HOME-Au
HOME-Au
24h
24h
USA
USA
GOP
GOP
Phim Bộ
Phim Bộ
Videoauto
VIDEO-Au
Home Classic
Home Classic
Donation
Donation
News Book
News Book
News 50
News 50
worldautoscroll
WORLD-Au
Breaking
Breaking
 

Go Back   VietBF > Others (Closed Forums) > Archive - Old Report News (closed)

 
 
Thread Tools
  #1  
Old  Talking Phát ngất với những đồ vật nằm trong cơ thể người
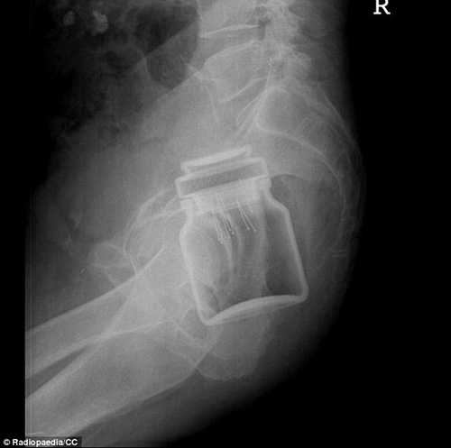
VBF- Đây là các hình ảnh được cung câp bởi các bã sĩ trong bệnh viện. Các bênh nhân sau khi để lọt các đồ vật vào người đã phải đi cấp cứu tại bệnh viện và đã được chụp X-quang để xác định đồ vật đó.Đó thường là những "vật dụng bất bình thường" được các bác sĩ khắp thế giới tìm thấy bên trong trực tràng của các bệnh nhân và chia sẻ trên trang Radiopaedia, một website giáo dục và thảo luận do các sinh viên X-quang thành lập từ năm 2005. Hình ảnh X-quang được chia sẻ trên website là vật mẫu cho việc nghiên cứu hợp tác và là giáo cụ trực quan trong giảng dạy ngành học quang quyến (môn học X-quang), hoặc dùng làm tài liệu cho các bảo tàng, đồng thời là những ví dụ giúp mọi người cảnh giác. hiếc chày trong trực tràng người đàn ông 40 tuổi được "khổ chủ" giải thích khi nấu món ăn Malaysia đã bị trượt vào trong??? Một chai đựng cà phê với những chiếc ghim gắm vào lớp cao su phía dưới nắp được bệnh nhân đưa vào trong cơ thể. Một tuýp đựng vitamin được đưa vào trong trực tràng. Thậm chí một chiếc chai cũng nằm trong danh sách bộ sưu tập các bác sĩ X-quang thu thập được. Dụng cụ rung được đưa vào qua đường hậu môn. tm tm
VIETBF Diễn Đàn Hay Nhất Của Người Việt Nam

HOT NEWS 24h

HOT 3 Days

NEWS 3 Days

HOT 7 Days

NEWS 7 Days

HOME

Breaking News

VietOversea

World News

Business News

Car News

Computer News

Game News

USA News

Mobile News

Music News

Movies News

History

Thơ Ca

Sport News

Stranger Stories

Comedy Stories

Cooking Chat

Nice Pictures

Fashion

School

Travelling

Funny Videos

Canada Tin Hay

USA Tin Hay

VietBF Homepage Autoscroll

VietBF Video Autoscroll Portal

Home Classic

Home Classic Master Page


Romano
R11 Tuyệt Thế Thiên Hạ
Romano's Avatar
Release: 02-22-2015
Reputation: 344537


Profile:
Join Date: May 2007
Posts: 137,764
Last Update: None Rating: None
Attached Thumbnails
Click image for larger version

Name:	1.jpg
Views:	0
Size:	42.7 KB
ID:	744269   Click image for larger version

Name:	2.jpg
Views:	0
Size:	39.2 KB
ID:	744270   Click image for larger version

Name:	3.jpg
Views:	0
Size:	47.5 KB
ID:	744271  

Click image for larger version

Name:	4.jpg
Views:	0
Size:	49.5 KB
ID:	744272   Click image for larger version

Name:	5.jpg
Views:	0
Size:	59.5 KB
ID:	744273  
Romano_is_offline
Thanks: 9
Thanked 6,555 Times in 5,501 Posts
Mentioned: 3 Post(s)
Tagged: 0 Thread(s)
Quoted: 38 Post(s)
Rep Power: 173
Romano Reputation Uy Tín Level 10Romano Reputation Uy Tín Level 10Romano Reputation Uy Tín Level 10Romano Reputation Uy Tín Level 10Romano Reputation Uy Tín Level 10Romano Reputation Uy Tín Level 10
Romano Reputation Uy Tín Level 10Romano Reputation Uy Tín Level 10Romano Reputation Uy Tín Level 10Romano Reputation Uy Tín Level 10Romano Reputation Uy Tín Level 10Romano Reputation Uy Tín Level 10Romano Reputation Uy Tín Level 10Romano Reputation Uy Tín Level 10Romano Reputation Uy Tín Level 10Romano Reputation Uy Tín Level 10Romano Reputation Uy Tín Level 10Romano Reputation Uy Tín Level 10Romano Reputation Uy Tín Level 10Romano Reputation Uy Tín Level 10Romano Reputation Uy Tín Level 10Romano Reputation Uy Tín Level 10Romano Reputation Uy Tín Level 10Romano Reputation Uy Tín Level 10
 
User Tag List



 
Lên đầu Xuống dưới Lên 3000px Xuống 3000px

iPad Videos Portal Autoscroll

VietBF Music Portal Autoscroll

iPad News Portal Autoscroll

VietBF Homepage Autoscroll

VietBF Video Autoscroll Portal

USA News Autoscroll Portall

VietBF WORLD Autoscroll Portal

Home Classic

Super Widescreen

iPad World Portal Autoscroll

iPad USA Portal Autoscroll

Phim Bộ Online

Tin nóng nhất 24h qua

Tin nóng nhất 3 ngày qua

Tin nóng nhất 7 ngày qua

Tin nóng nhất 30 ngày qua

Albums

Total Videos Online
Lên đầu Xuống dưới Lên 3000px Xuống 3000px

Tranh luận sôi nổi nhất 7 ngày qua

Tranh luận sôi nổi nhất 14 ngày qua

Tranh luận sôi nổi nhất 30 ngày qua

10.000 Tin mới nhất

Tin tức Hoa Kỳ

Tin tức Công nghệ
Lên đầu Xuống dưới Lên 3000px Xuống 3000px

Super News

School Cooking Traveling Portal

Enter Portal

Series Shows and Movies Online

Home Classic Master Page

Donation Ủng hộ $3 cho VietBF
Lên đầu Xuống dưới Lên 3000px Xuống 3000px
Diễn Đàn Người Việt Hải Ngoại. Tự do ngôn luận, an toàn và uy tín. Vì một tương lai tươi đẹp cho các thế hệ Việt Nam hãy ghé thăm chúng tôi, hãy tâm sự với chúng tôi mỗi ngày, mỗi giờ và mỗi giây phút có thể. VietBF.Com Xin cám ơn các bạn, chúc tất cả các bạn vui vẻ và gặp nhiều may mắn.
Welcome to Vietnamese American Community, Vietnamese European, Canadian, Australian Forum, Vietnamese Overseas Forum. Freedom of speech, safety and prestige. For a beautiful future for Vietnamese generations, please visit us, talk to us every day, every hour and every moment possible. VietBF.Com Thank you all and good luck.

Lên đầu Xuống dưới Lên 3000px Xuống 3000px

All times are GMT. The time now is 16:16.
VietBF - Vietnamese Best Forum Copyright ©2005 - 2025
User Alert System provided by Advanced User Tagging (Pro) - vBulletin Mods & Addons Copyright © 2025 DragonByte Technologies Ltd.
Log Out Unregistered

Page generated in 0.10696 seconds with 15 queries