HOME-Au
HOME-Au
24h
24h
USA
USA
GOP
GOP
Phim Bộ
Phim Bộ
Videoauto
VIDEO-Au
Home Classic
Home Classic
Donation
Donation
News Book
News Book
News 50
News 50
worldautoscroll
WORLD-Au
Breaking
Breaking
 

Go Back   VietBF > Other News|Tin Khác > School | Kiến thức


Reply
 
Thread Tools
  #1  
Old  Default Phát hiện nhồi máu não từ dấu hiệu nhiều người bỏ qua
Đi khám vì có dấu hiệu đau đầu âm ỉ, bệnh nhân được chẩn đoán xác định một loạt bệnh lý nguy hiểm gồm nhồi máu não cấp vùng chẩm trái, tăng huyết áp, rối loạn chuyển hóa lipid máu.


Nam thanh niên 21 tuổi ở Phú Thọ đang khỏe mạnh bất ngờ liệt nửa người, đột quỵ do nhồi máu não trong đêmNam thanh niên 21 tuổi ở Phú Thọ đang khỏe mạnh bất ngờ liệt nửa người, đột quỵ do nhồi máu não trong đêm
GĐXH - Nam thanh niên bị đột quỵ nhập viện trong tình trạng nguy cấp: Liệt nửa người trái, tỉnh chậm, Glasgow 14 điểm, nói ú ớ.

Theo thông tin từ BVĐK Medlatec, vừa qua các bác sĩ nơi đây đã tiếp nhận và điều trị cho nam bệnh nhân B.H.K (71 tuổi, ở Hà Nội) đến khám do đau đầu âm ỉ vùng đỉnh. Kết quả cho thấy, bệnh nhân bị nhồi máu não.

Bệnh nhân đến viện trọng tình trạng tăng huyết áp với chỉ số đo được là 164/88 mmHg. Sau khi thăm khám lâm sàng, bệnh nhân được chỉ định thực hiện một số xét nghiệm, chẩn đoán hình ảnh chuyên sâu nhằm tìm ra chính xác nguyên nhân của hiện tượng bất thường.

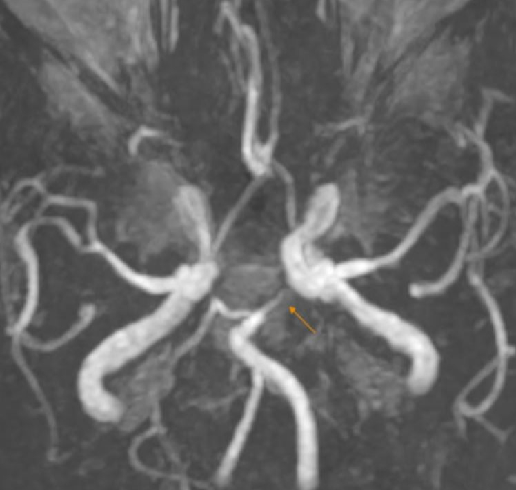
Kết quả xét nghiệm cho thấy chỉ số đường máu, mỡ máu tăng cao. Quá trình siêu âm mạch cảnh, bác sĩ phát hiện hình ảnh xơ vữa động mạch gây hẹp nhẹ - vừa lòng mạch. Chụp MRI sọ não thấy hình ảnh nhồi máu não cấp vùng chẩm trái, kèm thoái hóa myelin chất trắng dưới vỏ và quanh não thất bên hai bên.


Kết quả chụp MRI sọ não phát hiện nhồi máu não cấp vùng chẩm trái

Dựa vào các kết quả lâm sàng và cận lâm sàng đã thực hiện, bệnh nhân được chẩn đoán xác định một loạt bệnh lý nguy hiểm gồm nhồi máu não cấp vùng chẩm trái, tăng huyết áp, rối loạn chuyển hóa lipid máu.

Bệnh nhân nhanh chóng được nhập viện điều trị nội trú. Sau 7 ngày điều trị tích cực, ông K. được xuất viện, sức khỏe ổn định, không còn xuất hiện biểu hiện đau đầu.

Qua ca bệnh, ThS.BS Phạm Duy Hưng - Phó Khoa Nội khuyến cáo: "Tùy mức độ bệnh, nhồi máu não có thể biểu hiện qua các triệu chứng mờ nhạt, người bệnh khó nhận biết nếu không được thăm khám chuyên sâu. Vì vậy, người dân nên kiểm tra sức khỏe định kỳ, lưu tâm đến các dấu hiệu tưởng 'bệnh xoàng' như đau đầu, chóng mặt... thông thường để thăm khám, phát hiện sớm, điều trị kịp thời trong giai đoạn vàng".

Dấu hiệu bệnh nhồi máu não
Bác sĩ cho biết, triệu chứng của nhồi máu não đa dạng, không điển hình, tùy thuộc mức độ bệnh và vùng mạch máu não bị tắc nghẽn. Một số triệu chứng có thể kể đến gồm liệt mặt, nói khó, yếu/ liệt một tay/ nửa người, đau đầu, chóng mặt, nuốt khó, buồn nôn, nôn, co giật...

Bác sĩ nhấn mạnh về vai trò của việc nhận biết sớm dấu hiệu bệnh để kịp thời thăm khám, cấp cứu, gia tăng tỷ lệ điều trị thành công cho bệnh nhân nhồi máu não.

Nguyên nhân gây bệnh nhồi máu não

Bác sĩ chỉ ra các nguyên nhân gây bệnh thường gặp gồm:

- Xơ vữa mạch máu lớn (chiếm khoảng 50%).

- Nguyên nhân từ tim gây cục huyết khối như bệnh hở van tim, rung nhĩ, rối loạn nhịp tim, suy tim... tạo cục máu đông đi đến não (chiếm khoảng 20%).

- Tắc các mạch máu nhỏ trong não, thường gặp ở bệnh nhân tăng huyết áp, đái tháo đường (chiếm khoảng 25%).

- Bệnh động mạch không xơ vữa (tỷ lệ <5%).

- Bệnh về máu như đông máu, tế bào máu, bất thường bẩm sinh của mạch máu... (tỷ lệ <5%).

Bệnh nhồi máu não nguy hiểm thế nào?
Tổn thương não vĩnh viễn: Nếu máu không được phục hồi kịp thời, các tế bào não sẽ chết, gây ra tổn thương não vĩnh viễn. Điều này có thể dẫn đến tàn tật, mất chức năng các bộ phận của cơ thể, gây liệt vận động, méo miệng, nói ngọng, suy giảm nhận thức, mất trí nhớ, thị lực giảm, rối loạn đại tiểu tiện...

Tăng nguy cơ đột quỵ lần sau: Những người đã trải qua nhồi máu não và cơn đột quỵ dễ dàng tái phát đột quỵ, tiềm ẩn nhiều nguy hiểm cho sức khỏe.

Tử vong: Nhồi máu não có thể dẫn đến tình trạng sốc, hoặc suy đa tạng nếu có các biến chứng nghiêm trọng như phù não, nhiễm trùng, hoặc suy tim. Nguy cơ tử vong rất cao trong các trường hợp này.

VietBF@ sưu tập
VIETBF Diễn Đàn Hay Nhất Của Người Việt Nam

HOT NEWS 24h

HOT 3 Days

NEWS 3 Days

HOT 7 Days

NEWS 7 Days

HOME

Breaking News

VietOversea

World News

Business News

Car News

Computer News

Game News

USA News

Mobile News

Music News

Movies News

History

Thơ Ca

Sport News

Stranger Stories

Comedy Stories

Cooking Chat

Nice Pictures

Fashion

School

Travelling

Funny Videos

Canada Tin Hay

USA Tin Hay

VietBF Homepage Autoscroll

VietBF Video Autoscroll Portal

Home Classic

Home Classic Master Page


pizza
R11 Tuyệt Thế Thiên Hạ
Release: 04-05-2025
Reputation: 237112


Profile:
Join Date: Sep 2014
Posts: 105,347
Last Update: None Rating: None
Attached Thumbnails
Click image for larger version

Name:	151.jpeg
Views:	0
Size:	133.8 KB
ID:	2510271   Click image for larger version

Name:	152.jpg
Views:	0
Size:	80.1 KB
ID:	2510272  
pizza_is_offline
Thanks: 7
Thanked 8,085 Times in 7,195 Posts
Mentioned: 6 Post(s)
Tagged: 0 Thread(s)
Quoted: 41 Post(s)
Rep Power: 128
pizza Reputation Uy Tín Level 10pizza Reputation Uy Tín Level 10pizza Reputation Uy Tín Level 10pizza Reputation Uy Tín Level 10pizza Reputation Uy Tín Level 10pizza Reputation Uy Tín Level 10pizza Reputation Uy Tín Level 10
pizza Reputation Uy Tín Level 10pizza Reputation Uy Tín Level 10pizza Reputation Uy Tín Level 10pizza Reputation Uy Tín Level 10pizza Reputation Uy Tín Level 10pizza Reputation Uy Tín Level 10pizza Reputation Uy Tín Level 10pizza Reputation Uy Tín Level 10pizza Reputation Uy Tín Level 10pizza Reputation Uy Tín Level 10pizza Reputation Uy Tín Level 10pizza Reputation Uy Tín Level 10pizza Reputation Uy Tín Level 10pizza Reputation Uy Tín Level 10pizza Reputation Uy Tín Level 10pizza Reputation Uy Tín Level 10pizza Reputation Uy Tín Level 10pizza Reputation Uy Tín Level 10pizza Reputation Uy Tín Level 10pizza Reputation Uy Tín Level 10pizza Reputation Uy Tín Level 10pizza Reputation Uy Tín Level 10
Reply

User Tag List



 
Lên đầu Xuống dưới Lên 3000px Xuống 3000px

VietBF Homepage Autoscroll

VietBF Video Autoscroll Portal

USA News Autoscroll Portall

VietBF WORLD Autoscroll Portal

Home Classic

Super Widescreen

Tin nóng nhất 24h qua

Tin nóng nhất 3 ngày qua

Tin nóng nhất 7 ngày qua

Tin nóng nhất 30 ngày qua

Albums

Total Videos Online
Lên đầu Xuống dưới Lên 3000px Xuống 3000px

Tranh luận sôi nổi nhất 7 ngày qua

Tranh luận sôi nổi nhất 14 ngày qua

Tranh luận sôi nổi nhất 30 ngày qua

10.000 Tin mới nhất

Tin tức Hoa Kỳ

Tin tức Công nghệ
Lên đầu Xuống dưới Lên 3000px Xuống 3000px

Super News

School Cooking Traveling Portal

Enter Portal

Series Shows and Movies Online

Home Classic Master Page

Donation Ủng hộ $3 cho VietBF
Lên đầu Xuống dưới Lên 3000px Xuống 3000px
Diễn Đàn Người Việt Hải Ngoại. Tự do ngôn luận, an toàn và uy tín. Vì một tương lai tươi đẹp cho các thế hệ Việt Nam hãy ghé thăm chúng tôi, hãy tâm sự với chúng tôi mỗi ngày, mỗi giờ và mỗi giây phút có thể. VietBF.Com Xin cám ơn các bạn, chúc tất cả các bạn vui vẻ và gặp nhiều may mắn.
Welcome to Vietnamese American Community, Vietnamese European, Canadian, Australian Forum, Vietnamese Overseas Forum. Freedom of speech, safety and prestige. For a beautiful future for Vietnamese generations, please visit us, talk to us every day, every hour and every moment possible. VietBF.Com Thank you all and good luck.

Lên đầu Xuống dưới Lên 3000px Xuống 3000px

All times are GMT. The time now is 20:56.
VietBF - Vietnamese Best Forum Copyright ©2005 - 2025
User Alert System provided by Advanced User Tagging (Pro) - vBulletin Mods & Addons Copyright © 2025 DragonByte Technologies Ltd.
Log Out Unregistered

Page generated in 0.09650 seconds with 15 queries