HOME-Au
HOME-Au
24h
24h
USA
USA
GOP
GOP
Phim Bộ
Phim Bộ
Videoauto
VIDEO-Au
Home Classic
Home Classic
Donation
Donation
News Book
News Book
News 50
News 50
worldautoscroll
WORLD-Au
Breaking
Breaking
 

Go Back   VietBF > Other News|Tin Khác > School | Kiến thức > School | Kiến thức 2006-2019


 
 
Thread Tools
  #1  
Old  Default Thời điểm đánh răng chuẩn nhất để cả đời không mòn, không sâu
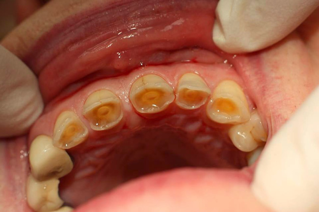
"Hàm răng, cái tóc là góc con người" - Hàm răng ngoài tác dụng để nhai còn đem lại vẻ đẹp cho bạn. Vì thế việc giữ gìn hàm răng tốt đến cuối đời là vô cùng quan trọng. Có thể bạn rất sạch sẽ chăm đánh răng nhưng thực sự bạn đã biết thời điểm nào đánh răng là tốt nhất chưa?

Kì thực, chúng ta có rất nhiều lầm tưởng về việc đánh răng. Cho rằng răng sau khi ăn sẽ bẩn nên phải vệ sinh ngay, nhưng đây là một thói quen cực tai hại. Lúc này, răng đang khá yếu vì tiếp xúc với axit từ thực phẩm, nếu đánh răng ngay rất dễ bào mòn men răng, khiến răng yếu, dễ ố vàng và sâu hơn nữa! Các chuyên gia răng hàm mặt khuyên bạn nên vệ sinh răng (bao gồm đánh răng hoặc súc miệng) ít nhất 30-60 phút sau khi ăn . Lúc này, độ axit đã giảm bớt và việc vệ sinh mới thật sự hiệu quả.


Men răng bị ăn mòn – hệ quả của thói quen cứ ăn xong là đánh răng ngay.

Ngoài ra, không phải đánh răng càng nhiều là càng tốt. Chúng ta quan niệm ngủ dậy phải đánh răng ngay, vì sau một đêm vòm miệng sẽ bị bẩn. Nhưng kì thực, nếu bạn đánh răng rồi ăn sáng thì cũng bằng không, vì thức ăn vẫn dính vào răng mà chả được làm sạch. Mặt khác, đánh răng ngay khi ngủ dậy còn phần nào lấy mất cả những lợi khuẩn sản sinh trong quá trình ngủ. Vì thế, hãy đánh răng sau khi ăn sáng và sau khi ăn tối , trước khi đi ngủ là được.

Giờ thì bạn đã có câu trả lời chính xác cho khảo sát ở trên. Hãy thay đổi nếu bạn đang có những thói quen chăm sóc răng sai lầm nha!

Therealtz © VietBF
VIETBF Diễn Đàn Hay Nhất Của Người Việt Nam

HOT NEWS 24h

HOT 3 Days

NEWS 3 Days

HOT 7 Days

NEWS 7 Days

HOME

Breaking News

VietOversea

World News

Business News

Car News

Computer News

Game News

USA News

Mobile News

Music News

Movies News

History

Thơ Ca

Sport News

Stranger Stories

Comedy Stories

Cooking Chat

Nice Pictures

Fashion

School

Travelling

Funny Videos

Canada Tin Hay

USA Tin Hay

VietBF Homepage Autoscroll

VietBF Video Autoscroll Portal

Home Classic

Home Classic Master Page

VietBF iPad Music Portal

Tin nóng nhất 50h qua

Phim Bộ Online

Phim Bộ



troopy
R10 Vô Địch Thiên Hạ
Release: 03-10-2017
Reputation: 227619


Profile:
Join Date: Oct 2014
Posts: 90,111
Last Update: None Rating: None
Attached Thumbnails
Click image for larger version

Name:	10.jpg
Views:	0
Size:	65.1 KB
ID:	1008828  
troopy is_online_now
Thanks: 76
Thanked 6,746 Times in 5,861 Posts
Mentioned: 5 Post(s)
Tagged: 0 Thread(s)
Quoted: 34 Post(s)
Rep Power: 113
troopy Reputation Uy Tín Level 10troopy Reputation Uy Tín Level 10troopy Reputation Uy Tín Level 10troopy Reputation Uy Tín Level 10troopy Reputation Uy Tín Level 10troopy Reputation Uy Tín Level 10
troopy Reputation Uy Tín Level 10troopy Reputation Uy Tín Level 10troopy Reputation Uy Tín Level 10troopy Reputation Uy Tín Level 10troopy Reputation Uy Tín Level 10troopy Reputation Uy Tín Level 10troopy Reputation Uy Tín Level 10troopy Reputation Uy Tín Level 10troopy Reputation Uy Tín Level 10troopy Reputation Uy Tín Level 10troopy Reputation Uy Tín Level 10troopy Reputation Uy Tín Level 10troopy Reputation Uy Tín Level 10troopy Reputation Uy Tín Level 10troopy Reputation Uy Tín Level 10troopy Reputation Uy Tín Level 10troopy Reputation Uy Tín Level 10troopy Reputation Uy Tín Level 10troopy Reputation Uy Tín Level 10troopy Reputation Uy Tín Level 10troopy Reputation Uy Tín Level 10troopy Reputation Uy Tín Level 10
 
User Tag List


Thêm một sĩ quan trẻ gốc Việt qua đời, nguyên nhân không như tin đồn “tào lao, tự tử” trên Facebook Tịch thu và bắt hàng loạt lãnh đạo công ty nhà Cường “đô la” Peter Arnett qua đời: tiếng nói độc lập từ chiến trường Việt Nam đến Baghdad
Cuộc chiến giành Warner & CNN: tiền mặt, thế lực, và bóng dáng Nhà Trắng Sự thật khó nghe: Trung Quốc giàu lên nhanh nhất khi .... Ngoại trưởng Nga thú nhận: Mỹ đã hứa trao lãnh thổ Ukraine cho Moscow
Chánh Văn phòng Tòa Bạch Ốc gây cú sốc về ông Trump trong cuộc phỏng vấn với Vanity Fair Thuế quan thổi ngược chiều: việc làm tay chân co lại, và “nhiệt” chính trị hạ dần Một dòng “sông” trong biển lệch nhịp: vì sao mặt biển Nhật Bản đang phình lên – và nghề cá lao đao
Khủng hoảng “affordability” ở Mỹ Trump mở cửa chip H200 cho Trung Quốc và cuộc chiến giành “quyền viết luật” cho trí tuệ nhân tạo Google và giấc mơ thay thế smartphone bằng cặp kính AI
Trump, Netflix và Paramount: Cuộc chiến thâu tóm Warner Bros. biến Hollywood thành bàn cờ chính trị Trung Quốc bứt tốc xuất khẩu, nông dân Mỹ sống bằng trợ cấp VN: Sợ áp lực mỗi khi ra tòa, Hoa hậu Thùy Tiên chấp nhận bản án 2 năm tù
Lại to tiếng: Ông Trump nói nữ ký giả của CNN là "ngu ngốc và độc ác" Zelensky chạy đua ngoại giao: London, Brussels, Rome và cái bóng hòa kế của Trump New Orleans trong vòng vây ICE: Chiến dịch “Catahoula Crunch” và nỗi lo của người Việt
“Huyền thoại ‘Trung Quốc là Singapore phóng đại’ đang sụp đổ như thế nào?” Trung Tá Nhảy Dù Bùi Quyền: Từ thủ khoa Võ Bị đến chiếc ghế trống sau 60 năm gặp lại Làm gì có “giải phóng” mà tôn vinh “chiến sĩ giải phóng”?
Cuba cá đầy biển, ngư dân vẫn đói: Khi thiên nhiên hào phóng nhưng thể chế “thắt nút cổ chai” Quận Cam: Người già gốc Việt sống trong nhà tiền chế, run rẩy trước mỗi lá thư cảnh cáo Doanh nghiệp châu Âu lặng lẽ tháo chạy khỏi Trung Quốc, nguyên nhân?
Năm tiếng trong Điện Kremlin: Hòa bình Ukraine đang đến gần? Một tổng thống lim dim, một thế giới nín thở Trump, Venezuela và cơn bão “tội ác chiến tranh” ở Washington
5 bí mật trên buồng lái mà phi công hiếm khi kể cho hành khách Đồng chí 3 X và chiếc bình xịt gây tê Hồi ký Trịnh Xuân Thanh và thương vụ 50 triệu đô đưa Nguyễn Cao Kỳ về nước
Vì sao Việt Nam vẫn vắng bóng Nobel Văn học? Khi sự thật bị nhào nặn: Nga, Trung Quốc và cuộc chiến bẻ cong hình ảnh dân chủ ‘Đổ bộ lên mặt trời ban đêm’ – khi ngu dốt ngồi lên ngai quyền lực
Xuất khẩu lao động – khi một quốc gia đóng gói tương lai của mình gửi ra nước ngoài Vụ kiện chất độc da cam – khi cộng sản Việt Nam tự làm nhục mình trước thế giới Nhiều người hỏi mình: “Qua Mỹ trễ vậy có hối hận không?”
Lũ quét miền Trung, Khánh Hoà, Nha Trang, “kỷ lục của kỷ lục” +video 12 ngày trên đất Mỹ: Những điều mắt thấy tai nghe của một bà mẹ Việt Khi ‘cái tôi’ phình to hơn thực tài của người Việt Cộng
Bài học nhớ đời khi lao vào bán hàng Amazon theo trend Pokémon Nghỉ hưu ở Texas: Thiên đường mới sau ‘giấc mơ California Nơi sóng radio chết lặng và những chuyện không thể giải thích
Bà Ngô Đình Nhu trên tầng 11 Paris: từ ánh đèn Dinh Độc Lập đến căn hộ cô quạnh “Đánh từ sẵn”: một đêm gõ cửa và cả đời bất an của chú Ba Lợi Người thầy tội nghiệp và nỗi đau hai chữ “lưu dung”

 
Lên đầu Xuống dưới Lên 3000px Xuống 3000px

iPad Videos Portal Autoscroll

VietBF Music Portal Autoscroll

iPad News Portal Autoscroll

VietBF Homepage Autoscroll

VietBF Video Autoscroll Portal

USA News Autoscroll Portall

VietBF WORLD Autoscroll Portal

Home Classic

Super Widescreen

iPad World Portal Autoscroll

iPad USA Portal Autoscroll

Phim Bộ Online

Tin nóng nhất 24h qua

Tin nóng nhất 3 ngày qua

Tin nóng nhất 7 ngày qua

Tin nóng nhất 30 ngày qua

Albums

Total Videos Online
Lên đầu Xuống dưới Lên 3000px Xuống 3000px

Tranh luận sôi nổi nhất 7 ngày qua

Tranh luận sôi nổi nhất 14 ngày qua

Tranh luận sôi nổi nhất 30 ngày qua

10.000 Tin mới nhất

Tin tức Hoa Kỳ

Tin tức Công nghệ
Lên đầu Xuống dưới Lên 3000px Xuống 3000px

Super News

School Cooking Traveling Portal

Enter Portal

Series Shows and Movies Online

Home Classic Master Page

Donation Ủng hộ $3 cho VietBF
Lên đầu Xuống dưới Lên 3000px Xuống 3000px
Diễn Đàn Người Việt Hải Ngoại. Tự do ngôn luận, an toàn và uy tín. Vì một tương lai tươi đẹp cho các thế hệ Việt Nam hãy ghé thăm chúng tôi, hãy tâm sự với chúng tôi mỗi ngày, mỗi giờ và mỗi giây phút có thể. VietBF.Com Xin cám ơn các bạn, chúc tất cả các bạn vui vẻ và gặp nhiều may mắn.
Welcome to Vietnamese American Community, Vietnamese European, Canadian, Australian Forum, Vietnamese Overseas Forum. Freedom of speech, safety and prestige. For a beautiful future for Vietnamese generations, please visit us, talk to us every day, every hour and every moment possible. VietBF.Com Thank you all and good luck.

Lên đầu Xuống dưới Lên 3000px Xuống 3000px

All times are GMT. The time now is 13:15.
VietBF - Vietnamese Best Forum Copyright ©2005 - 2025
User Alert System provided by Advanced User Tagging (Pro) - vBulletin Mods & Addons Copyright © 2025 DragonByte Technologies Ltd.
Log Out Unregistered

Page generated in 0.10899 seconds with 13 queries