HOME-Au
HOME-Au
24h
24h
USA
USA
GOP
GOP
Phim Bộ
Phim Bộ
Videoauto
VIDEO-Au
Home Classic
Home Classic
Donation
Donation
News Book
News Book
News 50
News 50
worldautoscroll
WORLD-Au
Breaking
Breaking
 

Go Back   VietBF > Others (Closed Forums) > Archive - Old News 2005-2011 (closed)

 
 
Thread Tools
Default Dạ dày chui lên lồng ngực bé gái
Old 11-03-2011   #1
jojolotus
R9 Tuyệt Đỉnh Tôn Sư
 
jojolotus's Avatar
 
Join Date: Dec 2008
Posts: 41,760
Thanks: 0
Thanked 0 Times in 0 Posts
Mentioned: 0 Post(s)
Tagged: 0 Thread(s)
Quoted: 0 Post(s)
Rep Power: 58
jojolotus Reputation Uy Tín Level 1jojolotus Reputation Uy Tín Level 1
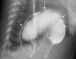
Thay vì nằm ở ổ bụng, dạ dày của bệnh nhi 7 tuổi (Bà Rịa - Vũng Tàu) lại chui lên lồng ngực. Đây là bệnh lý xoắn dạ dày ở thể rất hiếm gặp bởi thường chỉ xảy ra ở trẻ lớn hơn.



Dạ dày chui lên lồng ngực bệnh nhân. Ảnh: B.V

Bệnh nhi nhập viện Nhi Đồng 2 ngày 1/1 trong tình trạng ói và đau bụng nhiều. Trước đó bé đã được thăm khám ở bệnh viện tuyến dưới nhưng không tìm được nguyên nhân.

Tại bệnh viện, diễn tiến của bé ngày càng xấu, bụng trướng to, ói nhiều hơn. Chẩn đoán qua hình ảnh cho thấy có hiện tượng dạ dày dãn to, ứ đọng dịch. Kết quả chụp phim còn phát hiện, dạ dày của bé phần dưới bị xoắn lên cao và một phần chui lên lồng ngực.

Bệnh nhân lập tức được mổ nội soi để đưa dạ dày trở về ổ bụng và khâu cố định đề phòng tái xoắn lại. Các bác sĩ cũng khâu hẹp lỗ thoát vị nơi dạ dày chui lên.

Sáng nay, 2 ngày sau mổ, bệnh nhân đã hồi phục tốt, hết ói, bụng hết trương, ăn uống và đi tiêu tốt.

Theo các bác sĩ chuyên khoa ngoại Bệnh viện Nhi Đồng 2, xoắn dạ dày ở trẻ em khá hiếm gặp và trường hợp này còn hiếm hơn bởi những ca khác thường trên 10 tuổi.

Đến nay, y văn thế giới ghi nhận được khoảng 160 ca và biểu hiện thường gặp là đau bụng đột ngột, ói nhiều và liên tục. Một số trường hợp bé có thể suy hô hấp cấp kèm theo tím tay chân do đau. Bệnh có thể nguy hiểm đến tính mạng của bé nếu không được chẩn đoán và can thiệp kịp thời.


Phương Nghi
theo vne
jojolotus_is_offline  
Attached Thumbnails
Click image for larger version

Name:	xoan-ruot.jpg
Views:	7
Size:	13.1 KB
ID:	330471  
 
User Tag List



 
Lên đầu Xuống dưới Lên 3000px Xuống 3000px

iPad Videos Portal Autoscroll

VietBF Music Portal Autoscroll

iPad News Portal Autoscroll

VietBF Homepage Autoscroll

VietBF Video Autoscroll Portal

USA News Autoscroll Portall

VietBF WORLD Autoscroll Portal

Home Classic

Super Widescreen

Tin nóng nhất 24h qua

Tin nóng nhất 3 ngày qua

Tin nóng nhất 7 ngày qua

Tin nóng nhất 30 ngày qua

Albums

Total Videos Online
Lên đầu Xuống dưới Lên 3000px Xuống 3000px

Tranh luận sôi nổi nhất 7 ngày qua

Tranh luận sôi nổi nhất 14 ngày qua

Tranh luận sôi nổi nhất 30 ngày qua

10.000 Tin mới nhất

Tin tức Hoa Kỳ

Tin tức Công nghệ
Lên đầu Xuống dưới Lên 3000px Xuống 3000px

Super News

School Cooking Traveling Portal

Enter Portal

Series Shows and Movies Online

Home Classic Master Page

Donation Ủng hộ $3 cho VietBF
Lên đầu Xuống dưới Lên 3000px Xuống 3000px
Diễn Đàn Người Việt Hải Ngoại. Tự do ngôn luận, an toàn và uy tín. Vì một tương lai tươi đẹp cho các thế hệ Việt Nam hãy ghé thăm chúng tôi, hãy tâm sự với chúng tôi mỗi ngày, mỗi giờ và mỗi giây phút có thể. VietBF.Com Xin cám ơn các bạn, chúc tất cả các bạn vui vẻ và gặp nhiều may mắn.
Welcome to Vietnamese American Community, Vietnamese European, Canadian, Australian Forum, Vietnamese Overseas Forum. Freedom of speech, safety and prestige. For a beautiful future for Vietnamese generations, please visit us, talk to us every day, every hour and every moment possible. VietBF.Com Thank you all and good luck.

Lên đầu Xuống dưới Lên 3000px Xuống 3000px

All times are GMT. The time now is 05:59.
VietBF - Vietnamese Best Forum Copyright ©2005 - 2025
User Alert System provided by Advanced User Tagging (Pro) - vBulletin Mods & Addons Copyright © 2025 DragonByte Technologies Ltd.
Log Out Unregistered

Page generated in 0.09534 seconds with 15 queries