HOME-Au
HOME-Au
24h
24h
USA
USA
GOP
GOP
Phim Bộ
Phim Bộ
Videoauto
VIDEO-Au
Home Classic
Home Classic
Donation
Donation
News Book
News Book
News 50
News 50
worldautoscroll
WORLD-Au
Breaking
Breaking
 

Go Back   VietBF > World Box| Thế Giới > World News|Tin Thế Giới > World News |Tin Thế Giới 2021-2023


 
 
Thread Tools
  #1  
Old  Default WHO: Một bệnh cũ trỗi dậy sau 20 năm, đang gây tử vong nhiều hơn COVID-19
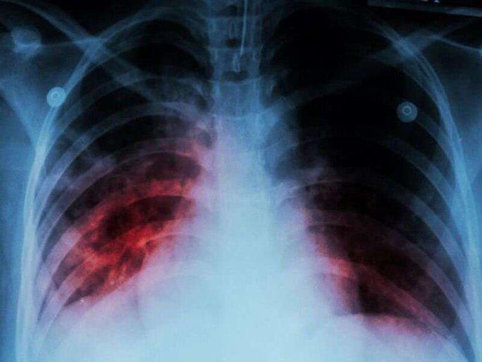
Theo báo cáo của Tổ chức Y tế thế giới (WHO), năm vừa qua là lần đầu tiên sau gần 2 thập kỷ số ca mắc bệnh lao, số ca lao đa kháng thuốc và tử vong do lao đều tăng.
Báo cáo được phát hành nhân Ngày Thế giới phòng chống lao (24-3) của WHO cho biết hàng năm vẫn có trung bình 1,6 triệu người chết do bệnh lao.

Con số này còn cao hơn số tử vong do một bệnh hô hấp đáng sợ khác hiện nay - COVID-19 - với báo cáo tử vong hiện đã về dưới 10.000 ca/tuần.

Đáng lo hơn, theo Tổng Giám đốc WHO Tedros Adhanom Ghebreyesus, đại dịch COVID-19 cùng với các cuộc khủng hoảng đang diễn ra như xung đột, mất an ninh lương thực, biến đổi khí hậu... đã đảo ngược tiến bộ đạt được trong nhiều năm trong cuộc chiến chống bệnh lao, khiến năm 2022 trở thành năm đầu tiên sau gần 2 thập kỷ căn bệnh này gia tăng cả số ca mắc, số ca lao đa kháng thuốc và số ca tử vong.

Báo cáo này cũng phù hợp với lời cảnh báo gần như song song của Trung tâm Phòng ngừa và kiểm soát bệnh tật Mỹ (CDC), cho thấy số ca mắc lao ở nước này đã tăng thêm 5% trong năm nay và là năm tăng thứ hai liên tiếp.

Theo CDC, sự gia tăng đáng lo ngại nhất đang xảy ra ở một số nhóm nguy cơ bao gồm trẻ 4 tuổi trở xuống.

Tiến sĩ Tedros nhấn mạnh: “Bệnh lao có thể phòng ngừa, điều trị và chữa khỏi, nhưng căn bệnh cổ xưa này đã hành hạ nhân loại hàng thiên niên kỷ vẫn tiếp tục gây ra đau khổ và tử vong cho hàng triệu người mỗi năm".

Hiện bệnh lao có thể phòng ngừa tốt bằng vắc-xin BCG (tiêm cho trẻ sơ sinh), tuy nhiên cũng như các vắc-xin khác, dịch COVID-19 đã làm đảo ngược tiến độ tiêm chủng nhiều năm ở nhiều quốc gia. Ngoài ra, vắc-xin này không có nhiều tác dụng nếu tiêm ở thanh thiếu niên và người lớn, những người đã bỏ lỡ liều vắc-xin đầu đời.

Do đó, Sáng kiến hàng đầu của Tổng Giám đốc WHO về bệnh lao trong giai đoạn 2023 đến 2027 (DG Flagship) kêu gọi hợp tác quốc tế, hợp tác đa ngành mạnh mẽ bao gồm thúc đẩy nghiên cứu vắc-xin mới và nỗ lực mở rộng phạm vi, năng lực điều trị, nhất là lao đa kháng thuốc.

Vào tháng 9-2023, Đại hội đồng Liên Hợp Quốc sẽ triệu tập ba Cuộc họp cấp cao tập trung vào bảo hiểm y tế toàn dân (UHC), chuẩn bị và ứng phó với đại dịch và chấm dứt bệnh lao. Có mối liên hệ rõ ràng giữa các chương trình nghị sự này và các nguyên thủ quốc gia sẽ được khuyến nghị cân nhắc đẩy nhanh hành động, bao gồm cả mục tiêu chấm dứt bệnh lao.
VIETBF Diễn Đàn Hay Nhất Của Người Việt Nam

HOT NEWS 24h

HOT 3 Days

NEWS 3 Days

HOT 7 Days

NEWS 7 Days

HOME

Breaking News

VietOversea

World News

Business News

Car News

Computer News

Game News

USA News

Mobile News

Music News

Movies News

History

Thơ Ca

Sport News

Stranger Stories

Comedy Stories

Cooking Chat

Nice Pictures

Fashion

School

Travelling

Funny Videos

Canada Tin Hay

USA Tin Hay

VietBF Homepage Autoscroll

VietBF Video Autoscroll Portal

Home Classic

Home Classic Master Page


sunshine1104
R10 Vô Địch Thiên Hạ
Release: 03-24-2023
Reputation: 25186


Profile:
Join Date: Feb 2015
Posts: 79,710
Last Update: None Rating: None
Attached Thumbnails
Click image for larger version

Name:	bc.jpg
Views:	0
Size:	35.7 KB
ID:	2195985  
sunshine1104_is_offline
Thanks: 4
Thanked 4,049 Times in 3,565 Posts
Mentioned: 4 Post(s)
Tagged: 0 Thread(s)
Quoted: 22 Post(s)
Rep Power: 91
sunshine1104 Reputation Uy Tín Level 7sunshine1104 Reputation Uy Tín Level 7
sunshine1104 Reputation Uy Tín Level 7sunshine1104 Reputation Uy Tín Level 7sunshine1104 Reputation Uy Tín Level 7sunshine1104 Reputation Uy Tín Level 7sunshine1104 Reputation Uy Tín Level 7sunshine1104 Reputation Uy Tín Level 7sunshine1104 Reputation Uy Tín Level 7sunshine1104 Reputation Uy Tín Level 7sunshine1104 Reputation Uy Tín Level 7sunshine1104 Reputation Uy Tín Level 7sunshine1104 Reputation Uy Tín Level 7sunshine1104 Reputation Uy Tín Level 7sunshine1104 Reputation Uy Tín Level 7sunshine1104 Reputation Uy Tín Level 7sunshine1104 Reputation Uy Tín Level 7sunshine1104 Reputation Uy Tín Level 7sunshine1104 Reputation Uy Tín Level 7sunshine1104 Reputation Uy Tín Level 7sunshine1104 Reputation Uy Tín Level 7
 
User Tag List



 
Lên đầu Xuống dưới Lên 3000px Xuống 3000px

iPad Videos Portal Autoscroll

VietBF Music Portal Autoscroll

iPad News Portal Autoscroll

VietBF Homepage Autoscroll

VietBF Video Autoscroll Portal

USA News Autoscroll Portall

VietBF WORLD Autoscroll Portal

Home Classic

Super Widescreen

Tin nóng nhất 24h qua

Tin nóng nhất 3 ngày qua

Tin nóng nhất 7 ngày qua

Tin nóng nhất 30 ngày qua

Albums

Total Videos Online
Lên đầu Xuống dưới Lên 3000px Xuống 3000px

Tranh luận sôi nổi nhất 7 ngày qua

Tranh luận sôi nổi nhất 14 ngày qua

Tranh luận sôi nổi nhất 30 ngày qua

10.000 Tin mới nhất

Tin tức Hoa Kỳ

Tin tức Công nghệ
Lên đầu Xuống dưới Lên 3000px Xuống 3000px

Super News

School Cooking Traveling Portal

Enter Portal

Series Shows and Movies Online

Home Classic Master Page

Donation Ủng hộ $3 cho VietBF
Lên đầu Xuống dưới Lên 3000px Xuống 3000px
Diễn Đàn Người Việt Hải Ngoại. Tự do ngôn luận, an toàn và uy tín. Vì một tương lai tươi đẹp cho các thế hệ Việt Nam hãy ghé thăm chúng tôi, hãy tâm sự với chúng tôi mỗi ngày, mỗi giờ và mỗi giây phút có thể. VietBF.Com Xin cám ơn các bạn, chúc tất cả các bạn vui vẻ và gặp nhiều may mắn.
Welcome to Vietnamese American Community, Vietnamese European, Canadian, Australian Forum, Vietnamese Overseas Forum. Freedom of speech, safety and prestige. For a beautiful future for Vietnamese generations, please visit us, talk to us every day, every hour and every moment possible. VietBF.Com Thank you all and good luck.

Lên đầu Xuống dưới Lên 3000px Xuống 3000px

All times are GMT. The time now is 04:03.
VietBF - Vietnamese Best Forum Copyright ©2005 - 2025
User Alert System provided by Advanced User Tagging (Pro) - vBulletin Mods & Addons Copyright © 2025 DragonByte Technologies Ltd.
Log Out Unregistered

Page generated in 0.10409 seconds with 15 queries