HOME-Au
HOME-Au
24h
24h
USA
USA
GOP
GOP
Phim Bộ
Phim Bộ
Videoauto
VIDEO-Au
Donation
Donation
News Book
News Book
News 50
News 50
worldautoscroll
WORLD-Au
Breaking
Breaking
 

Go Back   VietBF > Other > School | Kiến thức > School | Kiến thức 2006-2019


 
Thread Tools
 
 
  #1  
Old  Default Vợ bị mắc bệnh ung thư phổi chỉ vì thói quen hàng ngày của chồng
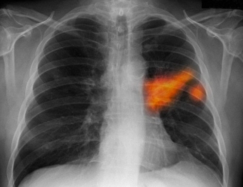
Câu chuyện về người phụ nữ đi khám phát hiện ra căn bệnh ung thư phổi được chia sẻ.Ngày nay,số người tử vong vì căn bệnh ung thư phổi ngày một nhiều mà nguyên nhân đều không phải do hút thuốc.Bác sĩ cho biết nguyên nhân chính dẫn đến bệnh ung thư phổi của phụ nữ từ thói quen hàng ngày của chồng.

Cách đây không lâu, một nữ bệnh nhân tên Nguyễn Thị Nh. ở Hưng Yên mắc ung thư phổi phải nhập viện K Trung ương để điều trị. Sau hơn 3 tháng phát hiện bệnh, bệnh nhân Nh. đang phải điều trị hóa chất để kìm hãm sự phát triển của tế bào ung thư. Tuy nhiên, do ảnh hưởng của chạy hóa chất, sức khỏe bệnh nhân bị giảm sút rất nhiều.

Điều đáng nói, khi bệnh nhân nhập viện, các bác sĩ chẩn đoán một trong những nguyên nhân dẫn đến căn bệnh ung thư phổi của bà Nh. do phải hút thuốc lá thụ động. Điều này khiến bản thẩn bà và gia đình vô cùng sửng sốt.

Theo chia sẻ của bà Nh. hàng ngày chồng và con trai bà hút thuốc vô cùng nhiều. Thậm chí, chồng bà hút mỗi ngày một bao. Chính vì thế, mùi khói thuốc đối với bà Nh. trở thành quen thuộc. Ban đầu, bà Nh. cũng góp ý về thói quen này của chồng con nhưng ai cũng bỏ ngoài tai. Họ dần coi đó là điều bình thường. Nhưng có ai ngờ, làn khói thuốc trong gia đình lâu nay âm thầm phá huỷ tế bào lành của phổi của bà Nh.
Chia sẻ với PV, một bác sĩ làm việc tại Khoa Khám bệnh - bệnh viện K Trung ương cho biết, ông từng trực tiếp khám cho một vài ca bị mắc ung thư phổi do hút thuốc lá thụ động.

Vị này khuyến cáo, thuốc lá là một trong những nguyên nhân của nhiều loại bệnh tật nguy hiểm, trong đó có ung thư phổi, nhồi máu cơ tim, xơ vữa động mạch và các bệnh về hô hấp. Điều đáng nói là hút thuốc không chỉ ảnh hưởng trực tiếp đến người hút mà khói thuốc còn ảnh hưởng nghiêm trọng đến sức khỏe của những người xung quanh.

Theo tìm hiểu của PV, tại bệnh viện K Trung ương, rất nhiều phụ nữ khi được chẩn đoán ung thư phổi mà chính họ không biết nguyên nhân. Nhưng khi bác sĩ hỏi, họ mới biết dù chưa bao giờ hút điếu thuốc nào nhưng chồng, con trong gia đình hút rất nhiều. Đây là con đường ngắn nhất mà người chồng/con đẩy vợ/mẹ vào con đường bệnh tật.

Theo bác sĩ Vũ Hải - bệnh viện K Trung ương, nhiều công trình nghiên cứu cho thấy, mối liên quan giữa bệnh ung thư phối với tác nhân thuốc lá. Đây là nguyên nhân hàng đầu gây ung thư phổi.

Các bác sĩ khuyến cáo, để bảo vệ sức khỏe cho mọi người trước tác hại của hút thuốc lá thụ động, mỗi cá nhân hãy nâng cao ý thức, trách nhiệm của bản thân, xây dựng một môi trường không khói thuốc lá, tránh được nguy cơ tiếp xúc với tác hại của hút thuốc lá thụ động.
Dịch trang: EnglishEnglish DeutschDeutsch FrançaisFrançais EspañolEspañol ItalianoItaliano PortuguêsPortuguês
NorskNorsk NederlandsNederlands DanskDansk SuomiSuomi PolskiPolski ČeštinaČeština РусскийРусский
日本語日本語 한국어한국어 中文(简体)中文(简体) 中文(繁體)中文(繁體) MagyarMagyar TürkçeTürkçe
العربيةالعربية ไทยไทย LatinaLatina हिन्दीहिन्दी Bahasa IndonesiaBahasa Indonesia Bahasa MelayuBahasa Melayu
VIETBF Hybrid Community Content Hub

HOT NEWS 24h

HOT 3 Days

NEWS 3 Days

HOT 7 Days

NEWS 7 Days

HOME

Breaking News

VietOversea

World News

Business News

Car News

Computer News

Game News

USA News

Mobile News

Music News

Movies News

History

Thơ Ca

Sport News

Stranger Stories

Comedy Stories

Cooking Chat

Nice Pictures

Fashion

School

Travelling

Funny Videos

Canada Tin Hay

USA Tin Hay

VietBF Homepage Autoscroll

VietBF Video Autoscroll Portal

Video Classic Master

iPad News Portal

VietBF iPad Music Portal

Tin nóng nhất 50h qua

Phim Bộ Online

Phim Bộ



nguoiduatinabc
R10 Vô Địch Thiên Hạ
Release: 12-24-2016
Reputation: 22230


Profile:
Join Date: Apr 2016
Posts: 83,643
Last Update: None Rating: None
Attached Thumbnails
Click image for larger version

Name:	ung-thu-phoi-3-1482310535.jpg
Views:	0
Size:	95.1 KB
ID:	975723  
nguoiduatinabc_is_offline
Thanks: 168
Thanked 5,450 Times in 4,423 Posts
Mentioned: 4 Post(s)
Tagged: 0 Thread(s)
Quoted: 29 Post(s)
Rep Power: 94
nguoiduatinabc Reputation Uy Tín Level 7nguoiduatinabc Reputation Uy Tín Level 7
nguoiduatinabc Reputation Uy Tín Level 7nguoiduatinabc Reputation Uy Tín Level 7nguoiduatinabc Reputation Uy Tín Level 7nguoiduatinabc Reputation Uy Tín Level 7nguoiduatinabc Reputation Uy Tín Level 7nguoiduatinabc Reputation Uy Tín Level 7nguoiduatinabc Reputation Uy Tín Level 7nguoiduatinabc Reputation Uy Tín Level 7nguoiduatinabc Reputation Uy Tín Level 7nguoiduatinabc Reputation Uy Tín Level 7nguoiduatinabc Reputation Uy Tín Level 7nguoiduatinabc Reputation Uy Tín Level 7nguoiduatinabc Reputation Uy Tín Level 7
Dịch trang: EnglishEnglish DeutschDeutsch FrançaisFrançais EspañolEspañol ItalianoItaliano PortuguêsPortuguês
NorskNorsk NederlandsNederlands DanskDansk SuomiSuomi PolskiPolski ČeštinaČeština РусскийРусский
日本語日本語 한국어한국어 中文(简体)中文(简体) 中文(繁體)中文(繁體) MagyarMagyar TürkçeTürkçe
العربيةالعربية ไทยไทย LatinaLatina हिन्दीहिन्दी Bahasa IndonesiaBahasa Indonesia Bahasa MelayuBahasa Melayu
 
User Tag List



 

iPad Videos Portal Autoscroll

VietBF Music Portal Autoscroll

iPad News Portal Autoscroll

VietBF Homepage Autoscroll

VietBF Video Autoscroll Portal

USA News Autoscroll Portall

VietBF WORLD Autoscroll Portal

Video Classic Master Page

Super Widescreen

iPad World Portal Autoscroll

iPad USA Portal Autoscroll

Phim Bộ Online
Lên đầu Xuống dưới Lên 3000px Xuống 3000px

Tin nóng nhất 24h qua

Tin nóng nhất 3 ngày qua

Tin nóng nhất 7 ngày qua

Tin nóng nhất 30 ngày qua

Albums

Total Videos Online

Tranh luận sôi nổi nhất 7 ngày qua

Tranh luận sôi nổi nhất 14 ngày qua

Tranh luận sôi nổi nhất 30 ngày qua

10.000 Tin mới nhất

Tin tức Hoa Kỳ

Tin tức Công nghệ
Lên đầu Xuống dưới Lên 3000px Xuống 3000px

Duo Series Movies Portal

Duo Music Portal

Phim Bộ

Tỷ Giá

Thời Tiết

Tin Nóng Nhất 50h

Super News

School Cooking Traveling Portal

Enter Portal

Series Shows and Movies Online

Home Classic Master Page

Donation Ủng hộ $3 cho VietBF
Lên đầu Xuống dưới Lên 3000px Xuống 3000px
Diễn Đàn Người Việt Hải Ngoại. Tự do ngôn luận, an toàn và uy tín. Vì một tương lai tươi đẹp cho các thế hệ Việt Nam hãy ghé thăm chúng tôi, hãy tâm sự với chúng tôi mỗi ngày, mỗi giờ và mỗi giây phút có thể. VietBF.Com Xin cám ơn các bạn, chúc tất cả các bạn vui vẻ và gặp nhiều may mắn.
Welcome to Vietnamese American Community, Vietnamese European, Canadian, Australian Forum, Vietnamese Overseas Forum. Freedom of speech, safety and prestige. For a beautiful future for Vietnamese generations, please visit us, talk to us every day, every hour and every moment possible. VietBF.Com Thank you all and good luck.

Lên đầu Xuống dưới Lên 3000px Xuống 3000px

All times are GMT. The time now is 17:00.
VietBF - Vietnamese Best Forum Copyright ©2005 - 2026
User Alert System provided by Advanced User Tagging (Pro) - vBulletin Mods & Addons Copyright © 2026 DragonByte Technologies Ltd.
Log Out Unregistered

Page generated in 0.10691 seconds with 15 queries