HOME-Au
HOME-Au
24h
24h
USA
USA
GOP
GOP
Phim Bộ
Phim Bộ
Videoauto
VIDEO-Au
Home Classic
Home Classic
Donation
Donation
News Book
News Book
News 50
News 50
worldautoscroll
WORLD-Au
Breaking
Breaking
 

Go Back   VietBF > Other News|Tin Khác > School | Kiến thức > School | Kiến thức 2006-2019


 
 
Thread Tools
  #1  
Old  Default Bác sĩ nha khoa té ngửa vì hàm răng của anh này
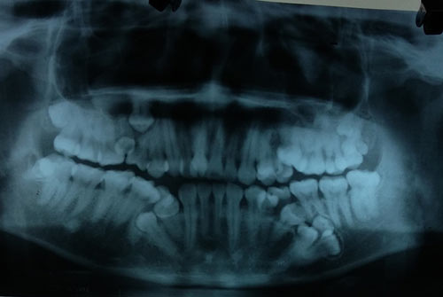
Chỉ đi khám vì răng bị đau, anh Sơn đã làm cho các bác sĩ đều hoảng hốt khi xem hàm răng của anh.

Đây là một trường hợp rất hy hữu từ trước đến này. Anh Đỗ Văn Sơn đã làm các bác sĩ hoảng hốt vì anh thừa tới 17 chiếc răng.

Anh Sơn cho biết, từ năm 15 tuổi đến nay, cứ mỗi năm anh lại thấy mọc thêm 1 chiếc răng. Nghĩ là mọc lẫy bình thường, lại không đau đớn nên anh không hề đi khám. Cách đây 10 ngày, thấy răng sâu ở hàm trên đau nhức khó chịu, anh mới đến Bệnh viện Việt Nam – Cu Ba khám.


Hình ảnh chụp phim cho thấy bệnh nhân mọc thừa răng chi chít

Tại đây các bác sĩ đã hết sức bất ngờ khi phát hiện ngoài chiếc răng sâu, bệnh nhân bị mọc thừa đến 13 chiếc răng ở vị trí răng 4 và 5 trên 2 hàm. Các răng mọc lệch, chen chúc, dàn hàng ngang khiến việc vệ sinh khó khăn, gây sâu, viêm tủy.



BS Nguyễn Thanh Thái, Trưởng khoa Phẫu thuật Tạo hình Hàm mặt cho biết, sau khi chỉ định chụp CT, các bác sĩ lại tiếp tục phát hiện thêm bệnh nhân có 4 mầm răng chưa mọc. Hiện bệnh nhân đã được điều trị tủy dứt cơn đau răng, đồng thời làm xét nghiệm để chuẩn bị mổ bỏ các răng thừa vào tuần tới.

Theo BS Thái, trường hợp thừa nhiều rằng nhất đã từng gặp là 8 chiếc, riêng trường hợp anh Sơn thừa đến 17 chiếc răng thì chưa gặp bao giờ. Qua trường hợp trên, BS Thái khuyến cáo, người dân nên có thói quen khám răng định kỳ 6 tháng 1 lần. Khi thấy răng mọc 2-3 cái một chỗ cần đi khám ngay để can thiệp kịp thời.

VietBF© Sưu tập
VIETBF Diễn Đàn Hay Nhất Của Người Việt Nam

HOT NEWS 24h

HOT 3 Days

NEWS 3 Days

HOT 7 Days

NEWS 7 Days

HOME

Breaking News

VietOversea

World News

Business News

Car News

Computer News

Game News

USA News

Mobile News

Music News

Movies News

History

Thơ Ca

Sport News

Stranger Stories

Comedy Stories

Cooking Chat

Nice Pictures

Fashion

School

Travelling

Funny Videos

Canada Tin Hay

USA Tin Hay

VietBF Homepage Autoscroll

VietBF Video Autoscroll Portal

Home Classic

Home Classic Master Page



troopy
R10 Vô Địch Thiên Hạ
Release: 06-20-2016
Reputation: 227577


Profile:
Join Date: Oct 2014
Posts: 89,955
Last Update: None Rating: None
Attached Thumbnails
Click image for larger version

Name:	1-1.jpg
Views:	0
Size:	49.3 KB
ID:	900153   Click image for larger version

Name:	1.jpg
Views:	0
Size:	20.4 KB
ID:	900154  
troopy_is_offline
Thanks: 76
Thanked 6,725 Times in 5,843 Posts
Mentioned: 5 Post(s)
Tagged: 0 Thread(s)
Quoted: 34 Post(s)
Rep Power: 112
troopy Reputation Uy Tín Level 10troopy Reputation Uy Tín Level 10troopy Reputation Uy Tín Level 10troopy Reputation Uy Tín Level 10troopy Reputation Uy Tín Level 10troopy Reputation Uy Tín Level 10
troopy Reputation Uy Tín Level 10troopy Reputation Uy Tín Level 10troopy Reputation Uy Tín Level 10troopy Reputation Uy Tín Level 10troopy Reputation Uy Tín Level 10troopy Reputation Uy Tín Level 10troopy Reputation Uy Tín Level 10troopy Reputation Uy Tín Level 10troopy Reputation Uy Tín Level 10troopy Reputation Uy Tín Level 10troopy Reputation Uy Tín Level 10troopy Reputation Uy Tín Level 10troopy Reputation Uy Tín Level 10troopy Reputation Uy Tín Level 10troopy Reputation Uy Tín Level 10troopy Reputation Uy Tín Level 10troopy Reputation Uy Tín Level 10troopy Reputation Uy Tín Level 10troopy Reputation Uy Tín Level 10troopy Reputation Uy Tín Level 10troopy Reputation Uy Tín Level 10troopy Reputation Uy Tín Level 10
Old 06-20-2016   #2
laughster
R8 Võ Lâm Chí Tôn
 
laughster's Avatar
 
Join Date: Mar 2007
Posts: 17,070
Thanks: 16,421
Thanked 13,230 Times in 6,883 Posts
Mentioned: 85 Post(s)
Tagged: 0 Thread(s)
Quoted: 7088 Post(s)
Rep Power: 39
laughster Reputation Uy Tín Level 8laughster Reputation Uy Tín Level 8laughster Reputation Uy Tín Level 8
laughster Reputation Uy Tín Level 8laughster Reputation Uy Tín Level 8laughster Reputation Uy Tín Level 8laughster Reputation Uy Tín Level 8laughster Reputation Uy Tín Level 8laughster Reputation Uy Tín Level 8laughster Reputation Uy Tín Level 8laughster Reputation Uy Tín Level 8laughster Reputation Uy Tín Level 8laughster Reputation Uy Tín Level 8laughster Reputation Uy Tín Level 8laughster Reputation Uy Tín Level 8laughster Reputation Uy Tín Level 8laughster Reputation Uy Tín Level 8laughster Reputation Uy Tín Level 8laughster Reputation Uy Tín Level 8laughster Reputation Uy Tín Level 8laughster Reputation Uy Tín Level 8laughster Reputation Uy Tín Level 8laughster Reputation Uy Tín Level 8laughster Reputation Uy Tín Level 8
Default

hình cha trump mần răng trong bài này trời?? hahaha LMAO
laughster_is_offline  
 
User Tag List


Úc cấm thiếu niên dưới 16 tuổi dùng Facebook vì quá độc hại, Mỹ có lẽ tiếp bước? Cái chết bí ẩn của Tulku Hungkar Dorje tại Sài Gòn: Bàn tay Bắc Kinh và sự im lặng của Hà Nội Thương Tín qua đời : Đám Tang Lặng Lẽ Ở Phan Rang Và Hào Quang Vang Bóng
85.000 tấm visa bị xé bỏ: chân dung nước Mỹ thời truy bức di dân 48 Giờ Cùm Tay Trên Bầu Trời: Số Phận Bà Melissa Trần Và Bóng Đen Luật Di Trú Mỹ Từ Tử Thủ Đến Công Chức Xứ Người – Đời Lưu Vong Của Trung Tướng Ngô Quang Trưởng
Mùa Noel “Ông Già Định Ở Lại” – Góc Đời Riêng Của Vợ Chồng Tổng Thống Nguyễn Văn Thiệu Trump, Obamacare và bài trắc nghiệm đạo đức mang tên “Make America Great Again” Từ giọt nước sông Rio Grande đến bóng ma sụp đổ USMCA
Lá Cờ Vàng – Giấc Mơ Nhỏ Và Vận Mệnh Lớn Của Dân Tộc Những trùng hợp rợn người trong lịch sử nhân loại Những bí mật bên trong xác ướp Ba Đình
Dân kinh doanh trả giá đắt vì chính sách thuế của Cộng Sản Trăm năm bia đá cũng mòn, bia hám danh thì còn mãi Sài Gòn ‘bỏ phố’: Mặt bằng trăm triệu, đèn tắt và kỷ nguyên thu mình của người kinh doanh
Costco kiện thuế quan: Cú tát 2.000 USD vào lời hứa ‘năm sau’ của ông Trump 401k – IRA – IUL: Ba cái ‘hũ để dành’ ở Mỹ, xài trật là mất toi tuổi già Chi bộn tiền làm đẹp, giờ ôm rổ mỹ phẩm mà run: Nỗi hoang mang của khách Mailisa sau ngày thẩm mỹ viện tắt đèn
Cột điện gỗ Mỹ để: Nửa thế kỷ vẫn đứng vững ở miền Nam Việt Nam Việt Nam sau 50 năm: Quyền được tự hào và nghĩa vụ… tự chịu đựng Thất thủ trước mưa lũ: Khi bộ máy cứu nạn chỉ còn là những công điện trên giấy
Từ quán phở tị nạn đến tiệm ăn làn sóng mới Hai cái bắt tay lịch sử Nixon – Thiệu và bi kịch một đồng minh bị bỏ rơi Lũ đã dâng tới nóc nhà rồi, lệnh cứu hộ mới ký: 24 giờ vàng bị đánh cắp bởi hai chữ “chờ lệnh”
Việt Nam dưới chế độ cộng sản: Có thật đáng để tự hào? Từ thuyền nhân Việt Nam đến công tố viên hạ gục “Kẻ sát nhân Golden State” Mỹ chính thức “khai tử” đồng penny: Chia tay 1 cent sau 232 năm lặng lẽ trong túi áo người dân
Địa đạo Củ Chi: Huyền thoại tuyên truyền và sự thật bị chôn trong đất đỏ Saudi bắt tay đại gia AI Mỹ: canh bạc nghìn tỷ USD của Thái tử Mohammed bin Salman Walmart – “liều thuốc giải” cho cơn khủng hoảng chi phí sinh hoạt ở nước Mỹ
Trump khoe “thời hoàng kim” dưới mái vòm McDonald’s, trong khi người Mỹ vẫn ngộp vì tiền chợ tiền nhà Doanh nghiệp nhỏ nước Mỹ oằn mình dưới thuế quan Trump và cơn bão chi phí sinh hoạt Trump xoay sang “Plan B”: Giấc mơ làm nước Mỹ rẻ hơn và thực tế hóa đơn ngày một dày
Trump “ảo thuật” giá cả: nói lạm phát giảm, nhưng hóa đơn người Mỹ vẫn tăng Trump trong lâu đài mạ vàng: hứa cứu tầng lớp lao động, rồi lạc khỏi nỗi lo tiền chợ “No Kings” rầm rộ khắp nước Mỹ: Gần 7 triệu người xuống đường, khẳng định “Không có vua trong nền dân chủ”

 
Lên đầu Xuống dưới Lên 3000px Xuống 3000px

iPad Videos Portal Autoscroll

VietBF Music Portal Autoscroll

iPad News Portal Autoscroll

VietBF Homepage Autoscroll

VietBF Video Autoscroll Portal

USA News Autoscroll Portall

VietBF WORLD Autoscroll Portal

Home Classic

Super Widescreen

iPad World Portal Autoscroll

iPad USA Portal Autoscroll

Phim Bộ Online

Tin nóng nhất 24h qua

Tin nóng nhất 3 ngày qua

Tin nóng nhất 7 ngày qua

Tin nóng nhất 30 ngày qua

Albums

Total Videos Online
Lên đầu Xuống dưới Lên 3000px Xuống 3000px

Tranh luận sôi nổi nhất 7 ngày qua

Tranh luận sôi nổi nhất 14 ngày qua

Tranh luận sôi nổi nhất 30 ngày qua

10.000 Tin mới nhất

Tin tức Hoa Kỳ

Tin tức Công nghệ
Lên đầu Xuống dưới Lên 3000px Xuống 3000px

Super News

School Cooking Traveling Portal

Enter Portal

Series Shows and Movies Online

Home Classic Master Page

Donation Ủng hộ $3 cho VietBF
Lên đầu Xuống dưới Lên 3000px Xuống 3000px
Diễn Đàn Người Việt Hải Ngoại. Tự do ngôn luận, an toàn và uy tín. Vì một tương lai tươi đẹp cho các thế hệ Việt Nam hãy ghé thăm chúng tôi, hãy tâm sự với chúng tôi mỗi ngày, mỗi giờ và mỗi giây phút có thể. VietBF.Com Xin cám ơn các bạn, chúc tất cả các bạn vui vẻ và gặp nhiều may mắn.
Welcome to Vietnamese American Community, Vietnamese European, Canadian, Australian Forum, Vietnamese Overseas Forum. Freedom of speech, safety and prestige. For a beautiful future for Vietnamese generations, please visit us, talk to us every day, every hour and every moment possible. VietBF.Com Thank you all and good luck.

Lên đầu Xuống dưới Lên 3000px Xuống 3000px

All times are GMT. The time now is 22:14.
VietBF - Vietnamese Best Forum Copyright ©2005 - 2025
User Alert System provided by Advanced User Tagging (Pro) - vBulletin Mods & Addons Copyright © 2025 DragonByte Technologies Ltd.
Log Out Unregistered

Page generated in 0.11094 seconds with 13 queries