HOME-Au
HOME-Au
24h
24h
USA
USA
GOP
GOP
Phim Bộ
Phim Bộ
Videoauto
VIDEO-Au
Home Classic
Home Classic
Donation
Donation
News Book
News Book
News 50
News 50
worldautoscroll
WORLD-Au
Breaking
Breaking
 

Go Back   VietBF > World Box| Thế Giới > Vietnam News | Tin Việt Nam


Reply
 
Thread Tools
  #1  
Old  Default Người đàn ông 50 tuổi tử vong sau cú hắt hơi
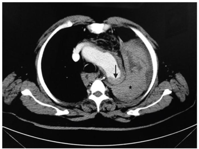
Bệnh nhân bất ngờ hôn mê sau khi hắt hơi. Bác sĩ kiểm tra qua chụp CT xác định vỡ túi phình động mạch chủ khiến người bệnh shock và tử vong ngay sau đó.

Mới đây, bác sĩ Nguyễn Minh Đức, giảng viên Trường Đại học Y Phạm Ngọc Thạch (TP HCM) chia sẻ, Bệnh viện Đa khoa Vạn Hạnh đã tiếp nhận khám cho một nam bệnh nhân 50 tuổi, (là Việt kiều Úc) có các triệu chứng của rối loạn tiêu hóa.

Sau khi thăm khám các bác sĩ phát hiện bệnh nhân bị phình động mạch chủ ngực, kích thước lên tới 50mm.

Bệnh nhân được bác sĩ tư vấn can thiệp điều trị đặt stent graft ngay vì có nguy cơ vỡ động mạch chủ nhưng bệnh nhân mong muốn quay trở lại Úc điều trị.

Ngày hôm sau, bệnh nhân bất ngờ hôn mê sau khi hắt hơi. Bác sĩ kiểm tra qua chụp CT xác định vỡ túi phình động mạch chủ khiến người bệnh shock và tử vong ngay sau đó.


Kết quả chụp CT cho thấy bệnh nhân bị vỡ phình động mạch chủ. Ảnh BSCC

Bác sĩ chia sẻ, ông cũng từng chứng kiến một bác sĩ làm trong ngành Chấn thương Chỉnh hình cũng tử vong sau cú hắt xì hơi. Vị bác sĩ này khám và phát hiện phình động mạch ngực, túi phình 45mm nhưng chưa muốn điều trị. Khi bị cảm cúm, bệnh nhân hắt hơi, gặp biến chứng vỡ phình động mạch chủ ngực và tử vong ở tuổi 60.

Theo các bác sĩ, động mạch chủ ngực là phần động mạch tiếp nối phía dưới cung động mạch chủ. Khi một vùng bất kỳ trên thành của động mạch chủ ngực suy yếu hình thành nên túi phình với kích thước lòng mạch lớn hơn các vị trí còn lại thì tình trạng này được gọi là phình động mạch chủ ngực.

Khi hắt hơi, người bệnh sẽ lấy hơi bụng đẩy lên nên gây áp lực tới động mạch chủ ngực. Động mạch đang phình căng như bóng, rất dễ vỡ dẫn đến máu ồ ạt chảy vào tim phổi gây shock và nguy cơ tử vong rất cao.

Theo các bác sĩ, nếu không được phát hiện và điều trị kịp thời, phình động mạch chủ có thể dẫn đến nhiều biến chứng nghiêm trọng, bao gồm:

Vỡ động mạch chủ: Đây là biến chứng nghiêm trọng nhất, xảy ra khi thành động mạch bị rách, gây xuất huyết ồ ạt vào khoang bụng, lồng ngực hoặc sau phúc mạc. Vỡ động mạch chủ có thể dẫn đến sốc mất máu, suy đa tạng và tử vong nhanh chóng nếu không được cấp cứu kịp thời. Các dấu hiệu của vỡ động mạch chủ thường bao gồm đau dữ dội ở ngực, bụng hoặc lưng kèm theo triệu chứng chóng mặt, nhịp tim nhanh, mất ý thức,…

Huyết khối: Sự phình to của động mạch chủ làm tăng nguy cơ hình thành cục máu đông trong lòng động mạch. Các cục máu đông này có thể di chuyển và gây tắc nghẽn mạch máu, dẫn đến nguy cơ đột quỵ hoặc nhồi máu cơ tim.

Chèn ép dây thần kinh: Khi phình động mạch phát triển, chúng có thể chèn ép vào các dây thần kinh xung quanh gây ra cảm giác đau đớn, tê bì ở khu vực cổ, lưng hoặc ngực.

Đột quỵ: Phình động mạch chủ, đặc biệt là ở khu vực gần não có thể làm tăng nguy cơ đột quỵ do tắc nghẽn hoặc vỡ mạch máu.

Tê liệt: Trong một số trường hợp, phình động mạch chèn ép dây thần kinh tủy sống hoặc gây tắc nghẽn tuần hoàn có thể gây ra biến chứng tê liệt ở tay, chân hay một phần cơ thể.

Suy tim sung huyết: Phình động mạch chủ kích thước lớn làm tăng áp lực lưu thông máu, dẫn đến tim phải hoạt động quá sức để bơm máu. Điều này có thể gây ra biến chứng suy tim với các dấu hiệu như phù nề, khó thở, mệt mỏi kéo dài,…

Suy thận: Khi phình động mạch xảy ra ở vùng bụng có thể làm gián đoạn lưu lượng máu đến thận dẫn đến suy giảm chức năng thận hoặc suy thận.

Đột tử là biến chứng nghiêm trọng nhất của phình động mạch chủ. Điều này thường xảy ra khi phình bị vỡ hoặc tách thành động mạch, dẫn đến mất máu nhanh chóng và không kịp cứu chữa.

Để phát hiện sớm phình động mạch chủ, bác sĩ Đức khuyến cáo, bệnh nhân tăng huyết áp, đái tháo đường, rối loạn mỡ máu cần thận trọng.

Với những người đã có phình hoặc bóc tách động mạch chủ nên thận trọng vì một thay đổi áp suất đột ngột như cú hắt hơi có thể gây ra vỡ, nhất là trong các đợt nhiễm trùng, nhiễm siêu vi, cảm cúm.

Theo bác sĩ Đức, phòng bệnh bằng cách ăn uống tốt cho sức khỏe tim mạch, không tiếp xúc với thuốc lá, tập luyện tối thiểu 150 phút mỗi tuần.
VIETBF Diễn Đàn Hay Nhất Của Người Việt Nam

HOT NEWS 24h

HOT 3 Days

NEWS 3 Days

HOT 7 Days

NEWS 7 Days

HOME

Breaking News

VietOversea

World News

Business News

Car News

Computer News

Game News

USA News

Mobile News

Music News

Movies News

History

Thơ Ca

Sport News

Stranger Stories

Comedy Stories

Cooking Chat

Nice Pictures

Fashion

School

Travelling

Funny Videos

Canada Tin Hay

USA Tin Hay

VietBF Homepage Autoscroll

VietBF Video Autoscroll Portal

Home Classic

Home Classic Master Page



TinNhanh247
R9 Tuyệt Đỉnh Tôn Sư
Release: 04-02-2025
Reputation: 14051


Profile:
Join Date: Oct 2014
Posts: 38,794
Last Update: None Rating: None
Attached Thumbnails
Click image for larger version

Name:	111764d0159efcc0a58f.jpg
Views:	0
Size:	41.7 KB
ID:	2509302  
TinNhanh247_is_offline
Thanks: 16
Thanked 1,795 Times in 1,633 Posts
Mentioned: 3 Post(s)
Tagged: 0 Thread(s)
Quoted: 11 Post(s)
Rep Power: 50
TinNhanh247 Reputation Uy Tín Level 6
TinNhanh247 Reputation Uy Tín Level 6TinNhanh247 Reputation Uy Tín Level 6TinNhanh247 Reputation Uy Tín Level 6TinNhanh247 Reputation Uy Tín Level 6TinNhanh247 Reputation Uy Tín Level 6TinNhanh247 Reputation Uy Tín Level 6TinNhanh247 Reputation Uy Tín Level 6TinNhanh247 Reputation Uy Tín Level 6TinNhanh247 Reputation Uy Tín Level 6TinNhanh247 Reputation Uy Tín Level 6TinNhanh247 Reputation Uy Tín Level 6TinNhanh247 Reputation Uy Tín Level 6TinNhanh247 Reputation Uy Tín Level 6TinNhanh247 Reputation Uy Tín Level 6TinNhanh247 Reputation Uy Tín Level 6TinNhanh247 Reputation Uy Tín Level 6TinNhanh247 Reputation Uy Tín Level 6
Reply

User Tag List


Công dân Mỹ cũng có thể bị ICE bắt nhầm: ‘Xứ tự do’ và nỗi sợ gõ cửa lúc nửa đêm Khi CIA mù tịt, còn một tướng VNCH đã nhìn ra trước Kinh tế Trung Quốc kẹt giữa lạm phát và giảm phát
Hàng Tàu phá vây thuế quan, Trump khoe kinh tế A+++ và chiếc ví rỗng của người Mỹ Nguyễn Cao Kỳ, cái chết bất ngờ và bài học đắt giá về ‘hòa hợp hòa giải’ Trung Quốc siết cổ doanh nghiệp Việt: Cuộc xâm lược thương mại ngay trên sân nhà
Mỹ đuổi thẳng tay nếu chửi Mỹ trên Facebook Hòa bình mong manh cho Ukraine: Kế hoạch 20 điểm, sức ép từ Trump và bài toán bầu cử giữa làn đạn Fed cắt lãi suất lần thứ ba liên tiếp: Powell “phanh gấp”, túi tiền người Mỹ thay đổi ra sao?
IKEA khai trương cửa hàng đầu tiên ở New Zealand: Người Kiwi xếp hàng từ tờ mờ sáng Nước Mỹ không dung dưỡng kẻ vô ơn: Tị nạn, di dân và cơn giận của Donald Trump Dư âm Giáng Sinh Sài Gòn xưa: Từ mùa sao sáng đến thánh ca buồn
Lê Duẩn – Mao Trạch Đông và cái giá “lá chắn phương Nam” của Việt Nam Trung Quốc hủy 540.000 vé sang Nhật: Đòn răn đe hay cú “tự bắn vào chân”? Trump xóa bỏ tiêu chuẩn nhiên liệu thời Biden
Mỹ đã hiểu sai tham vọng của Đảng Cộng sản Trung Quốc và đánh giá thấp sự quyết liệt tàn nhẫn của họ Tị nạn, thẻ xanh, visa du học cùng bị “khóa cửa” Khi bia Mexico gặp búa trừng phạt di trú của Trump: Cú ngã đau của đế chế Modelo – Corona
Biển số 37.77: Thông điệp ngầm của Thủ tướng Nhật Takaichi Sanae gửi Bắc Kinh Quốc tịch Mỹ: Tường thành gần như tuyệt đối cho người nhập tịch Con gái Hà Nội, giọt nước dưới mặt lá
Những tay giang hồ miền Nam: huyền thoại, bóng tối và cái giá phải trả Huỳnh Điều – “anh lớp Ba” mà Cộng sản sợ cái miệng hơn sợ khẩu M.79 Tiếng súng 9 giờ sáng ở Florida và hành trình cuối của nữ deputy Terri Sweeting-Mashkow
“Giang sơn” nào được sắp xếp, và sắp xếp cho ai? Sau 40 tuổi, khuôn mặt là “bản lý lịch” của tâm hồn Siêu biệt phủ trăm tỷ của Chủ tịch phường Hải Phòng: “Đại Lộc Thiên tử” giữa làng nghèo
Từ vụ sạc 24 giờ ở Mỹ đến chết yểu ở Ấn Độ: VinFast và câu hỏi dành cho người Việt Khi chú Hòa xây nhà bình dân: những kiệt tác âm thầm giữa lòng Sài Gòn Việt Nam – Xứ sở của những người bị bắt phải học nghề đói
Mailisa bị bắt và ký ức đôi vợ chồng ăn chay đi chùa Đi Hàn, đi Nhật rồi nhìn lại Việt Nam: yêu nước đâu chỉ nói trên môi Nepal – Đất nước sống ở năm 2082 giữa trái tim Himalaya
Nicholas Winton – Người hùng thầm lặng cứu 669 đứa trẻ khỏi bóng đen Đức Quốc Xã Bi kịch giáo sư Yoshihiro Sato: khi dữ liệu đẹp đổi lấy danh dự và cái chết Sự ngu dốt của bọn có học – từ Nguyễn Huy Thiệp đến thời những lời nói lật ngược sự thật

 
Lên đầu Xuống dưới Lên 3000px Xuống 3000px

iPad Videos Portal Autoscroll

VietBF Music Portal Autoscroll

iPad News Portal Autoscroll

VietBF Homepage Autoscroll

VietBF Video Autoscroll Portal

USA News Autoscroll Portall

VietBF WORLD Autoscroll Portal

Home Classic

Super Widescreen

iPad World Portal Autoscroll

iPad USA Portal Autoscroll

Phim Bộ Online

Tin nóng nhất 24h qua

Tin nóng nhất 3 ngày qua

Tin nóng nhất 7 ngày qua

Tin nóng nhất 30 ngày qua

Albums

Total Videos Online
Lên đầu Xuống dưới Lên 3000px Xuống 3000px

Tranh luận sôi nổi nhất 7 ngày qua

Tranh luận sôi nổi nhất 14 ngày qua

Tranh luận sôi nổi nhất 30 ngày qua

10.000 Tin mới nhất

Tin tức Hoa Kỳ

Tin tức Công nghệ
Lên đầu Xuống dưới Lên 3000px Xuống 3000px

Super News

School Cooking Traveling Portal

Enter Portal

Series Shows and Movies Online

Home Classic Master Page

Donation Ủng hộ $3 cho VietBF
Lên đầu Xuống dưới Lên 3000px Xuống 3000px
Diễn Đàn Người Việt Hải Ngoại. Tự do ngôn luận, an toàn và uy tín. Vì một tương lai tươi đẹp cho các thế hệ Việt Nam hãy ghé thăm chúng tôi, hãy tâm sự với chúng tôi mỗi ngày, mỗi giờ và mỗi giây phút có thể. VietBF.Com Xin cám ơn các bạn, chúc tất cả các bạn vui vẻ và gặp nhiều may mắn.
Welcome to Vietnamese American Community, Vietnamese European, Canadian, Australian Forum, Vietnamese Overseas Forum. Freedom of speech, safety and prestige. For a beautiful future for Vietnamese generations, please visit us, talk to us every day, every hour and every moment possible. VietBF.Com Thank you all and good luck.

Lên đầu Xuống dưới Lên 3000px Xuống 3000px

All times are GMT. The time now is 12:30.
VietBF - Vietnamese Best Forum Copyright ©2005 - 2025
User Alert System provided by Advanced User Tagging (Pro) - vBulletin Mods & Addons Copyright © 2025 DragonByte Technologies Ltd.
Log Out Unregistered

Page generated in 0.10207 seconds with 13 queries