HOME-Au
HOME-Au
24h
24h
USA
USA
GOP
GOP
Phim Bộ
Phim Bộ
Videoauto
VIDEO-Au
Home Classic
Home Classic
Donation
Donation
News Book
News Book
News 50
News 50
worldautoscroll
WORLD-Au
Breaking
Breaking
 

Go Back   VietBF > World Box| Thế Giới > World News|Tin Thế Giới


Reply
 
Thread Tools
  #1  
Old  Default Đi nhổ răng sữa, bé gái khiến nha sĩ sốc nặng khi có 81 chiếc răng
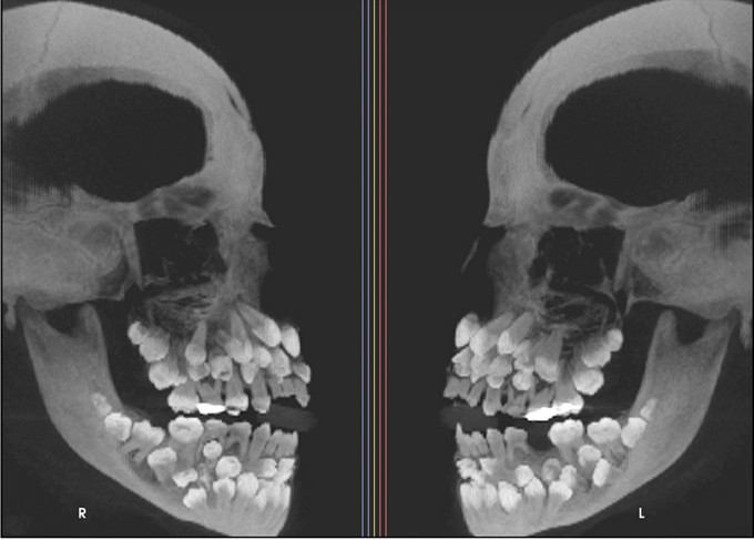
Đi nhổ răng sữa, một bé gái 11 tuổi đã khiến nha sĩ sốc nặng khi phát hiện phim chụp X-quang cho thấy cô bé có 81 chiếc răng trong miệng.

Các hãng thông tấn nước ngoài đã đưa tin về một trường hợp y khoa xảy ra ở Brazil, nơi một bé gái 11 tuổi đến gặp nha sĩ để nhổ răng sữa. Tuy nhiên, kết quả chụp X-quang cho thấy miệng bé có tổng cộng 81 chiếc răng, bao gồm 31 chiếc răng thừa. Trường hợp hiếm gặp này sau đó đã được đăng trên một tạp chí y khoa và trở thành chủ đề nóng hổi.

Cụ thể, bé gái 11 tuổi 8 tháng ở Minas Gerais, Brazil, đã đến một phòng khám nha khoa để kiểm tra răng miệng và dự định nhổ hàng răng sữa trên cùng vốn vẫn chưa rụng. Tuy nhiên, kết quả chụp X-quang cho thấy một phát hiện gây sốc, thực tế bé có 18 răng sữa, 32 răng vĩnh viễn và 31 răng thừa, tổng cộng là 81 răng.


Bé gái có 81 chiếc răng khiến nha sĩ bất ngờ.

Khi khám răng, bác sĩ nhận thấy chỉ có 5 răng vĩnh viễn đã mọc, trong khi vẫn còn khá nhiều răng sữa. Để đánh giá toàn diện hơn tình trạng răng miệng của bé, bác sĩ đã chỉ định chụp X-quang tổng quát và chụp sọ nghiêng.

Những hình ảnh cho thấy nhiều răng bị biến dạng và nằm sâu trong nướu, khiến việc phân biệt giữa răng bình thường và răng thừa rất khó khăn. Trung bình, một người trưởng thành có 32 chiếc răng và những chiếc răng thừa này được gọi là "siêu răng". Thông thường, chỉ có 1 hoặc 2 chiếc răng thừa.

Theo giải thích của các bác sĩ, răng thừa là một bất thường phát triển hiếm gặp, có thể xuất hiện ở bất kỳ vị trí nào trên cung răng và ảnh hưởng đến răng bình thường. Việc có nhiều răng thừa cực kỳ hiếm gặp ở những người không mắc các bệnh lý hoặc tình trạng di truyền khác.

Một nhóm các nhà nghiên cứu từ Bệnh viện Nha khoa thuộc Đại học Liên bang Huesca ở Brazil đã công bố nghiên cứu trường hợp hiếm gặp này trên Tạp chí của Viện Hàn lâm Chỉnh nha và Phẫu thuật Miệng và Hàm mặt Mỹ.

Các nhà nghiên cứu đã sử dụng hình ảnh chính xác để xác định vị trí răng và thực hiện xét nghiệm di truyền để tìm hiểu xem có yếu tố di truyền nào liên quan đến căn bệnh này hay không. Xét nghiệm nhiễm sắc thể cho thấy bé gái người Brazil này có một đột biến gen hiếm gặp, nhưng mối liên hệ trực tiếp với những chiếc răng thừa vẫn cần được làm sáng tỏ.

Do một số răng thừa nằm sâu trong nướu hoặc khó phân biệt với răng bình thường, việc nhổ răng bừa bãi có thể gây tổn thương xương hàm. Vì vậy, nhóm nghiên cứu đã mời các chuyên gia về chỉnh nha, phẫu thuật miệng, nha chu và phục hình răng để thảo luận và xây dựng một kế hoạch điều trị lâu dài, hy vọng sẽ bảo vệ sức khỏe răng miệng và giữ cho răng của cô bé luôn trong tình trạng tốt trong tương lai.

VietBF@ sưu tập
VIETBF Diễn Đàn Hay Nhất Của Người Việt Nam

HOT NEWS 24h

HOT 3 Days

NEWS 3 Days

HOT 7 Days

NEWS 7 Days

HOME

Breaking News

VietOversea

World News

Business News

Car News

Computer News

Game News

USA News

Mobile News

Music News

Movies News

History

Thơ Ca

Sport News

Stranger Stories

Comedy Stories

Cooking Chat

Nice Pictures

Fashion

School

Travelling

Funny Videos

Canada Tin Hay

USA Tin Hay

10.000 Tin mới nhất

Tin nóng nhất 24h qua

Super News

Tin tức Hoa Kỳ


troopy
R10 Vô Địch Thiên Hạ
Release: 07-22-2025
Reputation: 227071


Profile:
Join Date: Oct 2014
Posts: 88,083
Last Update: None Rating: None
Attached Thumbnails
Click image for larger version

Name:	21.jpg
Views:	0
Size:	49.7 KB
ID:	2551975  
troopy is_online_now
Thanks: 75
Thanked 6,472 Times in 5,608 Posts
Mentioned: 5 Post(s)
Tagged: 0 Thread(s)
Quoted: 34 Post(s)
Rep Power: 110
troopy Reputation Uy Tín Level 10troopy Reputation Uy Tín Level 10troopy Reputation Uy Tín Level 10troopy Reputation Uy Tín Level 10troopy Reputation Uy Tín Level 10troopy Reputation Uy Tín Level 10
troopy Reputation Uy Tín Level 10troopy Reputation Uy Tín Level 10troopy Reputation Uy Tín Level 10troopy Reputation Uy Tín Level 10troopy Reputation Uy Tín Level 10troopy Reputation Uy Tín Level 10troopy Reputation Uy Tín Level 10troopy Reputation Uy Tín Level 10troopy Reputation Uy Tín Level 10troopy Reputation Uy Tín Level 10troopy Reputation Uy Tín Level 10troopy Reputation Uy Tín Level 10troopy Reputation Uy Tín Level 10troopy Reputation Uy Tín Level 10troopy Reputation Uy Tín Level 10troopy Reputation Uy Tín Level 10troopy Reputation Uy Tín Level 10troopy Reputation Uy Tín Level 10troopy Reputation Uy Tín Level 10troopy Reputation Uy Tín Level 10troopy Reputation Uy Tín Level 10troopy Reputation Uy Tín Level 10
Reply

User Tag List



 
Lên đầu Xuống dưới Lên 3000px Xuống 3000px

VietBF Homepage Autoscroll

VietBF Video Autoscroll Portal

USA News Autoscroll Portall

VietBF WORLD Autoscroll Portal

Home Classic

Super Widescreen

Tin nóng nhất 24h qua

Tin nóng nhất 3 ngày qua

Tin nóng nhất 7 ngày qua

Tin nóng nhất 30 ngày qua

Albums

Total Videos Online
Lên đầu Xuống dưới Lên 3000px Xuống 3000px

Tranh luận sôi nổi nhất 7 ngày qua

Tranh luận sôi nổi nhất 14 ngày qua

Tranh luận sôi nổi nhất 30 ngày qua

10.000 Tin mới nhất

Tin tức Hoa Kỳ

Tin tức Công nghệ
Lên đầu Xuống dưới Lên 3000px Xuống 3000px

Super News

School Cooking Traveling Portal

Enter Portal

Series Shows and Movies Online

Home Classic Master Page

Donation Ủng hộ $3 cho VietBF
Lên đầu Xuống dưới Lên 3000px Xuống 3000px
Diễn Đàn Người Việt Hải Ngoại. Tự do ngôn luận, an toàn và uy tín. Vì một tương lai tươi đẹp cho các thế hệ Việt Nam hãy ghé thăm chúng tôi, hãy tâm sự với chúng tôi mỗi ngày, mỗi giờ và mỗi giây phút có thể. VietBF.Com Xin cám ơn các bạn, chúc tất cả các bạn vui vẻ và gặp nhiều may mắn.
Welcome to Vietnamese American Community, Vietnamese European, Canadian, Australian Forum, Vietnamese Overseas Forum. Freedom of speech, safety and prestige. For a beautiful future for Vietnamese generations, please visit us, talk to us every day, every hour and every moment possible. VietBF.Com Thank you all and good luck.

Lên đầu Xuống dưới Lên 3000px Xuống 3000px

All times are GMT. The time now is 02:36.
VietBF - Vietnamese Best Forum Copyright ©2005 - 2025
User Alert System provided by Advanced User Tagging (Pro) - vBulletin Mods & Addons Copyright © 2025 DragonByte Technologies Ltd.
Log Out Unregistered

Page generated in 0.13435 seconds with 13 queries