HOME-Au
HOME-Au
24h
24h
USA
USA
GOP
GOP
Phim Bộ
Phim Bộ
Videoauto
VIDEO-Au
Donation
Donation
News Book
News Book
News 50
News 50
worldautoscroll
WORLD-Au
Breaking
Breaking
 

Go Back   VietBF > Other > School | Kiến thức > School | Kiến thức 2006-2019


 
Thread Tools
 
 
  #1  
Old  Default Những việc cần làm khi bị mòn chân răng
Chân răng bị bào mòn không chỉ do tuổi tác mà do rất nhiều nguyên nhân. Nếu bị mòn do thuốc thì bác sĩ sẽ thay đổi cách dùng có thể giảm nguy cơ nhưng nếu các nguyên nhân khác thì sao?


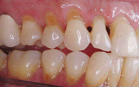
Răng bị bào mòn. (Ảnh minh họa)

Theo TS-BS Phạm Thị Thu Hằng (Khoa Răng - Bệnh viện Trung ương Quân đội 108), mòn-tiêu cổ răng là hiện tượng mất tổ chức cứng của răng ở vị trí gần đường nối men ngà. Biểu hiện dễ nhận biết là cổ răng bị khuyết, lõm sâu có hình chữ V (còn gọi là lõm hình chêm), hay gặp nhất ở mặt ngoài cổ răng hàm nhỏ ở hàm trên, ngoài ra còn thấy ở răng cửa và răng hàm lớn.

Đôi khi người bệnh được phát hiện khi răng xuất hiện hiện tượng nhạy cảm với nhiệt độ hoặc thức ăn ngọt, chua.

Những tổn thương này gia tăng theo tuổi và gặp từ lứa tuổi thanh niên cho tới người cao tuổi. Đặc biệt với lối sống tiêu thụ nhiều đồ uống có tính axit ở người trẻ tuổi và thuốc điều trị bệnh mãn tính ở người nhiều tuổi sẽ làm tăng độ axit trong khoang miệng dẫn đến tổ chức cứng của răng dễ bị bào mòn, tiêu cổ răng càng nặng.

Các nguyên nhân chủ yếu gây mòn-tiêu cổ răng theo bác sĩ Hằng có ba nguyên nhân chính:

Thứ nhất do ăn mòn của axit: Bình thường nước bọt trong môi trường miệng có pH = 7,0 trung tính. pH môi trường miệng có thể thay đổi do trào ngược dạ dày thực quản, dịch dạ dày có pH = 1,0-2,0. Có thể do người bệnh sử dụng thức uống có tính axit như trái cây, coca cola, nước tăng lực, rượu vang…(Coca cola có axit photphoric, nước tăng lực có axit citric). Các nước này có pH = 2,5-3,4.

Ngược lại, khi sử dụng ma túy qua đường miệng, pH trong miệng < 4,5. Lúc này sẽ xảy ra hiện tượng khử khoáng ở men và ngà răng.

Nguyên nhân thứ hai là ăn mòn do lực ma sát tác động, có thể do dùng bàn chải có lông cứng kết hợp với kem đánh răng có chất tẩy, chải răng quá mạnh với động tác đánh ngang gây chà sát làm tổn thương vùng cổ răng.

Nguyên nhân thứ ba do rối loạn cắn: Lực nhai quá mức, truyền đến vùng cổ răng như một lực uốn làm phá vỡ cấu trúc men răng, gây nứt vi cấu trúc. Dần dần tổn thương lớn hơn tạo lõm hình chêm vùng cổ răng. Thường gặp ở bệnh nhân có tật nghiến răng và mất răng, gây rối loạn cắn, khớp cắn sang chấn.

Các biện pháp ngăn ngừa mòn-tiêu cổ răng được bác sĩ Hằng đưa ra là:

Khám răng định kỳ 6 tháng một lần. Việc chẩn đoán sớm rất quan trọng để thay đổi những thói quen không tốt, có biện pháp phòng ngừa giúp bệnh nhân tránh phải can thiệp phục hồi có xâm lấn.

Giảm pH axit trong miệng từ bên ngoài: giảm các đồ ăn thức uống có tính axit. Giảm pH axit do trào ngược dạ dày bằng thuốc chống trào ngược, giảm axit dịch vị.

Đánh răng bằng bàn chải mềm với kem đánh răng chứa fluor, tăng độ khoáng hóa men răng với các biện pháp bổ sung fluor trong nước uống, muối ăn...

Bác sĩ Hằng khuyến cáo khi thấy xuất hiện một vết khuyết trên cổ răng, cần đến khám nha sĩ. Cũng có thể bệnh nhân thấy khó chịu với cảm giác ê buốt cổ răng. Vấn đề được phát hiện sớm, tổn thương sẽ được ngăn chặn. Điều trị mòn tiêu cổ răng tùy thuộc vào tình trạng tổn thương mô răng.

Nếu cổ răng tiêu ít nhưng có quá cảm ngà, nha sỹ bôi vecni vào vùng cổ răng để tránh sự tiếp xúc với môi trường axit và giảm ê buốt.

Nếu cổ răng tiêu đến mức cần hàn-trám, nha sĩ sẽ thay thế phần men răng tiêu lõm bằng một vật liệu trám có màu giống với răng. Có hai loại vật liệu được dùng là nhựa Composite và GIC (Glass Ionomer Cement). Đối với những răng mòn sâu ảnh hưởng đến tủy răng, có thể cần đến điều trị tủy hoặc nhổ bỏ.

VietBF © sưu tầm
Dịch trang: EnglishEnglish DeutschDeutsch FrançaisFrançais EspañolEspañol ItalianoItaliano PortuguêsPortuguês
NorskNorsk NederlandsNederlands DanskDansk SuomiSuomi PolskiPolski ČeštinaČeština РусскийРусский
日本語日本語 한국어한국어 中文(简体)中文(简体) 中文(繁體)中文(繁體) MagyarMagyar TürkçeTürkçe
العربيةالعربية ไทยไทย LatinaLatina हिन्दीहिन्दी Bahasa IndonesiaBahasa Indonesia Bahasa MelayuBahasa Melayu
VIETBF Hybrid Community Content Hub

HOT NEWS 24h

HOT 3 Days

NEWS 3 Days

HOT 7 Days

NEWS 7 Days

HOME

Breaking News

VietOversea

World News

Business News

Car News

Computer News

Game News

USA News

Mobile News

Music News

Movies News

History

Thơ Ca

Sport News

Stranger Stories

Comedy Stories

Cooking Chat

Nice Pictures

Fashion

School

Travelling

Funny Videos

Canada Tin Hay

USA Tin Hay

VietBF Homepage Autoscroll

VietBF Video Autoscroll Portal

Video Classic Master

iPad News Portal

VietBF iPad Music Portal

Tin nóng nhất 50h qua

Phim Bộ Online

Phim Bộ



troopy
R10 Vô Địch Thiên Hạ
Release: 12-30-2018
Reputation: 228215


Profile:
Join Date: Oct 2014
Posts: 93,275
Last Update: None Rating: None
Attached Thumbnails
Click image for larger version

Name:	25.jpg
Views:	0
Size:	29.3 KB
ID:	1321062  
troopy_is_offline
Thanks: 76
Thanked 7,044 Times in 6,145 Posts
Mentioned: 5 Post(s)
Tagged: 0 Thread(s)
Quoted: 34 Post(s)
Rep Power: 116
troopy Reputation Uy Tín Level 10troopy Reputation Uy Tín Level 10troopy Reputation Uy Tín Level 10troopy Reputation Uy Tín Level 10troopy Reputation Uy Tín Level 10troopy Reputation Uy Tín Level 10
troopy Reputation Uy Tín Level 10troopy Reputation Uy Tín Level 10troopy Reputation Uy Tín Level 10troopy Reputation Uy Tín Level 10troopy Reputation Uy Tín Level 10troopy Reputation Uy Tín Level 10troopy Reputation Uy Tín Level 10troopy Reputation Uy Tín Level 10troopy Reputation Uy Tín Level 10troopy Reputation Uy Tín Level 10troopy Reputation Uy Tín Level 10troopy Reputation Uy Tín Level 10troopy Reputation Uy Tín Level 10troopy Reputation Uy Tín Level 10troopy Reputation Uy Tín Level 10troopy Reputation Uy Tín Level 10troopy Reputation Uy Tín Level 10troopy Reputation Uy Tín Level 10troopy Reputation Uy Tín Level 10troopy Reputation Uy Tín Level 10troopy Reputation Uy Tín Level 10troopy Reputation Uy Tín Level 10troopy Reputation Uy Tín Level 10
Dịch trang: EnglishEnglish DeutschDeutsch FrançaisFrançais EspañolEspañol ItalianoItaliano PortuguêsPortuguês
NorskNorsk NederlandsNederlands DanskDansk SuomiSuomi PolskiPolski ČeštinaČeština РусскийРусский
日本語日本語 한국어한국어 中文(简体)中文(简体) 中文(繁體)中文(繁體) MagyarMagyar TürkçeTürkçe
العربيةالعربية ไทยไทย LatinaLatina हिन्दीहिन्दी Bahasa IndonesiaBahasa Indonesia Bahasa MelayuBahasa Melayu
 
User Tag List


Mỹ chưa sẵn sàng hộ tống tàu qua Hormuz, Nga bị tố giúp Iran, “Ayatollah” là gì, Mỹ tiết lộ số dầu trung bình-thấp còn trong kho Thông điệp đầu tiên của Tân Giáo Chủ Ba Tư: đóng Hormuz, dọa đánh căn cứ Mỹ và lời trấn an nửa vời với láng giềng Putin trúng số giữa cơn bão Trung Đông: khi dầu mỏ, chiến tranh và ảo tưởng của Trump cùng đẩy Nga hưởng lợi
Iran đưa ra ba điều kiện để chấm dứt chiến tranh, Giá nhiên liệu máy bay tăng mạnh, du lịch Trung Đông thiệt hại 600 triệu USD mỗi ngày California thấp thỏm, Iran mở rộng đòn đánh, hai tàu chở dầu bốc cháy, Mỹ tung 172 triệu thùng, Trump tuyên bố “đã thắng” Mỹ đánh Iran, châu Âu đứng nửa gần nửa xa: Donald Trump bỗng thấy cô đơn giữa vòng đồng minh
“G2” hay giấc mộng lưỡng cực: Trump muốn Mỹ - Trung cùng chia thiên hạ, Bắc Kinh lại không muốn mang tiếng bá quyền Nga ngồi không cũng hưởng lợi: chiến tranh Iran có thể thành “mỏ vàng” mới cho Điện Kremlin Eo biển Hormuz bốc lửa, chiến tranh lan rộng: Tàu hàng Thái Lan nổ tung, Iran có kho thuỷ lôi đáng sợ
DHS “quay xe” vụ dừng PreCheck: Hành khách thở phào, Global Entry vẫn bấp bênh Newsom “lên đường” bằng tour sách: Nếu đối đầu Kamala Harris, đó là… số phận Đêm Mar-a-Lago: Kẻ mang súng và can xăng bị bắn hạ ngay cổng Bắc
Tô Lâm bắt đầu chiến dịch thanh trừng các đàn em của Nguyễn Phú Trọng còn sót lại TRUMP MANG LẠI THÙ GHÉT CHƯA TỪNG THẤY Tràn ngập ảnh Đinh La Thăng ăn tết ở nhà, báo chí trong nước bịt kín thông tin
Trump nâng thuế quan toàn cầu lên 15% sau phán quyết Tối Cao Pháp Viện: “Đòn bẩy” mới, sóng gió mới Bốn năm chiến sự Ukraine: Nga trả giá bằng máu, bằng tiền – và bằng vị thế quốc tế Sydney rộn ràng Hội Chợ Tết Bính Ngọ 2026: Khai mạc tưng bừng – Hôm nay (CN 22/2) tiếp tục 10AM–10PM, pháo bông 9PM
IKEA đóng hàng loạt cửa hàng ở Trung Quốc Giá vàng–bạc tăng dựng đứng, huy chương Olympic mùa đông 2026 thành “tài sản” kỷ lục Mất xe là mất đường sống: Mỹ chứng kiến làn sóng tịch thu xe kỷ lục, Thượng viện “soi” ngành cho vay mua xe
EEOC “gõ cửa” Nike vì nghi phân biệt đối xử với nhân viên da trắng: Chính quyền Trump siết anti-DEI, Nike trở thành ví dụ điển hình Cây tre gặp gió lớn: tài sản Việt Cộng ở Cuba – Venezuela đứng trước nguy cơ “bốc hơi”, Rubio siết “vòng cổ năng lượng” Cuba Cuba và chiếc “phao” cấm vận: vì sao 66 năm rồi vẫn đổ thừa Hoa Kỳ?
Việt Nam lo sợ Mỹ đã lên kế hoạch bắt sống lãnh đạo, lật đổ chế độ Một năm “bão tố” khoa học Mỹ: tưởng sập mái, rốt cuộc vẫn trụ được Đài Loan “kẹt” gói quốc phòng 40 tỷ USD
Nữ du khách Canada 19 tuổi tử vong giữa bầy dingo Pháp cấm người dưới 15 tuổi sử dụng Facebook vì quá độc hại Minneapolis: Video cho thấy súng bị rút khỏi người Alex Pretti trước khi loạt đạn nổ — ai bắn phát đầu?
Bão tuyết “xé đôi” nước Mỹ: băng đá kèm sấm sét, 16.000 chuyến bay bị hủy, gần 1 triệu nhà mất điện Bão tuyết “khóa” nước Mỹ: băng đá dài 2.000 dặm, 14.800 chuyến bay bị hủy, rét kỷ lục rình rập Minneapolis lại đổ máu: Y tá Alex Pretti gục ngã giữa chiến dịch truy quét của liên bang
Tướng thân cận của Tập Cận Bình : Trương Hựu Hiệp bị điều tra, chiến dịch thanh trừng chạm tới tầng cao nhất PLA Bão tuyết 2.000 dặm “xé” nước Mỹ: băng đá như dây thòng lọng, 13.000 chuyến bay nằm im Minneapolis “bốc cháy” giữa băng giá: biểu tình ICE Out, bắt bớt người, rồi thêm một công dân Mỹ bị bắn chết
Một ngày ‘đứt mạch’ ở Mỹ: Verizon sập mạng, FBI ập vào nhà phóng viên, AI bị siết và Saks nộp đơn phá sản Iran bên bờ sóng gió, Mỹ cân nhắc ra tay: dầu mỏ – chip AI – vàng bạc cùng rung chuyển Những chuyện hài hước nhất hôm nay
Những lỗ thủng miễn dịch ở Mỹ: miễn trừ vaccine tăng vọt, sởi bùng phát – FDA cũng vừa gỡ cảnh báo ‘ý nghĩ tự tử’ khỏi thuốc gi Một lá phiếu của Vance, một chiến thắng của Trump: Thượng viện chặn nghị quyết siết quyền đánh Venezuela Trump nói Iran “không có kế hoạch hành quyết”, nhưng Trung Đông vẫn nín thở
Hawley “quay xe” phút chót: Trump siết kỷ luật đảng trước lá phiếu War Powers về Venezuela Greenland băng giá dậy sóng: Đan Mạch tăng quân, NATO vào cuộc giữa sức ép “thâu tóm” từ ông Trump “Lằn ranh đỏ” tự đặt: Trump cân nhắc đòn đánh Iran, vùng Vịnh nín thở chờ quyết định
“Vũ hội 400 triệu USD ở Nhà Trắng”: Trump phá East Wing, dự án phòng khiêu vũ gây bão tranh cãi Trump ra lệnh mua 200 tỷ USD “trái phiếu thế chấp”: Lãi vay nhà ở Mỹ sắp hạ nhiệt? Minneapolis dậy sóng sau vụ ICE bắn chết công dân Mỹ: “ICE OUT!” vang giữa băng giá
Iran: Người dân đổ ra đường quyết lật độ chính quyền độc tài Berlin tê liệt giữa băng giá: 100.000 người mất điện vì vụ phóng hỏa bị gọi là “khủng bố” Bóng ma chiến tranh phủ lên bàn đàm phán: Nga dọa đánh thẳng lực lượng Anh–Pháp tại Ukraine
Iran bùng nổ biểu tình vì “không còn mua nổi gì”: đồng tiền rơi tự do, chính quyền chỉ còn… dùi cui Sau vụ đặc nhiệm bắt Maduro: Cabello nổi lên như nhân vật then chốt, Mỹ treo thưởng 25 triệu USD Ký sự phiếu cơm của Vietnam Airlines, Chuyện “claim” bồi thường EU: 600 euro có thật dễ ăn?
Hòa Giải Không Thể Là Mệnh Lệnh: Vì Sao Người Việt Quốc Gia Hải Ngoại Nói Không Bắt Tay Khi “Chính” Không Luôn Thắng “Tà” – Nhưng Lòng Nhân Vẫn Có Thể Cứu Một Đời Người Vĩnh Biệt Thầy Đặng Thông Phong – “Ngọn Núi” Aikido Của Người Việt
Nơi đây yên nghỉ các chiến sĩ lầm đường: Một tấm bia ở Tân Sơn Nhất và bài học về lòng nhân Bi kịch ở phi trường Salt Lake City: Một cơn khủng hoảng tâm thần, một lỗ hổng an ninh, và lá đơn kiện 300.000 USD Bi kịch trong ngôi nhà sang trọng ở Ohio: Nha sĩ và vợ bị bắn chết, hai con nhỏ vẫn an toàn
10 phút tới liền và cái giá phía sau: Hơn 200.000 shipper Ấn Độ đình công đêm giao thừa Biển Baltic lại đứt mạch: Phần Lan bắt tàu nghi kéo neo làm hỏng cáp nối Helsinki–Tallinn Cái cặp bí ẩn, Vecna và lời hẹn cuối: Stranger Things kết thúc trong nước mắt
Đụng ICE ngoài đường: Vì sao những vụ “xe tông xe” đang thành kịch bản đáng sợ ở Mỹ? Mỹ “khóa cửa” drone Trung Quốc: Thế hệ DJI mới chính thức hết đường vào! Mỹ phá cơ sở mại dâm của Trung Cộng đội lốt dưới vỏ kinh doanh massage
Chuyện cười ra nước mắt, dân Hàn Quốc đòi hạ cờ Việt Cộng! vì nhầm là “hàng Tàu” +video Đêm Noel đổi đời: Powerball nổ $1,817 tỷ ở Arkansas, cả nước “rụng tim” theo dõi Đập kính giữa Bolsa: Một buổi chiều mưa, một chiếc xe đen và chiếc “thẻ xanh” bốc hơi
Tranh chấp tiền làm móng ở Georgia: nữ nhân viên bị cáo buộc “giữ” bé trai 8 tuổi để đòi tiền Ngọc Quyên đóng cửa công ty ở Mỹ sau 11 năm: “Đây không phải thất bại” Ông Minh Chính bơ phờ vật vã vì mất chức thủ tướng, thế lực Hưng Yên tước hết toàn bộ quyền lực
Rò Rỉ Nhân Sự Đại Hội 14: Cuộc Mặc Cả Quyền Lực Giữa Công An – Quân Đội? Yamaguchi-gumi Rầm Rộ Họp Cuối Năm: Xã Hội Đen Lớn Nhật Nhật Bản Vẫn Sống Khỏe Giữa Thời “Văn Minh” Công nghiệp đẻ thuê cho tài phiệt Trung Quốc: Khi hộ chiếu Mỹ bị biến thành món hàng
Mẹ Cường "đô la" nguy cơ lại bị bắt Từ hiện tượng "Trumpugee", làm như thế nào để đi ra khỏi nước Mỹ? Kinh tế Việt Cộng nát như tương, Khi Gánh Thuế Nặng Hơn Gánh Hàng: Tiểu Thương Vật Vã Giữa Chợ Vắng Và Dự Án Tỷ Đô
Nhiều "nhà giàu" đi BMW, Lexus, Mercedes bán rau ở Bolsa : Bãi Đậu Xe Hóa Chợ Đuôi Xe Trần Đồng Lan (Lana Condor) – Cô Bé Mồ Côi Cần Thơ Trở Thành Minh Tinh Hollywood Những chuyện hài hước nhất hôm nay
Tướng tình báo Venezuela tiết lộ mạng lưới ma túy – gián điệp cắm sâu vào nước Mỹ? 5 tiểu bang lạnh nhất nước Mỹ (trừ Alaska) – và những nơi mùa đông ‘dễ thở’ cho người Việt Đàm phán Miami: Trump sốt ruột tìm hòa bình, Putin ung dung chờ thắng chậm
Khi Trump tái khởi động ‘chiến tranh ma túy’: từ tàu ma túy bị bắn chìm đến nỗi mất ngủ ở Caracas Mỹ thời Trump: Trục xuất người Iran về ‘địa ngục’, rồi dùng drone Iran để đánh Iran Donald Trump và học thuyết mới: Mỹ không còn làm ‘cảnh sát toàn cầu’
GDP giảm 0,1% và những con người mất trắng 100% sau bão lũ Michael và Susan Dell donate 6,25 tỷ USD vào “Tài khoản Trump”: Kho báu cho trẻ em Mỹ hay chỉ là cú khuyến đẻ kể cho vui? Đường sắt cao tốc 61 tỷ USD và ‘doanh nhân xù nợ’ 30 triệu
Những chuyện hài hước nhất hôm nay Mailisa bất ngờ “đóng cửa” giữa bão điều tra: Đế chế làm đẹp nghìn tỷ khép lại MAGA Đen - MAGA Đỏ - Giấc mơ đế chế dữ liệu của Peter Thiel và giới trọc phú công nghệ
Ánh đèn hiên nhà trong đêm bão tuyết: câu chuyện Lễ Tạ Ơn kỳ diệu sau 41 năm Xả súng gần Nhà Trắng: Bi kịch Lễ Tạ Ơn và cuộc chơi chính trị của Trump với hồ sơ di dân Afghanistan Từ Frankenstein đến Game of Drones: Khi công nghệ biến chiến tranh thành cuộc hỗn loạn vĩnh viễn
Biển lửa Wang Fuk Court: 65 người chết, Hồng Kông choáng váng trước “thảm họa giàn giáo tre” Biển lửa Wang Fuk Court: Thảm họa người già Hồng Kông và cuộc điều tra “sự cứu thả chết người” Chết cháy hàng loạt tại Hồng Kông, các toà nhà biến thành địa ngục, hàng trăm người mất tích

 
Lên đầu Xuống dưới Lên 3000px Xuống 3000px

iPad Videos Portal Autoscroll

VietBF Music Portal Autoscroll

iPad News Portal Autoscroll

VietBF Homepage Autoscroll

VietBF Video Autoscroll Portal

USA News Autoscroll Portall

VietBF WORLD Autoscroll Portal

Home Classic

Super Widescreen

iPad World Portal Autoscroll

iPad USA Portal Autoscroll

Phim Bộ Online

Tin nóng nhất 24h qua

Tin nóng nhất 3 ngày qua

Tin nóng nhất 7 ngày qua

Tin nóng nhất 30 ngày qua

Albums

Total Videos Online
Lên đầu Xuống dưới Lên 3000px Xuống 3000px

Tranh luận sôi nổi nhất 7 ngày qua

Tranh luận sôi nổi nhất 14 ngày qua

Tranh luận sôi nổi nhất 30 ngày qua

10.000 Tin mới nhất

Tin tức Hoa Kỳ

Tin tức Công nghệ
Lên đầu Xuống dưới Lên 3000px Xuống 3000px

Super News

School Cooking Traveling Portal

Enter Portal

Series Shows and Movies Online

Home Classic Master Page

Donation Ủng hộ $3 cho VietBF
Lên đầu Xuống dưới Lên 3000px Xuống 3000px
Diễn Đàn Người Việt Hải Ngoại. Tự do ngôn luận, an toàn và uy tín. Vì một tương lai tươi đẹp cho các thế hệ Việt Nam hãy ghé thăm chúng tôi, hãy tâm sự với chúng tôi mỗi ngày, mỗi giờ và mỗi giây phút có thể. VietBF.Com Xin cám ơn các bạn, chúc tất cả các bạn vui vẻ và gặp nhiều may mắn.
Welcome to Vietnamese American Community, Vietnamese European, Canadian, Australian Forum, Vietnamese Overseas Forum. Freedom of speech, safety and prestige. For a beautiful future for Vietnamese generations, please visit us, talk to us every day, every hour and every moment possible. VietBF.Com Thank you all and good luck.

Lên đầu Xuống dưới Lên 3000px Xuống 3000px

All times are GMT. The time now is 04:36.
VietBF - Vietnamese Best Forum Copyright ©2005 - 2026
User Alert System provided by Advanced User Tagging (Pro) - vBulletin Mods & Addons Copyright © 2026 DragonByte Technologies Ltd.
Log Out Unregistered

Page generated in 0.09873 seconds with 13 queries