HOME-Au
HOME-Au
24h
24h
USA
USA
GOP
GOP
Phim Bộ
Phim Bộ
Videoauto
VIDEO-Au
Home Classic
Home Classic
Donation
Donation
News Book
News Book
News 50
News 50
worldautoscroll
WORLD-Au
Breaking
Breaking
 

Go Back   VietBF > Others (Closed Forums) > Archive - Old News 2005-2011 (closed)

 
 
Thread Tools
Default Nghịch chơi, bé 18 tháng tuổi nuốt kim ghim
Old 10-24-2011   #1
dh2003
R7 Tuyệt Đỉnh Cao Thủ
 
dh2003's Avatar
 
Join Date: Sep 2008
Posts: 9,141
Thanks: 0
Thanked 1 Time in 1 Post
Mentioned: 0 Post(s)
Tagged: 0 Thread(s)
Quoted: 0 Post(s)
Rep Power: 27
dh2003 Reputation Uy Tín Level 1dh2003 Reputation Uy Tín Level 1
Được mẹ đưa sang nhà hàng xóm chơi, thấy chiếc kim ghim bé A. cầm đưa vào miệng không ngờ chiếc kim trôi tuột xuống họng. Tại bệnh viện qua nội soi bác sĩ đã lấy ra từ cuống phổi của bé chiếc kim dài gần 5cm.

Tai nạn hi hữu ấy đã xảy ra với bé T.N.T.A (18 tháng tuổi, ngụ tại TPHCM). Trước đó cháu đã đi cùng mẹ qua nhà hàng xóm làm nghề may mặc chơi, trong lúc mẹ không để mắt đến bé đã nhặt chiếc kim ghim (loại kim một đầu nhọn một đầu có nút dùng để cố định vải) chơi rồi đưa vào miệng.

Chiếc kim trơn trôi tuột xuống họng khiến bé ho, nôn ói, ôm cổ kêu đau, nước miếng chảy ra nhiều… Thấy chiếc kim trên bàn may biến mất, mọi người nghi ngờ bé đang bị hóc dị vật này nên móc họng và gây ói nhưng không thành nên chuyển bé đến bệnh viện.



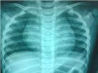
Chiếc kim ghim nằm chắn ngang trong lồng ngực của bé

Tại Nhi Đồng 1, sau khi khám và chụp phim X-quang ghi nhận dị vật hình một chiếc kim nhọn nằm trong ngực bệnh nhi. Ngay lập tức bác sĩ đã tiến hành nội soi thực quản tuy nhiên lần nội soi này không tìm thấy chiếc kim nên phải tiếp tục nội soi qua đường thở

Bác sĩ cho biết, ngay khi ống soi đi vào đường thở đã phát hiện nhiều vết trầy xước, khi soi đến cuống phổi bên phải mới phát hiện và gắp ra chiếc kim đang mắc tại đây. Sau khi lấy dị vật ra ngoài sức khỏe của bé cũng dần bình phục, tuy nhiên cháu phải điều trị bằng kháng sinh hỗ trợ phục hồi các vết xước do chiếc kim gây ra trong đường thở.

Nuốt dị vật là tai nạn rất hay gặp ở trẻ nhỏ, qua trường hợp này, bác sĩ khuyến cáo các bậc phụ huynh phải thường xuyên để mắt đến con em mình, không cho trẻ chơi những vật nhọn, vật nhỏ có thể đưa được vào miệng… Nếu nghi ngờ trẻ nuốt dị vật phải nhanh chóng đưa trẻ đến bệnh viện, không nên dùng tay móc họng gây ói vì hành động này có thể đấy dị vật vào sâu hơn gây nguy hiểm đến tính mạng của trẻ.

Theo Dân trí
dh2003_is_offline  
Attached Thumbnails
Click image for larger version

Name:	241011thoisunuotkim_140.jpg
Views:	5
Size:	5.4 KB
ID:	327308  
 
User Tag List


Iran chìm trong biển máu: Trump hủy đàm phán, nói “cứ xuống đường – cứu trợ đang tới” Robotaxi Tesla: lời hứa bay cao, thực tế “đi chậm” — cổ phiếu lập đỉnh trong khi xe điện hụt hơi Kyiv chìm trong băng giá và bóng tối: Nga tung hơn 300 drone, đánh vào điện – sưởi giữa lúc -10°C
Nước Pháp 2025: lần đầu “chết nhiều hơn sinh” từ sau Thế chiến II, trong lúc Marine Le Pen bước vào phiên tòa sinh tử Trump nhắm Greenland vì “đất hiếm”: nhưng giấc mơ mỏ khoáng ở Bắc Cực bị chê như… đào vàng trên Mặt Trăng Ba lực kéo hội tụ khiến chế độ độc tài Iran lung lay
Bí ẩn “Havana Syndrome” nóng trở lại: Mỹ âm thầm mua thiết bị “sóng radio xung”, giá tới hàng chục triệu USD Hộ chiếu quyền lực nhất thế giới 2026: Singapore số 1, Mỹ tụt dốc, UAE bứt phá ngoạn mục Cuộc chiến Trump – Powell leo thang: trát đòi DOJ, video 2 phút làm rung chuyển “độc lập Fed”
Minnesota bật lại sau vụ ICE bắn chết phụ nữ 37 tuổi Mỹ tóm 2 tàu chở dầu - Rượt đuổi “tàu ma” : Anh tiếp sức, Mỹ ập lên tàu treo cờ Nga giữa Bắc Đại Tây Dương Con trai Maduro lên tiếng, Mỹ giữ quyền bán dầu Venezuela: Bắc Kinh tố “bắt nạt”
Mỹ mở chiến dịch “tóm” tàu dầu bóng ma liên quan Venezuela mang cờ Nga Bắc Cực dậy sóng: Mỹ chuẩn bị chiếm đóng Greenland Sau Venezuela, Trump hướng mũi nhọn sang Greenland: NATO rạn nứt vì lời đe dọa “an ninh quốc gia”
Từ cung điện Miraflores đến “nhà kho” MDC Brooklyn: Maduro bước vào chiếc lồng sắt nước Mỹ Cược Maduro bị bắt “trúng đậm” 400.000 USD trên Polymarket: May mắn phi thường, hay mùi… tin mật? Trump dọa GOP: Thua bầu cử giữa kỳ là tôi sẽ bị luận tội!
New York có thị trưởng Hồi giáo đầu tiên: Mamdani nhậm chức giữa biển người, Bernie Sanders tuyên thệ và tiếng hô “tax the rich!” Cuộc rượt đuổi lạnh gáy: Tàu dầu rỉ sét vẽ “cờ Nga” lên mạn tàu bị nghi chở dầu Iran tìm cách thoát lệnh tịch thu của Mỹ Chánh án Roberts nhắc người Mỹ: Tòa án phải độc lập, Hiến pháp là “điểm tựa” giữa bão đảng phái
Đêm Giao Thừa ở Mar-a-Lago: Trump xem vẽ “tóc họa” Chúa Jesus rồi đấu giá 2,75 triệu đô Bảy ngày chờ phép màu sau Giáng Sinh: thiếu nữ 19 tuổi ở Texas được tìm thấy đã qua đời, gia đình xin “hãy tôn trọng nỗi đau” Nhà Trắng đổi thái độ sau đánh giá của CIA về vụ drone ở Valdai
Từ ép sinh ít đến khuyến sinh nhiều: Trung Quốc loay hoay cứu tỷ lệ sinh giữa bão chi phí và thất vọng tuổi trẻ Washington sau một năm Trump trở lại: bộ máy liên bang bị đảo lộn như một công trường phá dỡ Obamacare đã hết hạn: Hàng triệu người Mỹ bước vào 2026 với cú sốc tiền bảo hiểm
Opera, Proton VPN, SetupVPN ... cung cấp VPN miễn phí để người trong nước vượt tường lửa Một ngày làm khách ở Sài Gòn: Taxi công nghệ đưa bạn đi từ bất ngờ này sang… bực bội khác Nhà thờ cũng phải “ra thông báo”: Để quên ví coi chừng… thành phép màu cho người khác!
Thứ trưởng Hải quân Hung Cao và lễ tốt nghiệp khiến cả khán phòng nghẹn lại Trump ra mắt “Trump Class”: Hạm đội Vàng, soái hạm Kiêu Hùng khổng lồ nhất thế giới và tham vọng áp đảo đại dương Trump “đạp phanh” điện gió ngoài khơi: hàng tỷ đô la đứng hình, giá điện có nguy cơ leo thang
Ông Trump sẽ đưa 200 vạn quân tinh nhuệ đánh Đan Mạch, chiếm Greenland? Hải quan xem phim XXX khi làm việc, thảo nào nhập cảnh-xuất cảnh ở Việt Nam chậm như rùa bò Ngày đồng hương nói “đủ rồi”: Cộng Đồng NSW tái ổn định sau nhiều năm chia rẽ
Cuộc đua gom vàng của ngân hàng trung ương và ‘khối cầu’ 47.000 tỉ USD Đằng sau nội các Trump: Những người vợ kể chuyện “đội ngũ lớn” trong Tòa Bạch Ốc Kim Jong Un ôm lính thương tật, tung hô ‘anh hùng’ Bắc Hàn trở về từ chiến trường Kursk
Con trai của nhà hoạt động cộng đồng, nữ MC Mã Tiểu Linh qua đời “Lời chúc bất hạnh” của Chánh án John Roberts: Bài học trưởng thành không ai dạy chúng ta ở trường Đừng biến ICE thành “con ngáo ộp”: Hiểu luật để bớt sợ và biết tự bảo vệ mình
Westminster dậy sóng vì con đường “Charlie Kirk Way”: Dân phản đối, hội đồng vẫn phớt lờ Thăm nước Mỹ thời Trump: Từ dĩa cơm tấm Cali đến bi kịch Melissa Trần Vua Charles III và hành trình ung thư: Khi nhà vua nói về nỗi sợ, hy vọng và “phép màu” phát hiện sớm
Bi kịch quán bún ốc Trần Hưng Đạo: 3 mẹ con chết ngạt sau cửa cuốn khóa kín ‘America Alone’ – Khi Trump vẽ lại trật tự thế giới theo cách của mình Cuộc chơi liều lĩnh của Trump với Tu chính án 14 và quyền có quốc tịch khi chào đời
LeBron James: Chấp nhận đánh mất kỷ lục 1.297 trận chỉ để làm một đường chuyền đúng Ciel Tower – khách sạn cao nhất thế giới Chiếc nhẫn cưới ‘mất tích’ và nghi ngờ Phó Tổng Thống Mỹ bỏ cô vợ Ấn Độ
Karoline Leavitt: Từ ‘thánh cô nói láo’ đến biểu tượng của Trump 2.0 Bong bóng AI, khí hậu nổi giận và năm 2026 Khi Vingroup phải vay trái phiếu lãi 12%: Phao cứu sinh hay bước đi liều mạng?
Từ Geneva đến Kyiv: Kế hoạch 28 điểm của Trump và thế lưỡng nan của Ukraine Nước Nga trên ván bài cuối: biết không thể thắng nhưng vẫn lao vào cuộc chiến đến cùng Tiền thuế đã đi đâu, khi dân miền Trung đói rét trên nóc nhà chờ chết?
Nellie Bly – 72 ngày vòng quanh thế giới và cú đòn vào mọi định kiến về phụ nữ “Góa phụ đen” ở nước Nga: khi cái chết của người lính trở thành một mô hình kinh doanh Lá thư cuối của Kurt Vonnegut: hãy sáng tạo chỉ để tâm hồn mình lớn lên
Trung Quốc vỡ trận công nghiệp: khi “Made in China” bước vào thập niên suy thoái mới Bốn ngày trên nóc nhà: khi người dân miền Trung thực sự bị bỏ rơi giữa lũ dữ Không một lời cảnh báo: Miền Trung chết chìm trong lũ thủy điện “đúng quy trình”
Biệt kích Chung Tử Ngọc – Từ ngọn đồi lửa đạn đến sáu năm lao tù cộng sản Một mạng người đáng giá bao nhiêu – từ vụ tai nạn ở California đến những xác người trong lũ Việt Nam Mercury – đoàn tàu Art Deco biến tốc độ thành cái đẹp hữu hình
Hoa Kỳ-Ukraine đạt sự đồng thuận cho kế hoạch hòa bình với 19 điểm mới Tấm chăn thơ rách nát giữa địa ngục cộng sản – từ hố xí tập thể đến bến bờ tị nạn Morgan Geyser trốn khỏi giám sát: Bóng ma Slender Man trở lại sau vụ đâm bạn 19 nhát chấn động nước Mỹ
New Delhi ngạt thở: Khi Pháo đài Đỏ hóa đen và người dân chỉ còn ước được… hít thở Red Bull – từ lon nước vàng ở Bangkok đến đế chế nội dung làm thay đổi thế giới Kế hoạch 28 điểm của Trump: Hoà bình cho Ukraine hay bản hợp đồng nhượng bộ cho Nga?
Thêm một sĩ quan trẻ gốc Việt qua đời, nguyên nhân không như tin đồn “tào lao, tự tử” trên Facebook Tịch thu và bắt hàng loạt lãnh đạo công ty nhà Cường “đô la” Peter Arnett qua đời: tiếng nói độc lập từ chiến trường Việt Nam đến Baghdad
Cuộc chiến giành Warner & CNN: tiền mặt, thế lực, và bóng dáng Nhà Trắng Sự thật khó nghe: Trung Quốc giàu lên nhanh nhất khi .... Ngoại trưởng Nga thú nhận: Mỹ đã hứa trao lãnh thổ Ukraine cho Moscow
Chánh Văn phòng Tòa Bạch Ốc gây cú sốc về ông Trump trong cuộc phỏng vấn với Vanity Fair Thuế quan thổi ngược chiều: việc làm tay chân co lại, và “nhiệt” chính trị hạ dần Một dòng “sông” trong biển lệch nhịp: vì sao mặt biển Nhật Bản đang phình lên – và nghề cá lao đao
Khủng hoảng “affordability” ở Mỹ Trump mở cửa chip H200 cho Trung Quốc và cuộc chiến giành “quyền viết luật” cho trí tuệ nhân tạo Google và giấc mơ thay thế smartphone bằng cặp kính AI
Trump, Netflix và Paramount: Cuộc chiến thâu tóm Warner Bros. biến Hollywood thành bàn cờ chính trị Trung Quốc bứt tốc xuất khẩu, nông dân Mỹ sống bằng trợ cấp VN: Sợ áp lực mỗi khi ra tòa, Hoa hậu Thùy Tiên chấp nhận bản án 2 năm tù
Lại to tiếng: Ông Trump nói nữ ký giả của CNN là "ngu ngốc và độc ác" Zelensky chạy đua ngoại giao: London, Brussels, Rome và cái bóng hòa kế của Trump New Orleans trong vòng vây ICE: Chiến dịch “Catahoula Crunch” và nỗi lo của người Việt
“Huyền thoại ‘Trung Quốc là Singapore phóng đại’ đang sụp đổ như thế nào?” Trung Tá Nhảy Dù Bùi Quyền: Từ thủ khoa Võ Bị đến chiếc ghế trống sau 60 năm gặp lại Làm gì có “giải phóng” mà tôn vinh “chiến sĩ giải phóng”?
Cuba cá đầy biển, ngư dân vẫn đói: Khi thiên nhiên hào phóng nhưng thể chế “thắt nút cổ chai” Quận Cam: Người già gốc Việt sống trong nhà tiền chế, run rẩy trước mỗi lá thư cảnh cáo Doanh nghiệp châu Âu lặng lẽ tháo chạy khỏi Trung Quốc, nguyên nhân?
Năm tiếng trong Điện Kremlin: Hòa bình Ukraine đang đến gần? Một tổng thống lim dim, một thế giới nín thở Trump, Venezuela và cơn bão “tội ác chiến tranh” ở Washington

 
Lên đầu Xuống dưới Lên 3000px Xuống 3000px

iPad Videos Portal Autoscroll

VietBF Music Portal Autoscroll

iPad News Portal Autoscroll

VietBF Homepage Autoscroll

VietBF Video Autoscroll Portal

USA News Autoscroll Portall

VietBF WORLD Autoscroll Portal

Home Classic

Super Widescreen

iPad World Portal Autoscroll

iPad USA Portal Autoscroll

Phim Bộ Online

Tin nóng nhất 24h qua

Tin nóng nhất 3 ngày qua

Tin nóng nhất 7 ngày qua

Tin nóng nhất 30 ngày qua

Albums

Total Videos Online
Lên đầu Xuống dưới Lên 3000px Xuống 3000px

Tranh luận sôi nổi nhất 7 ngày qua

Tranh luận sôi nổi nhất 14 ngày qua

Tranh luận sôi nổi nhất 30 ngày qua

10.000 Tin mới nhất

Tin tức Hoa Kỳ

Tin tức Công nghệ
Lên đầu Xuống dưới Lên 3000px Xuống 3000px

Super News

School Cooking Traveling Portal

Enter Portal

Series Shows and Movies Online

Home Classic Master Page

Donation Ủng hộ $3 cho VietBF
Lên đầu Xuống dưới Lên 3000px Xuống 3000px
Diễn Đàn Người Việt Hải Ngoại. Tự do ngôn luận, an toàn và uy tín. Vì một tương lai tươi đẹp cho các thế hệ Việt Nam hãy ghé thăm chúng tôi, hãy tâm sự với chúng tôi mỗi ngày, mỗi giờ và mỗi giây phút có thể. VietBF.Com Xin cám ơn các bạn, chúc tất cả các bạn vui vẻ và gặp nhiều may mắn.
Welcome to Vietnamese American Community, Vietnamese European, Canadian, Australian Forum, Vietnamese Overseas Forum. Freedom of speech, safety and prestige. For a beautiful future for Vietnamese generations, please visit us, talk to us every day, every hour and every moment possible. VietBF.Com Thank you all and good luck.

Lên đầu Xuống dưới Lên 3000px Xuống 3000px

All times are GMT. The time now is 18:32.
VietBF - Vietnamese Best Forum Copyright ©2005 - 2026
User Alert System provided by Advanced User Tagging (Pro) - vBulletin Mods & Addons Copyright © 2026 DragonByte Technologies Ltd.
Log Out Unregistered

Page generated in 0.12854 seconds with 13 queries