HOME-Au
HOME-Au
24h
24h
USA
USA
GOP
GOP
Phim Bộ
Phim Bộ
Videoauto
VIDEO-Au
Home Classic
Home Classic
Donation
Donation
News Book
News Book
News 50
News 50
worldautoscroll
WORLD-Au
Breaking
Breaking
 

Go Back   VietBF > Other News|Tin Khác > History | Lịch Sử


Reply
 
Thread Tools
  #1  
Old  Arrow Lịch sử y khoa thế giới thay đổi do những phát minh này
Những phát minh làm thay đổi lịch sử y khoa thế giới được vietbf tổng hợp dưới đây. Đó đều là những đột phá trong giới y học hàng trăm năm qua. Cấy ghép nội tạng, tìm ra vắc xin hay liệu háp miễn dịch điều trị ung thư đều đóng góp không nhỏ cho y học thế giới.

Vắcxin (năm 1796)

Năm 1796, Edward Jenner (Anh) thử nghiệm phương pháp tiêm chủng để chế ngự virus đậu mùa. Kể từ đó, vắcxin được sử dụng rộng rãi và rất hiệu quả. Bệnh đậu mùa cướp đi nhiều sinh mạng trong suốt 2 thế kỷ 17-18, đã được loại bỏ hoàn toàn nhờ vắcxin.

Sau đó rất nhiều loại vắcxin khác được bào chế chống các bệnh nguy hiểm trên thế giới, trong đó có đậu mùa, dại, lao và tả. Ngày nay vắcxin được xem là phát minh quan trọng của loài người, giúp phòng ngừa rất nhiều bệnh lây nhiễm lẫn không lây nhiễm.

Thuốc gây mê (năm 1846)

Từ trước công nguyên, con người đã tiến hành nhiều thí nghiệm về thuốc gây mê. Năm 1846, bác sĩ William T. G. Morton (Mỹ) mới sử dụng thành công chất gây mê ether trong phẫu thuật, mở ra một trang mới cho lịch sử y học. Không lâu sau đó, chloroform, một chất có khả năng gây mê nhanh hơn được sử dụng rộng rãi. Tuy nhiên chloroform mang lại nhiều rủi ro cho bệnh nhân, một vài trường hợp tử vong nên bị cấm sử dụng.

Hơn 150 năm trôi qua, các loại thuốc gây mê an toàn hơn được phát triển, giúp bệnh nhân giảm đau đớn khi phẫu thuật.

Lý thuyết mầm bệnh (năm 1861)

Trước khi lý thuyết mầm bệnh được đưa ra, nhiều người tin rằng nguồn gốc của bệnh tật là "sự tự phát". Nói cách khác, các bác sĩ thời xưa cho rằng bệnh tật có thể tự xuất hiện trong không khí, thay vì lan truyền trong không khí hoặc lây nhiễm qua tiếp xúc da trực tiếp.

Năm 1861, bằng một thí nghiệm đơn giản, nhà vi trùng học người Pháp Louis Pasteur đã chứng minh nguồn gốc của bệnh truyền nhiễm là do mầm bệnh tấn công con người. Phát hiện này đánh dấu mốc quan trọng lịch sử y học, làm thay đổi cách chữa trị, kiểm soát và phòng ngừa bệnh, ngăn ngừa các dịch bệnh cướp đi hàng nghìn sinh mạng mỗi năm như dịch hạch, bệnh lỵ và sốt thương hàn.

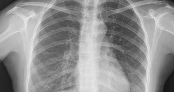
Ảnh y khoa (năm 1895)

Chụp X-quang là kỹ thuật chẩn đoán hình ảnh y khoa đầu tiên trong lịch sử. Năm 1895, nhà vật lý học người Đức Wilhelm Conrad Rӧntgen tình cờ phát hiện kỹ thuật này khi đang thí nghiệm cho dòng điện qua các ống tia âm cực. Chỉ qua một đêm, phát hiện của ông đã thay đổi hoàn toàn ngành y học. Năm 1896, bệnh viện Glasgow mở khoa X-quang đầu tiên trên thế giới.

Siêu âm được đưa vào khoa chẩn đoán hình ảnh từ năm 1955. Các bác sĩ dùng sóng âm thanh tần số cao để tạo ra hình ảnh kỹ thuật, hỗ trợ chẩn đoán bệnh.

Năm 1967, kỹ thuật chụp cắt lớp vi tính (CT) được phát minh, sử dụng tia X và máy tính để chẩn đoán nhiều loại bệnh khác nhau. Máy chụp CT trở thành công cụ chẩn đoán quan trọng trong y học hiện đại.

Công nghệ chụp cộng hưởng từ (MRI) được Paul Lauterbur phát minh năm 1973. Dữ liệu cộng hưởng từ hạt nhân tạo ra hình ảnh chi tiết trong cơ thể, phát hiện khối u, u nang, tổn thương não, tủy sống và một số vấn đề về tim, gan.

Penicillin (năm 1928)

Penicillin là loại thuốc kháng sinh đầu tiên trên thế giới. Khám phá này của nhà khoa học Alexander Fleming (Anh) năm 1928 đã làm thay đổi hoàn toàn cuộc chiến với những con vi khuẩn chết người.

Hơn 10 năm sau, khám phá của Fleming mới được công nhận, các công ty dược phẩm Mỹ sản xuất penicillin hàng loạt để phục vụ Thế chiến thứ hai.

Sự xuất hiện của penicillin đã cứu hàng triệu người. Thật không may, một số vi khuẩn ngày càng kháng thuốc kháng sinh, ngày nay dẫn đến cuộc khủng hoảng kháng kháng sinh toàn cầu, thúc đẩy ngành y dược nhanh chóng tìm ra cách điều trị tình trạng kháng vi khuẩn.

Cấy ghép tạng (năm 1954)

Tháng 12/1954, ca phẫu thuật ghép thận thành công đầu tiên được bác sĩ Joseph Murray và bác sĩ David Hume thực hiện tại Boston (Mỹ). Trước đó, đã có nhiều ca phẫu thuật cấy ghép khác nhưng đều thất bại.

Năm 1963, ca ghép phổi đầu tiên được tiến hành. Năm năm sau, ghép tuyến tụy/thận được thực hiện thành công, tiếp đó là phẫu thuật ghép gan, tim năm 1967.

Các ca cấy ghép tạng ngày càng phức tạp hơn. Năm 1998, các bác sĩ đã thành công khi ghép bàn tay, năm 2010 phẫu thuật ghép hoàn toàn khuôn mặt.

Thuốc kháng virus (thập niên 1960)

Thuốc kháng virus xuất hiện vào những năm 1960, ngăn chặn sự lây lan các bệnh do virus và kích thích hệ miễn dịch tấn công mầm bệnh. Thuốc kháng virus có ý nghĩa rất lớn trong việc điều trị và kiểm soát HIV/AIDS, Ebola và bệnh dại.

Liệu pháp tế bào gốc (thập niên 1970)

Tác dụng của tế bào gốc trong máu cuống rốn được phát hiện vào cuối những năm 1970. Tế bào gốc có hai điểm đặc trưng, là các tế bào không chuyên biệt có thể tự làm mới thông qua sự phân chia ngay cả khi không hoạt động. Trong một số điều kiện nhất định, chúng có thể được sử dụng để tạo ra bất kỳ loại tế bào con người nào.

Liệu pháp tế bào gốc hiện được sử dụng trong cấy ghép tủy xương, điều trị các rối loạn máu như bạch cầu, chấn thương tủy sống, bệnh thần kinh như Alzheimer, Parkinson, đột quỵ. Tuy nhiên, do vấn đề đạo đức, các nhà nghiên cứu có thể gặp nhiều trở ngại khi phát triển phương thức chữa bệnh dựa trên liệu pháp tế bào gốc.

Liệu pháp miễn dịch (thập niên 1970)

Liệu pháp miễn dịch, phương pháp kích thích hệ miễn dịch để chống lại bệnh, được nghiên cứu từ hơn một thế kỷ trước. Năm 1890 nhà nghiên cứu William B. Coley (Mỹ) đã tiêm vi khuẩn không hoạt động vào các khối u ung thư và đạt được hiệu quả chữa trị một số bệnh nhân. Những năm 1950, liệu pháp miễn dịch mới có bước tiến quan trọng, đặc biệt trong điều trị ung thư.

Trong một thập kỷ qua, liệu pháp miễn dịch trở thành một trong những liệu pháp điều trị ung thư nổi bật.

Trí tuệ nhân tạo (thế kỷ 21)

Mười năm qua, việc nghiên cứu và ứng dụng trí tuệ nhân tạo đã làm thay đổi đáng kể chất lượng dịch vụ chăm sóc sức khỏe. Loài người đang tìm kiếm cách chẩn đoán, điều trị, ngăn ngừa bệnh tật nhanh và thông minh hơn. Những thành tựu bước đầu của trí tuệ nhân tạo hiện được ứng dụng trong y học như công cụ chẩn đoán phát hiện những khối u ác tính mà mắt thường không phát hiện được, hệ thống tự động hóa đưa ra phác đồ điều trị cho bệnh nhân ung thư...
VIETBF Diễn Đàn Hay Nhất Của Người Việt Nam

HOT NEWS 24h

HOT 3 Days

NEWS 3 Days

HOT 7 Days

NEWS 7 Days

HOME

Breaking News

VietOversea

World News

Business News

Car News

Computer News

Game News

USA News

Mobile News

Music News

Movies News

History

Thơ Ca

Sport News

Stranger Stories

Comedy Stories

Cooking Chat

Nice Pictures

Fashion

School

Travelling

Funny Videos

Canada Tin Hay

USA Tin Hay

VietBF Homepage Autoscroll

VietBF Video Autoscroll Portal

Home Classic

Home Classic Master Page



june04
R10 Vô Địch Thiên Hạ
june04's Avatar
Release: 05-27-2019
Reputation: 17565


Profile:
Join Date: Oct 2014
Posts: 69,711
Last Update: None Rating: None
Attached Thumbnails
Click image for larger version

Name:	4.jpg
Views:	0
Size:	88.4 KB
ID:	1390509   Click image for larger version

Name:	41.jpg
Views:	0
Size:	92.4 KB
ID:	1390510   Click image for larger version

Name:	42.jpg
Views:	0
Size:	123.5 KB
ID:	1390511  

Click image for larger version

Name:	43.jpg
Views:	0
Size:	78.6 KB
ID:	1390512   Click image for larger version

Name:	44.jpg
Views:	0
Size:	187.3 KB
ID:	1390513   Click image for larger version

Name:	45.jpg
Views:	0
Size:	146.5 KB
ID:	1390514  

Click image for larger version

Name:	46.jpg
Views:	0
Size:	230.0 KB
ID:	1390515   Click image for larger version

Name:	47.jpg
Views:	0
Size:	242.5 KB
ID:	1390516   Click image for larger version

Name:	48.jpg
Views:	0
Size:	229.7 KB
ID:	1390517  

Click image for larger version

Name:	49.jpg
Views:	0
Size:	215.4 KB
ID:	1390518  
june04_is_offline
Thanks: 4
Thanked 3,337 Times in 2,941 Posts
Mentioned: 0 Post(s)
Tagged: 0 Thread(s)
Quoted: 22 Post(s)
Rep Power: 81
june04 Reputation Uy Tín Level 6
june04 Reputation Uy Tín Level 6june04 Reputation Uy Tín Level 6june04 Reputation Uy Tín Level 6june04 Reputation Uy Tín Level 6june04 Reputation Uy Tín Level 6june04 Reputation Uy Tín Level 6june04 Reputation Uy Tín Level 6june04 Reputation Uy Tín Level 6june04 Reputation Uy Tín Level 6june04 Reputation Uy Tín Level 6june04 Reputation Uy Tín Level 6june04 Reputation Uy Tín Level 6june04 Reputation Uy Tín Level 6june04 Reputation Uy Tín Level 6june04 Reputation Uy Tín Level 6june04 Reputation Uy Tín Level 6june04 Reputation Uy Tín Level 6june04 Reputation Uy Tín Level 6june04 Reputation Uy Tín Level 6june04 Reputation Uy Tín Level 6june04 Reputation Uy Tín Level 6june04 Reputation Uy Tín Level 6
Old 05-27-2019   #2
koorlie
R8 Võ Lâm Chí Tôn
 
Join Date: Jan 2008
Posts: 12,209
Thanks: 0
Thanked 7,932 Times in 4,160 Posts
Mentioned: 35 Post(s)
Tagged: 0 Thread(s)
Quoted: 2227 Post(s)
Rep Power: 34
koorlie Reputation Uy Tín Level 8koorlie Reputation Uy Tín Level 8koorlie Reputation Uy Tín Level 8koorlie Reputation Uy Tín Level 8
koorlie Reputation Uy Tín Level 8koorlie Reputation Uy Tín Level 8koorlie Reputation Uy Tín Level 8koorlie Reputation Uy Tín Level 8koorlie Reputation Uy Tín Level 8koorlie Reputation Uy Tín Level 8koorlie Reputation Uy Tín Level 8koorlie Reputation Uy Tín Level 8koorlie Reputation Uy Tín Level 8koorlie Reputation Uy Tín Level 8koorlie Reputation Uy Tín Level 8koorlie Reputation Uy Tín Level 8koorlie Reputation Uy Tín Level 8koorlie Reputation Uy Tín Level 8koorlie Reputation Uy Tín Level 8koorlie Reputation Uy Tín Level 8koorlie Reputation Uy Tín Level 8koorlie Reputation Uy Tín Level 8koorlie Reputation Uy Tín Level 8koorlie Reputation Uy Tín Level 8koorlie Reputation Uy Tín Level 8koorlie Reputation Uy Tín Level 8koorlie Reputation Uy Tín Level 8
Default

Quote:
Lịch sử y khoa thế giới thay đổi do những phát minh này
Phát minh y khoa to lớn nhất ở Mỹ ảnh hưởng đến số rất đông người Việt là cái form điền lấy tiền bảo hiểm y tế Medicare của bác sĩ.

Chữa bệnh từ xa qua điện thoại, các ông bà bác sĩ thi nhau điền cái mẫu chữa đủ loại bệnh thu hoạch cả đống tiền, mà bệnh nhân thậm chí còn không biết mình đã vô gặp mặt bác sĩ hồi nào!
koorlie_is_offline   Reply With Quote
Reply

User Tag List


Vì sao ngày xưa vua miễn thuế khi bão lụt, còn ngày nay thì không? Phép tính lạnh lùng của quyền lực Lindsey Halligan: 63 Ngày Hỗn Loạn Ở Viện Công Tố Virginia Việt Cộng sẽ tịch thu toàn bộ tiền của Việt kiều gửi trong ngân hàng?
Từ ‘Sổ Sinh Tử’ Đến Những Tấm Bưu Thiếp Tự Do: Lời Kêu Gọi Từ Buổi Tưởng Niệm 50 Năm Quốc Nạn 1975–2025 Paris By Night Lặng Im: Khi Đế Chế Giải Trí Chạm Đáy Khủng Hoảng Địa Ngục Lửa Trên Cao Ốc: Thảm Họa Wang Fuk Court Rúng Động Hồng Kông, ít nhất 146 người chết, khoảng 40 người vẫn còn mất tích
Ván Cờ Hòa Bình Của Trump: Ukraine Giữa Thể Diện Dân Tộc, Bom Đạn Và Lính Đánh Thuê Toàn Cầu Thảm Sát Trong Tiệc Sinh Nhật Ở California: Khi Bữa Tiệc Gia Đình Hóa Chiến Trường Đẫm Máu Vì sao Paris By Night và nghệ sĩ hải ngoại đồng loạt im lặng trước chuyện chống Cộng?
Nghề nail người Việt giữa cơn bão 2025: khi ghế trống nhiều hơn khách Giáng sinh kiểu Mỹ 2025: Rạp phim cháy vé, gấu bông biết nói nhảm và nỗi băn khoăn “có nên cho con tiền lúc mình còn sống?” Bitcoin lao dốc, vàng – bạc lập kỷ lục: cơn “sốc Nhật Bản” đang dọa thổi bay cú rally cuối năm của Phố Wall
Black Friday 2025: Người Mỹ mua nhiều mà được ít – thuế Trump và “K-đồ thị” xé đôi túi tiền Chống tham nhũng làm nghẽn “cỗ máy chiến tranh”: Doanh thu quốc phòng Trung Quốc bất ngờ lao dốc Cựu tiếp viên hàng không và “luật ngầm” 4 triệu – 7 triệu: đường dây mại dâm Tài Nguyên Fortuner II lộ sáng
Quân Lực VNCH – Ai còn nhớ, ai đã quên: TQLC Phúc Yên Nguyễn Xuân Phúc và một “tổn thất” của Khóa 16 Kinh tế Trung Quốc đang tan rã từ bên trong: “phép màu” chỉ là một phim trường khổng lồ Giữa Nước Mỹ Chia Rẽ: Tâm Sự Của Một Người Nhập Cư

 
Lên đầu Xuống dưới Lên 3000px Xuống 3000px

iPad Videos Portal Autoscroll

VietBF Music Portal Autoscroll

iPad News Portal Autoscroll

VietBF Homepage Autoscroll

VietBF Video Autoscroll Portal

USA News Autoscroll Portall

VietBF WORLD Autoscroll Portal

Home Classic

Super Widescreen

iPad World Portal Autoscroll

iPad USA Portal Autoscroll

Phim Bộ Online

Tin nóng nhất 24h qua

Tin nóng nhất 3 ngày qua

Tin nóng nhất 7 ngày qua

Tin nóng nhất 30 ngày qua

Albums

Total Videos Online
Lên đầu Xuống dưới Lên 3000px Xuống 3000px

Tranh luận sôi nổi nhất 7 ngày qua

Tranh luận sôi nổi nhất 14 ngày qua

Tranh luận sôi nổi nhất 30 ngày qua

10.000 Tin mới nhất

Tin tức Hoa Kỳ

Tin tức Công nghệ
Lên đầu Xuống dưới Lên 3000px Xuống 3000px

Super News

School Cooking Traveling Portal

Enter Portal

Series Shows and Movies Online

Home Classic Master Page

Donation Ủng hộ $3 cho VietBF
Lên đầu Xuống dưới Lên 3000px Xuống 3000px
Diễn Đàn Người Việt Hải Ngoại. Tự do ngôn luận, an toàn và uy tín. Vì một tương lai tươi đẹp cho các thế hệ Việt Nam hãy ghé thăm chúng tôi, hãy tâm sự với chúng tôi mỗi ngày, mỗi giờ và mỗi giây phút có thể. VietBF.Com Xin cám ơn các bạn, chúc tất cả các bạn vui vẻ và gặp nhiều may mắn.
Welcome to Vietnamese American Community, Vietnamese European, Canadian, Australian Forum, Vietnamese Overseas Forum. Freedom of speech, safety and prestige. For a beautiful future for Vietnamese generations, please visit us, talk to us every day, every hour and every moment possible. VietBF.Com Thank you all and good luck.

Lên đầu Xuống dưới Lên 3000px Xuống 3000px

All times are GMT. The time now is 23:48.
VietBF - Vietnamese Best Forum Copyright ©2005 - 2025
User Alert System provided by Advanced User Tagging (Pro) - vBulletin Mods & Addons Copyright © 2025 DragonByte Technologies Ltd.
Log Out Unregistered

Page generated in 0.11202 seconds with 15 queries