HOME-Au
HOME-Au
24h
24h
USA
USA
GOP
GOP
Phim Bộ
Phim Bộ
Videoauto
VIDEO-Au
Home Classic
Home Classic
Donation
Donation
News Book
News Book
News 50
News 50
worldautoscroll
WORLD-Au
Breaking
Breaking
 

Go Back   VietBF > Other News|Tin Khác > School | Kiến thức > School | Kiến thức 2006-2019


 
 
Thread Tools
  #1  
Old  Default Bí quyết tự nhiên giúp bạn làm sạch CAO RĂNG hiệu quả ngay tại nhà
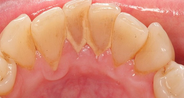
Khi nói đến việc làm sạch cao răng, bạn thường cho rằng chỉ có nha sĩ mới có thể làm được điều này?
Tuy nhiên, có rất nhiều công thức nhiên thông giúp bạn làm sạch cao răng hiệu quả ngay tại nhà.



Công thức 1:
Thành phần cần thiết:
30g vỏ quả óc chó
Nước
Chuẩn bị:
Đặt vỏ quả óc chó trong một cái chảo, cho thêm nước và nấu hỗn hợp trong 15 phút. Nhúng bàn chải đánh răng trong hỗn hợp kết quả và đánh răng cho năm phút. Lặp lại phương pháp này vào buổi sáng, buổi chiều và buổi tối.
Công thức 2:
Thành phần cần thiết:
4 muỗng canh hạt hướng dương
4 muỗng canh hoa chanh
1 lít nước
Chuẩn bị:
Cho nguyên liệu vào nồi, đổ nước và nấu hỗn hợp này trên lửa nhỏ trong nửa giờ. Đánh răng bằng hỗn hợp kết quả sau mỗi bữa ăn.
Công thức 3:
Giấm táo cũng có thể được sử dụng để tẩy rửa, nhưng chỉ một lần một tuần. Để dấm trong miệng của bạn trong một thời gian và sau đó rửa sạch răng của bạn. Triệt để súc miệng với nước, do đó bạn không làm hỏng men răng.

pizza@VietBF © sưu tầm
VIETBF Diễn Đàn Hay Nhất Của Người Việt Nam

HOT NEWS 24h

HOT 3 Days

NEWS 3 Days

HOT 7 Days

NEWS 7 Days

HOME

Breaking News

VietOversea

World News

Business News

Car News

Computer News

Game News

USA News

Mobile News

Music News

Movies News

History

Thơ Ca

Sport News

Stranger Stories

Comedy Stories

Cooking Chat

Nice Pictures

Fashion

School

Travelling

Funny Videos

Canada Tin Hay

USA Tin Hay

VietBF Homepage Autoscroll

VietBF Video Autoscroll Portal

Home Classic

Home Classic Master Page


pizza
R11 Tuyệt Thế Thiên Hạ
Release: 04-24-2015
Reputation: 237136


Profile:
Join Date: Sep 2014
Posts: 106,327
Last Update: None Rating: None
Attached Thumbnails
Click image for larger version

Name:	Three-Recipes-For-Home-Descaling.png
Views:	0
Size:	315.0 KB
ID:	760009  
pizza_is_offline
Thanks: 7
Thanked 8,097 Times in 7,207 Posts
Mentioned: 6 Post(s)
Tagged: 0 Thread(s)
Quoted: 41 Post(s)
Rep Power: 129
pizza Reputation Uy Tín Level 10pizza Reputation Uy Tín Level 10pizza Reputation Uy Tín Level 10pizza Reputation Uy Tín Level 10pizza Reputation Uy Tín Level 10pizza Reputation Uy Tín Level 10pizza Reputation Uy Tín Level 10
pizza Reputation Uy Tín Level 10pizza Reputation Uy Tín Level 10pizza Reputation Uy Tín Level 10pizza Reputation Uy Tín Level 10pizza Reputation Uy Tín Level 10pizza Reputation Uy Tín Level 10pizza Reputation Uy Tín Level 10pizza Reputation Uy Tín Level 10pizza Reputation Uy Tín Level 10pizza Reputation Uy Tín Level 10pizza Reputation Uy Tín Level 10pizza Reputation Uy Tín Level 10pizza Reputation Uy Tín Level 10pizza Reputation Uy Tín Level 10pizza Reputation Uy Tín Level 10pizza Reputation Uy Tín Level 10pizza Reputation Uy Tín Level 10pizza Reputation Uy Tín Level 10pizza Reputation Uy Tín Level 10pizza Reputation Uy Tín Level 10pizza Reputation Uy Tín Level 10pizza Reputation Uy Tín Level 10
Old 04-25-2015   #2
Phuoc63
R5 Cao Thủ Thượng Thừa
 
Join Date: May 2008
Posts: 1,896
Thanks: 1,486
Thanked 235 Times in 167 Posts
Mentioned: 0 Post(s)
Tagged: 0 Thread(s)
Quoted: 53 Post(s)
Rep Power: 19
Phuoc63 Reputation Uy Tín Level 4Phuoc63 Reputation Uy Tín Level 4Phuoc63 Reputation Uy Tín Level 4Phuoc63 Reputation Uy Tín Level 4Phuoc63 Reputation Uy Tín Level 4Phuoc63 Reputation Uy Tín Level 4Phuoc63 Reputation Uy Tín Level 4Phuoc63 Reputation Uy Tín Level 4Phuoc63 Reputation Uy Tín Level 4Phuoc63 Reputation Uy Tín Level 4Phuoc63 Reputation Uy Tín Level 4Phuoc63 Reputation Uy Tín Level 4Phuoc63 Reputation Uy Tín Level 4Phuoc63 Reputation Uy Tín Level 4
Default

vỏ quả óc chó ? là quả gì? chưa nhìn thấy
Phuoc63_is_offline  
 
User Tag List



 
Lên đầu Xuống dưới Lên 3000px Xuống 3000px

iPad Videos Portal Autoscroll

VietBF Music Portal Autoscroll

iPad News Portal Autoscroll

VietBF Homepage Autoscroll

VietBF Video Autoscroll Portal

USA News Autoscroll Portall

VietBF WORLD Autoscroll Portal

Home Classic

Super Widescreen

iPad World Portal Autoscroll

iPad USA Portal Autoscroll

Phim Bộ Online

Tin nóng nhất 24h qua

Tin nóng nhất 3 ngày qua

Tin nóng nhất 7 ngày qua

Tin nóng nhất 30 ngày qua

Albums

Total Videos Online
Lên đầu Xuống dưới Lên 3000px Xuống 3000px

Tranh luận sôi nổi nhất 7 ngày qua

Tranh luận sôi nổi nhất 14 ngày qua

Tranh luận sôi nổi nhất 30 ngày qua

10.000 Tin mới nhất

Tin tức Hoa Kỳ

Tin tức Công nghệ
Lên đầu Xuống dưới Lên 3000px Xuống 3000px

Super News

School Cooking Traveling Portal

Enter Portal

Series Shows and Movies Online

Home Classic Master Page

Donation Ủng hộ $3 cho VietBF
Lên đầu Xuống dưới Lên 3000px Xuống 3000px
Diễn Đàn Người Việt Hải Ngoại. Tự do ngôn luận, an toàn và uy tín. Vì một tương lai tươi đẹp cho các thế hệ Việt Nam hãy ghé thăm chúng tôi, hãy tâm sự với chúng tôi mỗi ngày, mỗi giờ và mỗi giây phút có thể. VietBF.Com Xin cám ơn các bạn, chúc tất cả các bạn vui vẻ và gặp nhiều may mắn.
Welcome to Vietnamese American Community, Vietnamese European, Canadian, Australian Forum, Vietnamese Overseas Forum. Freedom of speech, safety and prestige. For a beautiful future for Vietnamese generations, please visit us, talk to us every day, every hour and every moment possible. VietBF.Com Thank you all and good luck.

Lên đầu Xuống dưới Lên 3000px Xuống 3000px

All times are GMT. The time now is 07:52.
VietBF - Vietnamese Best Forum Copyright ©2005 - 2025
User Alert System provided by Advanced User Tagging (Pro) - vBulletin Mods & Addons Copyright © 2025 DragonByte Technologies Ltd.
Log Out Unregistered

Page generated in 0.12372 seconds with 13 queries