HOME-Au
HOME-Au
24h
24h
USA
USA
GOP
GOP
Phim Bộ
Phim Bộ
Videoauto
VIDEO-Au
Home Classic
Home Classic
Donation
Donation
News Book
News Book
News 50
News 50
worldautoscroll
WORLD-Au
Breaking
Breaking
 

Go Back   VietBF > World Box| Thế Giới > Vietnam News | Tin Việt Nam > 2005-2023 Vietnam News


 
 
Thread Tools
  #1  
Old  Default Kì lạ bào thai nằm trong gan mẹ bầu
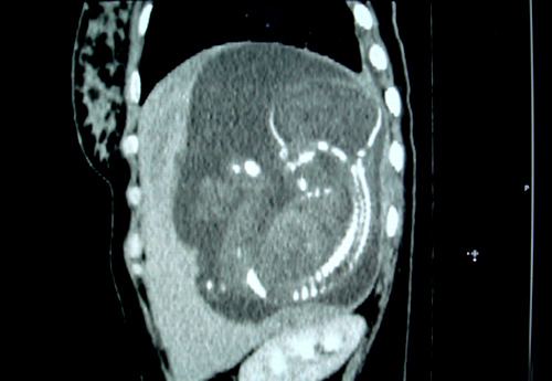
Một thai phụ nhập viện Từ Dũ trong tình trạng thai nhi nằm ở giữa thùy của lá gan bên trái thay vì nằm trong tử cung của người mẹ. Các bác sĩ đã phải tiến hành phẫu thuật nội soi để bóc tách khối thai nằm ở vị trí bất thường như thế.


Tại Bệnh viện Từ Dũ, qua kiểm tra các chỉ số trong máu, người bệnh được khẳng định đang mang thai nhưng nội soi ổ bụng không thấy khối thai. Mãi đến khi thai phụ được tiến hành nhiều biện pháp xét nghiệm, chẩn đoán hình ảnh khác mới phát hiện khối bất thường đường kính 60 mm ở mặt dưới phân thùy giữa gan trái, ép vào thùy đuôi của gan.

Khẳng định đây là trường hợp thai nằm sai vị trí hiếm gặp, có nguy cơ gây tổn thương động mạch chủ bụng, các bác sĩ đã tiến hành phẫu thuật nội soi để bóc tách khối thai nằm sai vị trí bất thường.

"Trường hợp này nếu không được phẫu thuật kịp thời, những gai nhau có thể xuyên thấu gan hoặc các mạch máu, đâm vào cuống gan làm tổn thương mạch máu, ống tụy bên trong khiến bệnh nhân tử vong", bác sĩ chuyên khoa II Nguyễn Bá Mỹ Nhi, Phó Giám đốc Bệnh viện Từ Dũ, cho biết.

Là bệnh viện sản tuyến cuối, đây là lần thứ hai các bác sĩ Bệnh viện Từ Dũ phát hiện trường hợp thai trong gan. Ca đầu tiên là một thai phụ 27 tuổi cũng ở Kiên Giang có bào thai nằm trọn trong gan. Theo các bác sĩ, trong các ca thai ngoài tử cung thì có đến 97% thai nằm ở vị trí vòi trứng. Chỉ khoảng 3% còn lại là các vị trí khác, trong đó, thai nằm ở khu vực gan là cực kỳ hiếm gặp.

Ngoài trường hợp trên, ngày 29/8, các bác sĩ còn phát hiện một trường hợp thai ngoài tử cung hiếm gặp khác. Ở người phụ nữ này, thai nằm ở dây chằng rộng bên phải tử cung, thai phụ này từng có thai ngoài tử cung và từng cắt bỏ vòi trứng bên phải. Bệnh nhân cũng được phẫu thuật bỏ thai để ngăn các biến chứng có thể gây hại đến tính mạng.

Khoảng 13 năm trước, bệnh viện này cũng từng phát hiện và xử trí kịp thơi cho một người mẹ khác mang thai nhưng bào thai nằm trong thận. Từ những trường hợp trên, các bác sĩ khuyên thai phụ cần đến bệnh viện chuyên khoa để thăm khám khi thấy có dấu hiệu mất kinh bất thường, dùng que thử thấy có dấu hiệu mang thai mà siêu âm không thấy thai nhi trong tử cung.
VIETBF Diễn Đàn Hay Nhất Của Người Việt Nam

HOT NEWS 24h

HOT 3 Days

NEWS 3 Days

HOT 7 Days

NEWS 7 Days

HOME

Breaking News

VietOversea

World News

Business News

Car News

Computer News

Game News

USA News

Mobile News

Music News

Movies News

History

Thơ Ca

Sport News

Stranger Stories

Comedy Stories

Cooking Chat

Nice Pictures

Fashion

School

Travelling

Funny Videos

Canada Tin Hay

USA Tin Hay

VietBF Homepage Autoscroll

VietBF Video Autoscroll Portal

Home Classic

Home Classic Master Page


june04
R10 Vô Địch Thiên Hạ
june04's Avatar
Release: 09-01-2016
Reputation: 17559


Profile:
Join Date: Oct 2014
Posts: 69,680
Last Update: None Rating: None
Attached Thumbnails
Click image for larger version

Name:	2.8.jpg
Views:	0
Size:	73.6 KB
ID:	930009  
june04_is_offline
Thanks: 4
Thanked 3,334 Times in 2,938 Posts
Mentioned: 0 Post(s)
Tagged: 0 Thread(s)
Quoted: 22 Post(s)
Rep Power: 81
june04 Reputation Uy Tín Level 6
june04 Reputation Uy Tín Level 6june04 Reputation Uy Tín Level 6june04 Reputation Uy Tín Level 6june04 Reputation Uy Tín Level 6june04 Reputation Uy Tín Level 6june04 Reputation Uy Tín Level 6june04 Reputation Uy Tín Level 6june04 Reputation Uy Tín Level 6june04 Reputation Uy Tín Level 6june04 Reputation Uy Tín Level 6june04 Reputation Uy Tín Level 6june04 Reputation Uy Tín Level 6june04 Reputation Uy Tín Level 6june04 Reputation Uy Tín Level 6june04 Reputation Uy Tín Level 6june04 Reputation Uy Tín Level 6june04 Reputation Uy Tín Level 6june04 Reputation Uy Tín Level 6june04 Reputation Uy Tín Level 6june04 Reputation Uy Tín Level 6june04 Reputation Uy Tín Level 6june04 Reputation Uy Tín Level 6
Old 09-01-2016   #2
tvniceman
R4 Cao Thủ Võ Lâm
 
Join Date: Dec 2010
Posts: 793
Thanks: 144
Thanked 168 Times in 106 Posts
Mentioned: 0 Post(s)
Tagged: 0 Thread(s)
Quoted: 35 Post(s)
Rep Power: 15
tvniceman Reputation Uy Tín Level 1tvniceman Reputation Uy Tín Level 1tvniceman Reputation Uy Tín Level 1tvniceman Reputation Uy Tín Level 1tvniceman Reputation Uy Tín Level 1
Default

Coi chung bi moc LA GAN vi soi nham

tvniceman_is_offline  
 
User Tag List



 
Lên đầu Xuống dưới Lên 3000px Xuống 3000px

iPad Videos Portal Autoscroll

VietBF Music Portal Autoscroll

iPad News Portal Autoscroll

VietBF Homepage Autoscroll

VietBF Video Autoscroll Portal

USA News Autoscroll Portall

VietBF WORLD Autoscroll Portal

Home Classic

Super Widescreen

iPad World Portal Autoscroll

iPad USA Portal Autoscroll

Phim Bộ Online

Tin nóng nhất 24h qua

Tin nóng nhất 3 ngày qua

Tin nóng nhất 7 ngày qua

Tin nóng nhất 30 ngày qua

Albums

Total Videos Online
Lên đầu Xuống dưới Lên 3000px Xuống 3000px

Tranh luận sôi nổi nhất 7 ngày qua

Tranh luận sôi nổi nhất 14 ngày qua

Tranh luận sôi nổi nhất 30 ngày qua

10.000 Tin mới nhất

Tin tức Hoa Kỳ

Tin tức Công nghệ
Lên đầu Xuống dưới Lên 3000px Xuống 3000px

Super News

School Cooking Traveling Portal

Enter Portal

Series Shows and Movies Online

Home Classic Master Page

Donation Ủng hộ $3 cho VietBF
Lên đầu Xuống dưới Lên 3000px Xuống 3000px
Diễn Đàn Người Việt Hải Ngoại. Tự do ngôn luận, an toàn và uy tín. Vì một tương lai tươi đẹp cho các thế hệ Việt Nam hãy ghé thăm chúng tôi, hãy tâm sự với chúng tôi mỗi ngày, mỗi giờ và mỗi giây phút có thể. VietBF.Com Xin cám ơn các bạn, chúc tất cả các bạn vui vẻ và gặp nhiều may mắn.
Welcome to Vietnamese American Community, Vietnamese European, Canadian, Australian Forum, Vietnamese Overseas Forum. Freedom of speech, safety and prestige. For a beautiful future for Vietnamese generations, please visit us, talk to us every day, every hour and every moment possible. VietBF.Com Thank you all and good luck.

Lên đầu Xuống dưới Lên 3000px Xuống 3000px

All times are GMT. The time now is 02:59.
VietBF - Vietnamese Best Forum Copyright ©2005 - 2025
User Alert System provided by Advanced User Tagging (Pro) - vBulletin Mods & Addons Copyright © 2025 DragonByte Technologies Ltd.
Log Out Unregistered

Page generated in 0.11911 seconds with 13 queries