HOME-Au
HOME-Au
24h
24h
USA
USA
GOP
GOP
Phim Bộ
Phim Bộ
Videoauto
VIDEO-Au
Home Classic
Home Classic
Donation
Donation
News Book
News Book
News 50
News 50
worldautoscroll
WORLD-Au
Breaking
Breaking
 

Go Back   VietBF > Other News|Tin Khác > School | Kiến thức > School | Kiến thức 2006-2019


 
 
Thread Tools
  #1  
Old  Default Bệnh về nướu - “Kẻ giết người” thầm lặng và Những bí quyết tuyệt vời để loại bỏ vấn đề này hiệu quả
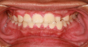
Việc vệ sinh răng miệng kém và không đều, có thể là nguyên nhân dẫn tới sự xuất hiện của viêm nướu răng hay bệnh viêm của các mô xung quanh răng. Nó đặc trưng bởi hiện tượng đỏ, sưng nướu răng và dễ chảy máu khi chải răng hoặc xỉa răng. Viêm nướu không phải là một vấn đề đơn giản.



Các bệnh viêm lợi xảy ra bởi vì các thực phẩm dính vào bề mặt của răng và nó được trộn lẫn với nước bọt và vi khuẩn. Nếu không điều trị bệnh viêm lợi, nó có thể kéo dài từ nướu răng vào xương và điều này dẫn đến viêm nha chu. Khi xương bên dưới bị nhiễm, nó sẽ rút khỏi răng và tạo thành túi nướu sâu. Những túi này là nơi mảng bám và vi khuẩn tích tụs bởi vì chúng rất khó khăn để giữ sạch.

Liệu pháp tốt nhất chữa trị bệnh nướu răng:
1. Trà xanh:
Nhiều nghiên cứu đã chỉ ra rằng việc sử dụng hàng ngày của trà xanh làm giảm sự xuất hiện của bệnh nha chu. Uống 1-2 ly chiết xuất trà xanh hàng ngày.
2. Baking soda:
Bạn hãy thử trộn baking soda với nước để tạo ra thuốc đánh răng làm sạch răng, sau đó xoa dọc theo các đường viền nướu với ngón tay của bạn. Điều này sẽ giết chết vi khuẩn và bảo vệ nướu răng của bạn.
3. Lô hội:
Lô hội được đặc trưng trong một vài biện pháp cho nướu bị sưng và chảy máu. Chỉ cần chà lô hội trên nướu răng và để cho nó ngồi yên ở đó. Làm điều này nhiều lần cho đến khi vấn đề đi xa.
4. Nước chanh:
Các chanh có đặc tính chống viêm có thể được sử dụng để phòng ngừa hoặc điều trị các bệnh viêm lợi. Chỉ cần vắt nước cốt của một quả chanh và thêm một chút muối vào nó. Áp dụng hỗn hợp này lên răng và để nó trong vài phút trước khi súc miệng nước.


pizza@VietBF © sưu tầm
VIETBF Diễn Đàn Hay Nhất Của Người Việt Nam

HOT NEWS 24h

HOT 3 Days

NEWS 3 Days

HOT 7 Days

NEWS 7 Days

HOME

Breaking News

VietOversea

World News

Business News

Car News

Computer News

Game News

USA News

Mobile News

Music News

Movies News

History

Thơ Ca

Sport News

Stranger Stories

Comedy Stories

Cooking Chat

Nice Pictures

Fashion

School

Travelling

Funny Videos

Canada Tin Hay

USA Tin Hay

VietBF Homepage Autoscroll

VietBF Video Autoscroll Portal

Home Classic

Home Classic Master Page



pizza
R11 Tuyệt Thế Thiên Hạ
Release: 03-23-2015
Reputation: 237140


Profile:
Join Date: Sep 2014
Posts: 106,377
Last Update: None Rating: None
Attached Thumbnails
Click image for larger version

Name:	Gum-Disease-The-Silent-Killer-8-Home-Remedies-To-Cure-It-Naturally-300x160.png
Views:	0
Size:	72.6 KB
ID:	751029  
pizza is_online_now
Thanks: 7
Thanked 8,099 Times in 7,209 Posts
Mentioned: 6 Post(s)
Tagged: 0 Thread(s)
Quoted: 41 Post(s)
Rep Power: 129
pizza Reputation Uy Tín Level 10pizza Reputation Uy Tín Level 10pizza Reputation Uy Tín Level 10pizza Reputation Uy Tín Level 10pizza Reputation Uy Tín Level 10pizza Reputation Uy Tín Level 10pizza Reputation Uy Tín Level 10
pizza Reputation Uy Tín Level 10pizza Reputation Uy Tín Level 10pizza Reputation Uy Tín Level 10pizza Reputation Uy Tín Level 10pizza Reputation Uy Tín Level 10pizza Reputation Uy Tín Level 10pizza Reputation Uy Tín Level 10pizza Reputation Uy Tín Level 10pizza Reputation Uy Tín Level 10pizza Reputation Uy Tín Level 10pizza Reputation Uy Tín Level 10pizza Reputation Uy Tín Level 10pizza Reputation Uy Tín Level 10pizza Reputation Uy Tín Level 10pizza Reputation Uy Tín Level 10pizza Reputation Uy Tín Level 10pizza Reputation Uy Tín Level 10pizza Reputation Uy Tín Level 10pizza Reputation Uy Tín Level 10pizza Reputation Uy Tín Level 10pizza Reputation Uy Tín Level 10pizza Reputation Uy Tín Level 10
The Following User Says Thank You to pizza For This Useful Post:
chicoem@ (03-27-2015)
 
User Tag List



 
Lên đầu Xuống dưới Lên 3000px Xuống 3000px

iPad Videos Portal Autoscroll

VietBF Music Portal Autoscroll

iPad News Portal Autoscroll

VietBF Homepage Autoscroll

VietBF Video Autoscroll Portal

USA News Autoscroll Portall

VietBF WORLD Autoscroll Portal

Home Classic

Super Widescreen

iPad World Portal Autoscroll

iPad USA Portal Autoscroll

Phim Bộ Online

Tin nóng nhất 24h qua

Tin nóng nhất 3 ngày qua

Tin nóng nhất 7 ngày qua

Tin nóng nhất 30 ngày qua

Albums

Total Videos Online
Lên đầu Xuống dưới Lên 3000px Xuống 3000px

Tranh luận sôi nổi nhất 7 ngày qua

Tranh luận sôi nổi nhất 14 ngày qua

Tranh luận sôi nổi nhất 30 ngày qua

10.000 Tin mới nhất

Tin tức Hoa Kỳ

Tin tức Công nghệ
Lên đầu Xuống dưới Lên 3000px Xuống 3000px

Super News

School Cooking Traveling Portal

Enter Portal

Series Shows and Movies Online

Home Classic Master Page

Donation Ủng hộ $3 cho VietBF
Lên đầu Xuống dưới Lên 3000px Xuống 3000px
Diễn Đàn Người Việt Hải Ngoại. Tự do ngôn luận, an toàn và uy tín. Vì một tương lai tươi đẹp cho các thế hệ Việt Nam hãy ghé thăm chúng tôi, hãy tâm sự với chúng tôi mỗi ngày, mỗi giờ và mỗi giây phút có thể. VietBF.Com Xin cám ơn các bạn, chúc tất cả các bạn vui vẻ và gặp nhiều may mắn.
Welcome to Vietnamese American Community, Vietnamese European, Canadian, Australian Forum, Vietnamese Overseas Forum. Freedom of speech, safety and prestige. For a beautiful future for Vietnamese generations, please visit us, talk to us every day, every hour and every moment possible. VietBF.Com Thank you all and good luck.

Lên đầu Xuống dưới Lên 3000px Xuống 3000px

All times are GMT. The time now is 23:23.
VietBF - Vietnamese Best Forum Copyright ©2005 - 2025
User Alert System provided by Advanced User Tagging (Pro) - vBulletin Mods & Addons Copyright © 2025 DragonByte Technologies Ltd.
Log Out Unregistered

Page generated in 0.11671 seconds with 13 queries