au
Breaking
Breaking
 

Go Back   VietBF > Other News|Tin Khác > School | Kiến thức


Reply
 
Thread Tools
  #1  
Old  Default 2 anh em trong 1 gia đình cùng mắc ung thư gan: Phát hiện 'thủ phạm' ẩn khuất đã lâu
Sau khi 2 anh em cùng phát hiện mắc ung thư gan, bác sĩ truy tìm nguyên nhân và phát hiện 'thủ phạm' ẩn khuất trong gia đình đã lâu.


2 anh em trong 1 gia đình cùng mắc ung thư gan

Các trường hợp ung thư gan liên quan tới yếu tố gia đình không phải là quá hiếm gặp với các bác sĩ ung bướu.

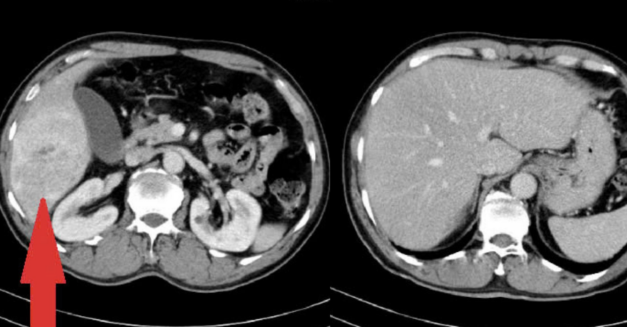
Thạc sĩ, bác sĩ Nguyễn Duy Anh, nguyên bác sĩ Trung tâm Ung bướu và Y học hạt nhân - Bệnh viện Bạch Mai, bác sĩ Trung tâm Ung bướu, Xạ trị và Y học hạt nhân Quốc Tế (Bệnh viện Đa khoa Phương Đông), cho biết trong quá trình thăm khám, bác sĩ đã từng tiếp nhận một trường hợp bệnh nhân nam (khoảng 70 tuổi tại Hà Nội) đi khám do đau tức vùng bụng, phát hiện khối ung thư gan phải kích thước lớn.

Sau quá trình thăm khám và xét nghiệm, người bệnh được chẩn đoán mắc ung thư biểu mô tế bào gan – giai đoạn tiến triển. Bệnh nhân được điều trị liệu pháp toàn thân (truyền “thuốc kháng thể đơn dòng kết hợp thuốc miễn dịch” 3 tuần 1 lần). Quá trình điều trị hiệu quả, giai đoạn ung thư giảm từ tiến triển thành trung gian và sau đó đã phẫu thuật cắt được u.

Em gái của bệnh nhân ở nhà cũng đau bụng, vàng da, vàng mắt. Khi đi khám, người này phát hiện ung thư gan giai đoạn muộn hơn. Cô cũng được điều trị liệu pháp toàn thân, nhưng khối u ở vị trí trung tâm của gan, xâm lấn vào ống dẫn mật chính nên không thể phẫu thuật như anh trai, bác sĩ Duy Anh nói.

Bác sĩ Duy Anh cho biết hai anh em trên đều có kết quả xét nghiệm cho thấy virus viêm gan B đang hoạt động. Virus viêm gan B chính là nguyên nhân chính gây ra ung thư gan cho cả hai người.

Sau đó, bác sĩ đã tư vấn cho cả gia đình 2 bệnh nhân xét nghiệm viêm gan B. Trong đó, một số người con được phát hiện nhiễm virus và được tư vấn khám truyền nhiễm để uống thuốc kháng virus.

Bác sĩ Duy Anh cho biết viêm gan virus là thủ phạm hàng đầu gây ra ung thư gan ở Việt Nam. Các nghiên cứu cũng đã chỉ ra người mang virus viêm gan hoạt động nếu không điều trị thì sau 10-20 năm, bệnh có thể tiến triển thành xơ gan, ung thư gan.

Các yếu tố khác làm tăng nguy cơ ung thư gan

Ngoài viêm gan virus, bác sĩ Duy Anh cho biết thói quen sinh hoạt thiếu khoa học, uống nhiều rượu bia, béo phì là nguyên nhân khiến tỷ lệ ung thư gan ở người trẻ gia tăng những năm gần đây.

Trong đó, ung thư gan gia tăng mạnh do gan nhiễm mỡ và béo phì. Gan nhiễm mỡ không do rượu (NAFLD) đang trở thành nguyên nhân hàng đầu gây ung thư biểu mô tế bào gan. Điểm đáng lo ngại, gan nhiễm mỡ không có triệu chứng sớm, dẫn đến chẩn đoán muộn khi ung thư đã tiến triển.

Ngoài ra, ung thư gan do rượu vẫn duy trì ở mức cao. Rượu gây viêm gan, xơ gan và cuối cùng là ung thư biểu mô tế bào gan, đặc biệt nếu kết hợp với béo phì hoặc viêm gan virus. Việc ăn uống các loại thực phẩm có nhiễm nấm mốc cũng làm gia tăng nguy cơ mắc ung thư gan.

Để phòng ngừa ung thư gan, bác sĩ Duy Anh khuyên mọi người cần tầm soát có nhiễm viêm gan virus hay không. Nếu nhiễm viêm gan virus thể hoạt động, cần theo dõi điều trị thuốc kháng virus thường xuyên, kết hợp siêu âm tầm soát tổn thương gan và chất chỉ điểm u AFP định kỳ. Trường hợp virus không hoạt động, cần theo dõi định kỳ tầm soát các tổn thương của gan. Tiêm vaccine phòng viêm gan B góp phần ngăn ngừa ung thư.

Người uống rượu cần bỏ rượu bia. Đối với trường hợp gan nhiễm mỡ, cần điều chỉnh lại chế độ ăn, khám và uống thuốc theo chỉ định.

Với những trường hợp có bệnh lý rối loạn chuyển hóa như đái tháo đường, mỡ máu… cần phải siêu âm gan định kỳ (6 tháng/lần). Nếu có gan nhiễm mỡ thời gian siêu âm rút ngắn 4 tháng/lần để tầm soát tổn thương nếu có.

Bên cạnh đó, người dân cần giữ lối sống lành mạnh, ăn đủ chất, hạn chế thức ăn nhanh giàu mỡ, thực phẩm chế biến sẵn chứa nhiều chất bảo quản; tập thể dục thường xuyên, kiểm soát cân nặng hợp lý.

VietBF@ Sưu tập
VIETBF Diễn Đàn Hay Nhất Của Người Việt Nam

HOT NEWS 24h

HOT 3 Days

NEWS 3 Days

HOT 7 Days

NEWS 7 Days

HOME

Breaking News

VietOversea

World News

Business News

Car News

Computer News

Game News

USA News

Mobile News

Music News

Movies News

History

Thơ Ca

Sport News

Stranger Stories

Comedy Stories

Cooking Chat

Nice Pictures

Fashion

School

Travelling

Funny Videos

Canada Tin Hay

USA Tin Hay

VietBF Homepage Autoscroll

VietBF Video Autoscroll Portal

Home Classic

Home Classic Master Page

VietBF iPad Music Portal

Tin nóng nhất 50h qua

Phim Bộ Online

Phim Bộ



therealrtz
R10 Vô Địch Thiên Hạ
Release: 03-28-2025
Reputation: 234488


Profile:
Join Date: Nov 2014
Posts: 91,513
Last Update: None Rating: None
Attached Thumbnails
Click image for larger version

Name:	Screenshot 2025-03-28 at 21.46.46.png
Views:	0
Size:	633.8 KB
ID:	2507385  
therealrtz_is_offline
Thanks: 28
Thanked 6,724 Times in 5,993 Posts
Mentioned: 4 Post(s)
Tagged: 0 Thread(s)
Quoted: 34 Post(s)
Rep Power: 114
therealrtz Reputation Uy Tín Level 10therealrtz Reputation Uy Tín Level 10therealrtz Reputation Uy Tín Level 10therealrtz Reputation Uy Tín Level 10therealrtz Reputation Uy Tín Level 10therealrtz Reputation Uy Tín Level 10therealrtz Reputation Uy Tín Level 10
therealrtz Reputation Uy Tín Level 10therealrtz Reputation Uy Tín Level 10therealrtz Reputation Uy Tín Level 10therealrtz Reputation Uy Tín Level 10therealrtz Reputation Uy Tín Level 10therealrtz Reputation Uy Tín Level 10therealrtz Reputation Uy Tín Level 10therealrtz Reputation Uy Tín Level 10therealrtz Reputation Uy Tín Level 10therealrtz Reputation Uy Tín Level 10therealrtz Reputation Uy Tín Level 10therealrtz Reputation Uy Tín Level 10therealrtz Reputation Uy Tín Level 10therealrtz Reputation Uy Tín Level 10therealrtz Reputation Uy Tín Level 10therealrtz Reputation Uy Tín Level 10therealrtz Reputation Uy Tín Level 10
Reply

User Tag List


Cuộc đua gom vàng của ngân hàng trung ương và ‘khối cầu’ 47.000 tỉ USD Đằng sau nội các Trump: Những người vợ kể chuyện “đội ngũ lớn” trong Tòa Bạch Ốc Kim Jong Un ôm lính thương tật, tung hô ‘anh hùng’ Bắc Hàn trở về từ chiến trường Kursk
Con trai của nhà hoạt động cộng đồng, nữ MC Mã Tiểu Linh qua đời “Lời chúc bất hạnh” của Chánh án John Roberts: Bài học trưởng thành không ai dạy chúng ta ở trường Đừng biến ICE thành “con ngáo ộp”: Hiểu luật để bớt sợ và biết tự bảo vệ mình
Westminster dậy sóng vì con đường “Charlie Kirk Way”: Dân phản đối, hội đồng vẫn phớt lờ Thăm nước Mỹ thời Trump: Từ dĩa cơm tấm Cali đến bi kịch Melissa Trần Vua Charles III và hành trình ung thư: Khi nhà vua nói về nỗi sợ, hy vọng và “phép màu” phát hiện sớm
Bi kịch quán bún ốc Trần Hưng Đạo: 3 mẹ con chết ngạt sau cửa cuốn khóa kín ‘America Alone’ – Khi Trump vẽ lại trật tự thế giới theo cách của mình Cuộc chơi liều lĩnh của Trump với Tu chính án 14 và quyền có quốc tịch khi chào đời
LeBron James: Chấp nhận đánh mất kỷ lục 1.297 trận chỉ để làm một đường chuyền đúng Ciel Tower – khách sạn cao nhất thế giới Chiếc nhẫn cưới ‘mất tích’ và nghi ngờ Phó Tổng Thống Mỹ bỏ cô vợ Ấn Độ
Karoline Leavitt: Từ ‘thánh cô nói láo’ đến biểu tượng của Trump 2.0 Bong bóng AI, khí hậu nổi giận và năm 2026 Khi Vingroup phải vay trái phiếu lãi 12%: Phao cứu sinh hay bước đi liều mạng?
Từ Geneva đến Kyiv: Kế hoạch 28 điểm của Trump và thế lưỡng nan của Ukraine Nước Nga trên ván bài cuối: biết không thể thắng nhưng vẫn lao vào cuộc chiến đến cùng Tiền thuế đã đi đâu, khi dân miền Trung đói rét trên nóc nhà chờ chết?
Nellie Bly – 72 ngày vòng quanh thế giới và cú đòn vào mọi định kiến về phụ nữ “Góa phụ đen” ở nước Nga: khi cái chết của người lính trở thành một mô hình kinh doanh Lá thư cuối của Kurt Vonnegut: hãy sáng tạo chỉ để tâm hồn mình lớn lên
Trung Quốc vỡ trận công nghiệp: khi “Made in China” bước vào thập niên suy thoái mới Bốn ngày trên nóc nhà: khi người dân miền Trung thực sự bị bỏ rơi giữa lũ dữ Không một lời cảnh báo: Miền Trung chết chìm trong lũ thủy điện “đúng quy trình”
Biệt kích Chung Tử Ngọc – Từ ngọn đồi lửa đạn đến sáu năm lao tù cộng sản Một mạng người đáng giá bao nhiêu – từ vụ tai nạn ở California đến những xác người trong lũ Việt Nam Mercury – đoàn tàu Art Deco biến tốc độ thành cái đẹp hữu hình
Hoa Kỳ-Ukraine đạt sự đồng thuận cho kế hoạch hòa bình với 19 điểm mới Tấm chăn thơ rách nát giữa địa ngục cộng sản – từ hố xí tập thể đến bến bờ tị nạn Morgan Geyser trốn khỏi giám sát: Bóng ma Slender Man trở lại sau vụ đâm bạn 19 nhát chấn động nước Mỹ
New Delhi ngạt thở: Khi Pháo đài Đỏ hóa đen và người dân chỉ còn ước được… hít thở Red Bull – từ lon nước vàng ở Bangkok đến đế chế nội dung làm thay đổi thế giới Kế hoạch 28 điểm của Trump: Hoà bình cho Ukraine hay bản hợp đồng nhượng bộ cho Nga?

 
Lên đầu Xuống dưới Lên 3000px Xuống 3000px

iPad Videos Portal Autoscroll

VietBF Music Portal Autoscroll

iPad News Portal Autoscroll

VietBF Homepage Autoscroll

VietBF Video Autoscroll Portal

USA News Autoscroll Portall

VietBF WORLD Autoscroll Portal

Home Classic

Super Widescreen

iPad World Portal Autoscroll

iPad USA Portal Autoscroll

Phim Bộ Online

Tin nóng nhất 24h qua

Tin nóng nhất 3 ngày qua

Tin nóng nhất 7 ngày qua

Tin nóng nhất 30 ngày qua

Albums

Total Videos Online
Lên đầu Xuống dưới Lên 3000px Xuống 3000px

Tranh luận sôi nổi nhất 7 ngày qua

Tranh luận sôi nổi nhất 14 ngày qua

Tranh luận sôi nổi nhất 30 ngày qua

10.000 Tin mới nhất

Tin tức Hoa Kỳ

Tin tức Công nghệ
Lên đầu Xuống dưới Lên 3000px Xuống 3000px

Super News

School Cooking Traveling Portal

Enter Portal

Series Shows and Movies Online

Home Classic Master Page

Donation Ủng hộ $3 cho VietBF
Lên đầu Xuống dưới Lên 3000px Xuống 3000px
Diễn Đàn Người Việt Hải Ngoại. Tự do ngôn luận, an toàn và uy tín. Vì một tương lai tươi đẹp cho các thế hệ Việt Nam hãy ghé thăm chúng tôi, hãy tâm sự với chúng tôi mỗi ngày, mỗi giờ và mỗi giây phút có thể. VietBF.Com Xin cám ơn các bạn, chúc tất cả các bạn vui vẻ và gặp nhiều may mắn.
Welcome to Vietnamese American Community, Vietnamese European, Canadian, Australian Forum, Vietnamese Overseas Forum. Freedom of speech, safety and prestige. For a beautiful future for Vietnamese generations, please visit us, talk to us every day, every hour and every moment possible. VietBF.Com Thank you all and good luck.

Lên đầu Xuống dưới Lên 3000px Xuống 3000px

All times are GMT. The time now is 21:26.
VietBF - Vietnamese Best Forum Copyright ©2005 - 2025
User Alert System provided by Advanced User Tagging (Pro) - vBulletin Mods & Addons Copyright © 2025 DragonByte Technologies Ltd.
Log Out Unregistered

Page generated in 0.09903 seconds with 15 queries