HOME-Au
HOME-Au
24h
24h
USA
USA
GOP
GOP
Phim Bộ
Phim Bộ
Videoauto
VIDEO-Au
Home Classic
Home Classic
Donation
Donation
News Book
News Book
News 50
News 50
worldautoscroll
WORLD-Au
Breaking
Breaking
 

Go Back   VietBF > World Box| Thế Giới > Vietnam News | Tin Việt Nam > 2005-2023 Vietnam News


 
 
Thread Tools
  #1  
Old  Arrow Bác sĩ sốc với nguyên do khiến bệnh nhân gãy vụn xương mũi
Thông thường, các bác sĩ cho hay, xương mũi chỉ có thể vỡ nếu bị đấm một cú thật mạnh. Thế nhưng, chưa ai từng nghe xương mũi bị gãy là do hỉ mũi quá mạnh cả. Tình huống hy hữu này đã khiến bệnh nhân chịu nhiều tổn thương.

Theo các bác sĩ, thương tích này tương đương với một cú đấm mạnh và cũng là dạng thương tích rất hiếm.

Sau sự cố, người phụ nữ đã phải đi cấp cứu và tạm thời mất thị giác

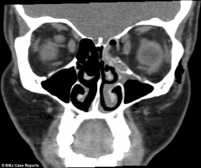
Phim chụp CT cho thấy bệnh nhân đã bị gãy một xương trong hốc mắt vì áp lực trong xoang quá cao khi hỉ mũi. Vết vỡ làm mỡ tràn vào đường hô hấp, khí bị kẹt trong mô quanh mắt.

Bệnh nhân được cho dùng thuốc kháng sinh trị viêm xoang, Co-amoxiclav, và được xuất viện với lời khuyên không nên hỉ mũi, hút thuốc hay chơi thể thao đối kháng.

Vỡ xương hốc mắt thường xảy ra khi có va đập với mặt. Trường hợp thương tích do hỉ mũi khá hiếm. Người phụ nữ này cũng hút hơn 20 điếu thuốc mỗi ngày, có thể điều này đã gây thay đổi về áp lực trong xoang.

Theo các chuyên gia, mọi người đều có khả năng tự gây tổn thương khi hỉ mũi. Nhịp độ hơi lặp lại liên tục và quá mạnh trong mũi gây nhiều nguy cơ, ngay cả khi đó chỉ là phản ứng tự nhiên khi bị cản đường hô hấp.

Dù thương tích dạng này là khá hiếm, vẫn đã có trường hợp người làm gãy xương hốc mắt, bị đau đầu trầm trọng và đẩy khí vào trong mô giữa 2 buồng phổi.

Người thường xuyên hỉ mũi có thể bị viêm xoang hay dị ứng, nên được chữa trị triệt để.

Khi sổ mũi, mọi người nên dùng xịt thông mũi, thuốc xịt mũi muối và dùng kỹ thuật gọi là nasal aspiration, nhỏ nước muối ngược vào trong mũi để đẩy dịch nhờn ra ngoài.

VietBF © Sưu Tầm
VIETBF Diễn Đàn Hay Nhất Của Người Việt Nam

HOT NEWS 24h

HOT 3 Days

NEWS 3 Days

HOT 7 Days

NEWS 7 Days

HOME

Breaking News

VietOversea

World News

Business News

Car News

Computer News

Game News

USA News

Mobile News

Music News

Movies News

History

Thơ Ca

Sport News

Stranger Stories

Comedy Stories

Cooking Chat

Nice Pictures

Fashion

School

Travelling

Funny Videos

Canada Tin Hay

USA Tin Hay

VietBF Homepage Autoscroll

VietBF Video Autoscroll Portal

Home Classic

Home Classic Master Page



TinNhanh247
R9 Tuyệt Đỉnh Tôn Sư
Release: 07-18-2018
Reputation: 14045


Profile:
Join Date: Oct 2014
Posts: 38,699
Last Update: None Rating: None
Attached Thumbnails
Click image for larger version

Name:	482.1.jpg
Views:	0
Size:	69.1 KB
ID:	1248976  
TinNhanh247_is_offline
Thanks: 16
Thanked 1,792 Times in 1,630 Posts
Mentioned: 3 Post(s)
Tagged: 0 Thread(s)
Quoted: 11 Post(s)
Rep Power: 50
TinNhanh247 Reputation Uy Tín Level 6
TinNhanh247 Reputation Uy Tín Level 6TinNhanh247 Reputation Uy Tín Level 6TinNhanh247 Reputation Uy Tín Level 6TinNhanh247 Reputation Uy Tín Level 6TinNhanh247 Reputation Uy Tín Level 6TinNhanh247 Reputation Uy Tín Level 6TinNhanh247 Reputation Uy Tín Level 6TinNhanh247 Reputation Uy Tín Level 6TinNhanh247 Reputation Uy Tín Level 6TinNhanh247 Reputation Uy Tín Level 6TinNhanh247 Reputation Uy Tín Level 6TinNhanh247 Reputation Uy Tín Level 6TinNhanh247 Reputation Uy Tín Level 6TinNhanh247 Reputation Uy Tín Level 6TinNhanh247 Reputation Uy Tín Level 6TinNhanh247 Reputation Uy Tín Level 6TinNhanh247 Reputation Uy Tín Level 6
 
User Tag List


Khi tiền thuế của dân được dùng để cứu nhà nước: nỗi đau mà Marx đã gọi tên 160 năm trước Giáng sinh kiểu Mỹ 2025: Rạp phim cháy vé, gấu bông biết nói nhảm và nỗi băn khoăn “có nên cho con tiền lúc mình còn sống?” Bitcoin lao dốc, vàng – bạc lập kỷ lục: cơn “sốc Nhật Bản” đang dọa thổi bay cú rally cuối năm của Phố Wall
Black Friday 2025: Người Mỹ mua nhiều mà được ít – thuế Trump và “K-đồ thị” xé đôi túi tiền Chống tham nhũng làm nghẽn “cỗ máy chiến tranh”: Doanh thu quốc phòng Trung Quốc bất ngờ lao dốc Cựu tiếp viên hàng không và “luật ngầm” 4 triệu – 7 triệu: đường dây mại dâm Tài Nguyên Fortuner II lộ sáng
Quân Lực VNCH – Ai còn nhớ, ai đã quên: TQLC Phúc Yên Nguyễn Xuân Phúc và một “tổn thất” của Khóa 16 Kinh tế Trung Quốc đang tan rã từ bên trong: “phép màu” chỉ là một phim trường khổng lồ Giữa Nước Mỹ Chia Rẽ: Tâm Sự Của Một Người Nhập Cư

 
Lên đầu Xuống dưới Lên 3000px Xuống 3000px

iPad Videos Portal Autoscroll

VietBF Music Portal Autoscroll

iPad News Portal Autoscroll

VietBF Homepage Autoscroll

VietBF Video Autoscroll Portal

USA News Autoscroll Portall

VietBF WORLD Autoscroll Portal

Home Classic

Super Widescreen

iPad World Portal Autoscroll

iPad USA Portal Autoscroll

Phim Bộ Online

Tin nóng nhất 24h qua

Tin nóng nhất 3 ngày qua

Tin nóng nhất 7 ngày qua

Tin nóng nhất 30 ngày qua

Albums

Total Videos Online
Lên đầu Xuống dưới Lên 3000px Xuống 3000px

Tranh luận sôi nổi nhất 7 ngày qua

Tranh luận sôi nổi nhất 14 ngày qua

Tranh luận sôi nổi nhất 30 ngày qua

10.000 Tin mới nhất

Tin tức Hoa Kỳ

Tin tức Công nghệ
Lên đầu Xuống dưới Lên 3000px Xuống 3000px

Super News

School Cooking Traveling Portal

Enter Portal

Series Shows and Movies Online

Home Classic Master Page

Donation Ủng hộ $3 cho VietBF
Lên đầu Xuống dưới Lên 3000px Xuống 3000px
Diễn Đàn Người Việt Hải Ngoại. Tự do ngôn luận, an toàn và uy tín. Vì một tương lai tươi đẹp cho các thế hệ Việt Nam hãy ghé thăm chúng tôi, hãy tâm sự với chúng tôi mỗi ngày, mỗi giờ và mỗi giây phút có thể. VietBF.Com Xin cám ơn các bạn, chúc tất cả các bạn vui vẻ và gặp nhiều may mắn.
Welcome to Vietnamese American Community, Vietnamese European, Canadian, Australian Forum, Vietnamese Overseas Forum. Freedom of speech, safety and prestige. For a beautiful future for Vietnamese generations, please visit us, talk to us every day, every hour and every moment possible. VietBF.Com Thank you all and good luck.

Lên đầu Xuống dưới Lên 3000px Xuống 3000px

All times are GMT. The time now is 03:13.
VietBF - Vietnamese Best Forum Copyright ©2005 - 2025
User Alert System provided by Advanced User Tagging (Pro) - vBulletin Mods & Addons Copyright © 2025 DragonByte Technologies Ltd.
Log Out Unregistered

Page generated in 0.10945 seconds with 15 queries