HOME-Au
HOME-Au
24h
24h
USA
USA
GOP
GOP
Phim Bộ
Phim Bộ
Videoauto
VIDEO-Au
Home Classic
Home Classic
Donation
Donation
News Book
News Book
News 50
News 50
worldautoscroll
WORLD-Au
Breaking
Breaking
 

Go Back   VietBF > Other News|Tin Khác > School | Kiến thức


Reply
 
Thread Tools
  #1  
Old  Default Thiếu niên 17 tuổi đột quỵ
Thiếu niên 17 tuổi đau đầu, chóng mặt, uống thuốc không bớt, nhập viện bác sĩ phát hiện đột quỵ nhồi máu não gây yếu nửa người trái.

Ngày 20/2, bác sĩ Đặng Thị Thư Vy, Trưởng khoa Tâm thần kinh - Cơ xương khớp, Bệnh viện Việt Nam - Thụy Điển Uông Bí, cho biết đây là trường hợp hiếm gặp, khi nhập viện đã yếu liệt nửa người trái. Bệnh nhân tiền sử khỏe mạnh, không bệnh lý nền, thể trạng béo phì.

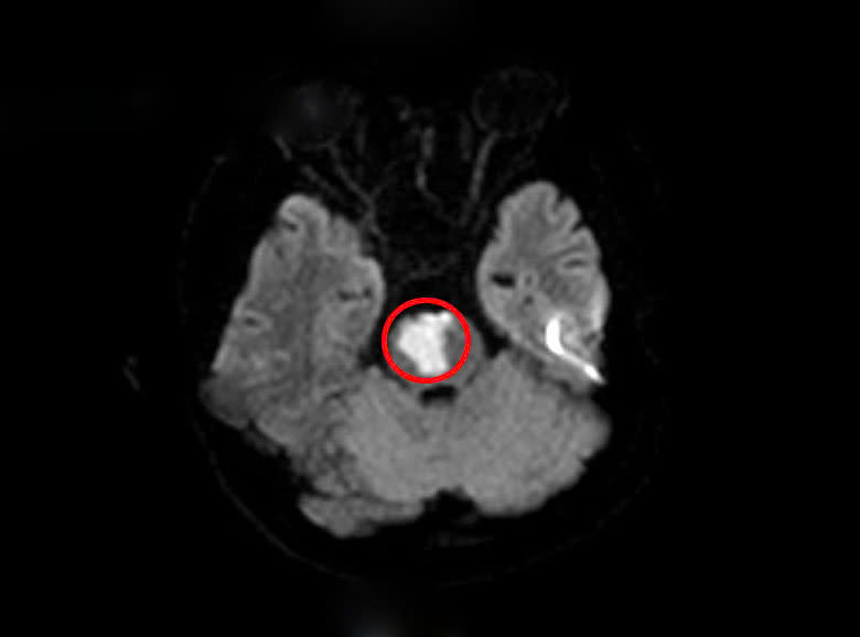
Kết quả chụp MRI sọ não bệnh nhân phát hiện khối nhồi máu tiểu não, cầu não do tắc động mạch thân nền. Xét nghiệm máu có rối loạn lipid máu, một yếu tố nguy cơ dẫn đến các vấn đề tim mạch và mạch máu não. Người bệnh được phát hiện bất thường trong hệ gene làm tăng nguy cơ tạo huyết khối tắc mạch.

"Bệnh nhân rất trẻ nhưng lại đột quỵ nhồi máu não, rối loạn lipid nghiêm trọng, là trường hợp hiếm gặp", bác sĩ Vy nói. Bệnh viện hội chẩn cùng bác sĩ Trung tâm đột quỵ Bệnh viện Bạch Mai, điều trị tích cực. Sau cấp cứu, người bệnh đã dần ổn định và hồi phục chức năng vận động cơ bản. Bệnh nhân tiếp tục theo dõi sức khỏe và điều trị bằng phương pháp tập phục hồi chức năng để phục hồi khả năng vận động của cơ thể.


Kết quả chụp não phát hiện nhồi máu não. Ảnh: Bệnh viện cung cấp

Đột quỵ não còn gọi tai biến mạch máu não, là tình trạng máu cung cấp cho một phần não bị gián đoạn hoặc giảm nặng khiến vùng não đó bị thiếu oxy và dinh dưỡng. Chỉ trong vòng vài phút thiếu máu, thiếu oxy, tế bào não sẽ chết. Vùng tế bào não bị tổn thương nặng hoặc lan rộng có thể dẫn đến tử vong hoặc để lại di chứng nặng nề về rối loạn vận động, nhận thức, ngôn ngữ, thị giác...

Đột quỵ não gồm hai dạng là nhồi máu não và xuất huyết não. Trong đó, nhồi máu não phổ biến hơn, chiếm khoảng 85% các trường hợp đột quỵ. Xuất huyết não tỷ lệ 15% nhưng biến chứng nặng hơn, số tử vong cao hơn.

Nhồi máu não (thiếu máu não cục bộ) xảy ra khi mạch máu cung cấp cho não bị tắc bởi cục máu đông, huyết khối, hẹp xơ vữa động mạch. Tỷ lệ tử vong khoảng 15-20% và có thể chữa khỏi nếu đến viện sớm trong những giờ đầu kể từ khi có dấu hiệu đột quỵ.

Để phát hiện kịp thời và đơn giản, Hội Đột quỵ Thế giới khuyến cáo kiểm tra theo quy tắc F.A.S.T. Trong đó, F là Face - mặt, yêu cầu người bệnh cười hoặc nhăn mặt, nếu một bên mặt bị xệ hoặc không thể cử động bình thường có thể là dấu hiệu của đột quỵ. A là Arms - tay, yêu cầu người bệnh nâng cả hai tay lên, cảnh giác nếu một tay yếu hoặc rơi xuống, không thể giữ vững.

S là Speech - lời nói, người bệnh lặp lại một câu đơn giản, nếu nói không rõ hoặc không thể nói được có thể là dấu hiệu của đột quỵ. T là Time - thời gian, khi nhận thấy bất kỳ dấu hiệu nào ở trên, hãy gọi cấp cứu ngay lập tức, đưa người bệnh đến cơ sở có khả năng cấp cứu điều trị đột quỵ gần nhất.

VietBF@sưu tập
VIETBF Diễn Đàn Hay Nhất Của Người Việt Nam

HOT NEWS 24h

HOT 3 Days

NEWS 3 Days

HOT 7 Days

NEWS 7 Days

HOME

Breaking News

VietOversea

World News

Business News

Car News

Computer News

Game News

USA News

Mobile News

Music News

Movies News

History

Thơ Ca

Sport News

Stranger Stories

Comedy Stories

Cooking Chat

Nice Pictures

Fashion

School

Travelling

Funny Videos

Canada Tin Hay

USA Tin Hay

VietBF Homepage Autoscroll

VietBF Video Autoscroll Portal

Home Classic

Home Classic Master Page

VietBF iPad Music Portal

Tin nóng nhất 50h qua

Phim Bộ Online

Phim Bộ



goodidea
R10 Vô Địch Thiên Hạ
Release: 02-20-2025
Reputation: 207973


Profile:
Join Date: Mar 2020
Posts: 58,420
Last Update: None Rating: None
Attached Thumbnails
Click image for larger version

Name:	15.jpg
Views:	0
Size:	25.3 KB
ID:	2492790  
goodidea_is_offline
Thanks: 70
Thanked 3,498 Times in 3,029 Posts
Mentioned: 0 Post(s)
Tagged: 0 Thread(s)
Quoted: 34 Post(s)
Rep Power: 74
goodidea Reputation Uy Tín Level 10goodidea Reputation Uy Tín Level 10goodidea Reputation Uy Tín Level 10goodidea Reputation Uy Tín Level 10
goodidea Reputation Uy Tín Level 10goodidea Reputation Uy Tín Level 10goodidea Reputation Uy Tín Level 10goodidea Reputation Uy Tín Level 10goodidea Reputation Uy Tín Level 10goodidea Reputation Uy Tín Level 10goodidea Reputation Uy Tín Level 10goodidea Reputation Uy Tín Level 10goodidea Reputation Uy Tín Level 10goodidea Reputation Uy Tín Level 10goodidea Reputation Uy Tín Level 10goodidea Reputation Uy Tín Level 10goodidea Reputation Uy Tín Level 10goodidea Reputation Uy Tín Level 10goodidea Reputation Uy Tín Level 10goodidea Reputation Uy Tín Level 10goodidea Reputation Uy Tín Level 10goodidea Reputation Uy Tín Level 10goodidea Reputation Uy Tín Level 10goodidea Reputation Uy Tín Level 10goodidea Reputation Uy Tín Level 10goodidea Reputation Uy Tín Level 10
Reply

User Tag List


Công dân Mỹ cũng có thể bị ICE bắt nhầm: ‘Xứ tự do’ và nỗi sợ gõ cửa lúc nửa đêm Khi CIA mù tịt, còn một tướng VNCH đã nhìn ra trước Kinh tế Trung Quốc kẹt giữa lạm phát và giảm phát
Hàng Tàu phá vây thuế quan, Trump khoe kinh tế A+++ và chiếc ví rỗng của người Mỹ Nguyễn Cao Kỳ, cái chết bất ngờ và bài học đắt giá về ‘hòa hợp hòa giải’ Trung Quốc siết cổ doanh nghiệp Việt: Cuộc xâm lược thương mại ngay trên sân nhà
Mỹ đuổi thẳng tay nếu chửi Mỹ trên Facebook Hòa bình mong manh cho Ukraine: Kế hoạch 20 điểm, sức ép từ Trump và bài toán bầu cử giữa làn đạn Fed cắt lãi suất lần thứ ba liên tiếp: Powell “phanh gấp”, túi tiền người Mỹ thay đổi ra sao?
IKEA khai trương cửa hàng đầu tiên ở New Zealand: Người Kiwi xếp hàng từ tờ mờ sáng Nước Mỹ không dung dưỡng kẻ vô ơn: Tị nạn, di dân và cơn giận của Donald Trump Dư âm Giáng Sinh Sài Gòn xưa: Từ mùa sao sáng đến thánh ca buồn
Lê Duẩn – Mao Trạch Đông và cái giá “lá chắn phương Nam” của Việt Nam Trung Quốc hủy 540.000 vé sang Nhật: Đòn răn đe hay cú “tự bắn vào chân”? Trump xóa bỏ tiêu chuẩn nhiên liệu thời Biden
Mỹ đã hiểu sai tham vọng của Đảng Cộng sản Trung Quốc và đánh giá thấp sự quyết liệt tàn nhẫn của họ Tị nạn, thẻ xanh, visa du học cùng bị “khóa cửa” Khi bia Mexico gặp búa trừng phạt di trú của Trump: Cú ngã đau của đế chế Modelo – Corona
Biển số 37.77: Thông điệp ngầm của Thủ tướng Nhật Takaichi Sanae gửi Bắc Kinh Quốc tịch Mỹ: Tường thành gần như tuyệt đối cho người nhập tịch Con gái Hà Nội, giọt nước dưới mặt lá
Những tay giang hồ miền Nam: huyền thoại, bóng tối và cái giá phải trả Huỳnh Điều – “anh lớp Ba” mà Cộng sản sợ cái miệng hơn sợ khẩu M.79 Tiếng súng 9 giờ sáng ở Florida và hành trình cuối của nữ deputy Terri Sweeting-Mashkow
“Giang sơn” nào được sắp xếp, và sắp xếp cho ai? Sau 40 tuổi, khuôn mặt là “bản lý lịch” của tâm hồn Siêu biệt phủ trăm tỷ của Chủ tịch phường Hải Phòng: “Đại Lộc Thiên tử” giữa làng nghèo
Từ vụ sạc 24 giờ ở Mỹ đến chết yểu ở Ấn Độ: VinFast và câu hỏi dành cho người Việt Khi chú Hòa xây nhà bình dân: những kiệt tác âm thầm giữa lòng Sài Gòn Việt Nam – Xứ sở của những người bị bắt phải học nghề đói
Mailisa bị bắt và ký ức đôi vợ chồng ăn chay đi chùa Đi Hàn, đi Nhật rồi nhìn lại Việt Nam: yêu nước đâu chỉ nói trên môi Nepal – Đất nước sống ở năm 2082 giữa trái tim Himalaya
Nicholas Winton – Người hùng thầm lặng cứu 669 đứa trẻ khỏi bóng đen Đức Quốc Xã Bi kịch giáo sư Yoshihiro Sato: khi dữ liệu đẹp đổi lấy danh dự và cái chết Sự ngu dốt của bọn có học – từ Nguyễn Huy Thiệp đến thời những lời nói lật ngược sự thật

 
Lên đầu Xuống dưới Lên 3000px Xuống 3000px

iPad Videos Portal Autoscroll

VietBF Music Portal Autoscroll

iPad News Portal Autoscroll

VietBF Homepage Autoscroll

VietBF Video Autoscroll Portal

USA News Autoscroll Portall

VietBF WORLD Autoscroll Portal

Home Classic

Super Widescreen

iPad World Portal Autoscroll

iPad USA Portal Autoscroll

Phim Bộ Online

Tin nóng nhất 24h qua

Tin nóng nhất 3 ngày qua

Tin nóng nhất 7 ngày qua

Tin nóng nhất 30 ngày qua

Albums

Total Videos Online
Lên đầu Xuống dưới Lên 3000px Xuống 3000px

Tranh luận sôi nổi nhất 7 ngày qua

Tranh luận sôi nổi nhất 14 ngày qua

Tranh luận sôi nổi nhất 30 ngày qua

10.000 Tin mới nhất

Tin tức Hoa Kỳ

Tin tức Công nghệ
Lên đầu Xuống dưới Lên 3000px Xuống 3000px

Super News

School Cooking Traveling Portal

Enter Portal

Series Shows and Movies Online

Home Classic Master Page

Donation Ủng hộ $3 cho VietBF
Lên đầu Xuống dưới Lên 3000px Xuống 3000px
Diễn Đàn Người Việt Hải Ngoại. Tự do ngôn luận, an toàn và uy tín. Vì một tương lai tươi đẹp cho các thế hệ Việt Nam hãy ghé thăm chúng tôi, hãy tâm sự với chúng tôi mỗi ngày, mỗi giờ và mỗi giây phút có thể. VietBF.Com Xin cám ơn các bạn, chúc tất cả các bạn vui vẻ và gặp nhiều may mắn.
Welcome to Vietnamese American Community, Vietnamese European, Canadian, Australian Forum, Vietnamese Overseas Forum. Freedom of speech, safety and prestige. For a beautiful future for Vietnamese generations, please visit us, talk to us every day, every hour and every moment possible. VietBF.Com Thank you all and good luck.

Lên đầu Xuống dưới Lên 3000px Xuống 3000px

All times are GMT. The time now is 17:33.
VietBF - Vietnamese Best Forum Copyright ©2005 - 2025
User Alert System provided by Advanced User Tagging (Pro) - vBulletin Mods & Addons Copyright © 2025 DragonByte Technologies Ltd.
Log Out Unregistered

Page generated in 0.13409 seconds with 15 queries