HOME-Au
HOME-Au
24h
24h
USA
USA
GOP
GOP
Phim Bộ
Phim Bộ
Videoauto
VIDEO-Au
Home Classic
Home Classic
Donation
Donation
News Book
News Book
News 50
News 50
worldautoscroll
WORLD-Au
Breaking
Breaking
 

Go Back   VietBF > World Box| Thế Giới > Vietnam News | Tin Việt Nam > 2005-2023 Vietnam News


 
 
Thread Tools
  #1  
Old  Default Một ông Sài Gòn cùng lúc mắc hai bệnh hiểm nguy
Có một người đàn ông Sài Gòn cùng lúc mắc 2 chứng bệnh nguy hiểm chết người. Ông này được đưa vào viện cấp cứu vì nhồi máu cơ tim. Chỉ sau 30 phút bất ngờ thêm một cơn đột quỵ não xảy đến.

Bệnh viện Thống Nhất TP.HCM cho biết, bệnh nhân 60 tuổi (ngụ TP.HCM) được đưa vào viện trong tình trạng đau ngực, khó thở, suy tim nghi do nhồi máu cơ tim. Ban đầu, bệnh nhân còn tỉnh táo, cử động bình thường và tiếp xúc tốt. Song, sau 30 phút tiếp nhận làm các xét nghiệm, bệnh nhân bắt đầu rối loạn tri giác, có dâu hiệu liệt nửa người.

Nghi ngờ bệnh nhân bị đột quỵ não, bác sĩ đã cho chụp CT kiểm tra. Kết quả cho thấy đúng như dự đoán.



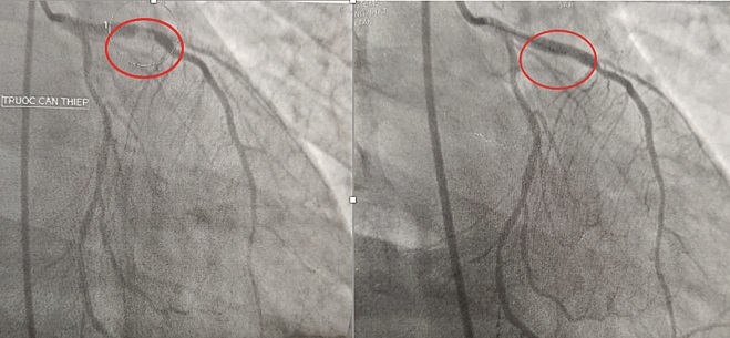
Hình ảnh bên trái trước khi can thiệp và phải là sau khi can thiệp mạch vành của bệnh nhân. Ảnh: L.P

Bác sĩ Nguyễn Văn Tân, Trưởng Khoa Tim mạch Can thiệp Cấp cứu cho biết, trước tình trạng khá hy hữu là cả hệ động mạch vành và hệ động mạch não đều gặp sự cố, vấn đề đặt ra là xử trí thế nào để kịp cứu tính mạng bệnh nhân, không để lại di chứng.

Một cuộc hội chẩn bao gồm bác sĩ tim mạch lẫn thần kinh họp bàn đưa ra giải pháp giải quyết vấn đề cả não lẫn tim. Sau khi được chụp DSA mạch máu não, ê-kíp phát hiện huyết khối làm tắc hoàn toàn đoạn nuôi động mạch lớn nuôi não, kíp bác sĩ thần kinh hút huyết khối cứu nguy cho não.

Tiếp nối, bác sĩ tim mạch tiến hành chụp động mạch vành, phát hiện tắc 3 nhánh. Bác sĩ nhanh chóng tiến hành can thiệp đặt một stent ở nhánh thủ phạm nhằm giải quyết tình trạng suy tim cấp. Sau khi được can thiệp tim lẫn thần kinh, bệnh nhân đã cải thiện tri giác và được rút ống thở. Hiện, bệnh nhân tỉnh táo, tiếp xúc tốt, ăn uống được.



Bệnh nhân đã tỉnh táo sau khi được bác sĩ cấp cứu kịp thời. Ảnh: L.P

Bác sĩ Tân chia sẻ thêm, người đàn ông nhập viện trong tình huống bệnh tim song đột quỵ não cũng có thể xảy ra và ngược lại. Rất may, bác sĩ chẩn đoán nhanh, chính xác, bệnh viện có dủ chuyên khoa giúp bệnh nhân điều trị kịp thời. Ca này đòi hỏi phải cùng lúc phối hợp nhịp nhành can thiệp thần kinh lẫn can thiệp mạch vành.
VIETBF Diễn Đàn Hay Nhất Của Người Việt Nam

HOT NEWS 24h

HOT 3 Days

NEWS 3 Days

HOT 7 Days

NEWS 7 Days

HOME

Breaking News

VietOversea

World News

Business News

Car News

Computer News

Game News

USA News

Mobile News

Music News

Movies News

History

Thơ Ca

Sport News

Stranger Stories

Comedy Stories

Cooking Chat

Nice Pictures

Fashion

School

Travelling

Funny Videos

Canada Tin Hay

USA Tin Hay

VietBF Homepage Autoscroll

VietBF Video Autoscroll Portal

Home Classic

Home Classic Master Page


pizza
R11 Tuyệt Thế Thiên Hạ
Release: 05-25-2019
Reputation: 237130


Profile:
Join Date: Sep 2014
Posts: 105,915
Last Update: None Rating: None
Attached Thumbnails
Click image for larger version

Name:	352.jpg
Views:	0
Size:	81.7 KB
ID:	1389673   Click image for larger version

Name:	351.jpg
Views:	0
Size:	73.3 KB
ID:	1389674  
pizza_is_offline
Thanks: 7
Thanked 8,094 Times in 7,204 Posts
Mentioned: 6 Post(s)
Tagged: 0 Thread(s)
Quoted: 41 Post(s)
Rep Power: 128
pizza Reputation Uy Tín Level 10pizza Reputation Uy Tín Level 10pizza Reputation Uy Tín Level 10pizza Reputation Uy Tín Level 10pizza Reputation Uy Tín Level 10pizza Reputation Uy Tín Level 10pizza Reputation Uy Tín Level 10
pizza Reputation Uy Tín Level 10pizza Reputation Uy Tín Level 10pizza Reputation Uy Tín Level 10pizza Reputation Uy Tín Level 10pizza Reputation Uy Tín Level 10pizza Reputation Uy Tín Level 10pizza Reputation Uy Tín Level 10pizza Reputation Uy Tín Level 10pizza Reputation Uy Tín Level 10pizza Reputation Uy Tín Level 10pizza Reputation Uy Tín Level 10pizza Reputation Uy Tín Level 10pizza Reputation Uy Tín Level 10pizza Reputation Uy Tín Level 10pizza Reputation Uy Tín Level 10pizza Reputation Uy Tín Level 10pizza Reputation Uy Tín Level 10pizza Reputation Uy Tín Level 10pizza Reputation Uy Tín Level 10pizza Reputation Uy Tín Level 10pizza Reputation Uy Tín Level 10pizza Reputation Uy Tín Level 10
 
User Tag List



 
Lên đầu Xuống dưới Lên 3000px Xuống 3000px

iPad Videos Portal Autoscroll

VietBF Music Portal Autoscroll

iPad News Portal Autoscroll

VietBF Homepage Autoscroll

VietBF Video Autoscroll Portal

USA News Autoscroll Portall

VietBF WORLD Autoscroll Portal

Home Classic

Super Widescreen

iPad World Portal Autoscroll

iPad USA Portal Autoscroll

Phim Bộ Online

Tin nóng nhất 24h qua

Tin nóng nhất 3 ngày qua

Tin nóng nhất 7 ngày qua

Tin nóng nhất 30 ngày qua

Albums

Total Videos Online
Lên đầu Xuống dưới Lên 3000px Xuống 3000px

Tranh luận sôi nổi nhất 7 ngày qua

Tranh luận sôi nổi nhất 14 ngày qua

Tranh luận sôi nổi nhất 30 ngày qua

10.000 Tin mới nhất

Tin tức Hoa Kỳ

Tin tức Công nghệ
Lên đầu Xuống dưới Lên 3000px Xuống 3000px

Super News

School Cooking Traveling Portal

Enter Portal

Series Shows and Movies Online

Home Classic Master Page

Donation Ủng hộ $3 cho VietBF
Lên đầu Xuống dưới Lên 3000px Xuống 3000px
Diễn Đàn Người Việt Hải Ngoại. Tự do ngôn luận, an toàn và uy tín. Vì một tương lai tươi đẹp cho các thế hệ Việt Nam hãy ghé thăm chúng tôi, hãy tâm sự với chúng tôi mỗi ngày, mỗi giờ và mỗi giây phút có thể. VietBF.Com Xin cám ơn các bạn, chúc tất cả các bạn vui vẻ và gặp nhiều may mắn.
Welcome to Vietnamese American Community, Vietnamese European, Canadian, Australian Forum, Vietnamese Overseas Forum. Freedom of speech, safety and prestige. For a beautiful future for Vietnamese generations, please visit us, talk to us every day, every hour and every moment possible. VietBF.Com Thank you all and good luck.

Lên đầu Xuống dưới Lên 3000px Xuống 3000px

All times are GMT. The time now is 19:30.
VietBF - Vietnamese Best Forum Copyright ©2005 - 2025
User Alert System provided by Advanced User Tagging (Pro) - vBulletin Mods & Addons Copyright © 2025 DragonByte Technologies Ltd.
Log Out Unregistered

Page generated in 0.10089 seconds with 15 queries