HOME-Au
HOME-Au
24h
24h
USA
USA
GOP
GOP
Phim Bộ
Phim Bộ
Videoauto
VIDEO-Au
Home Classic
Home Classic
Donation
Donation
News Book
News Book
News 50
News 50
worldautoscroll
WORLD-Au
Breaking
Breaking
 

Go Back   VietBF > World Box| Thế Giới > Vietnam News | Tin Việt Nam > 2005-2023 Vietnam News


 
 
Thread Tools
  #1  
Old  Default Căn bệnh quái quỷ khiến người phụ nữ baymất mũi
Một phụ nữ mắc phải một rối loạn tự miễn hiếm gặp đã phá hủy sụn và xương trong mũi, khiến bệnh nhân bị xẹp mũi và lún xuống mặt.


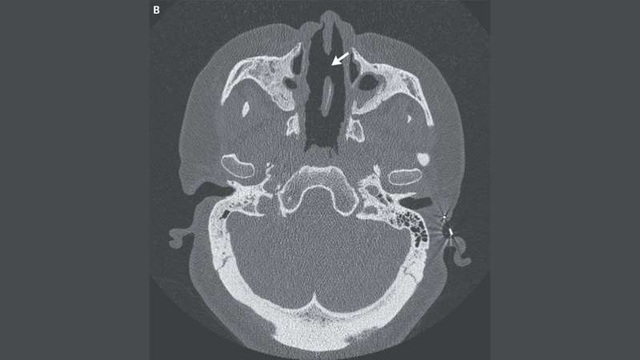
Ảnh chụp CT sọ mặt của người phụ nữ. Mũi tên chỉ vào một lỗ hổng lớn trên vách mũi.

Theo báo cáo đăng ngày 5/4 trên tờ The New England Journal of Medicine (NEJM), khi người phụ nữ 34 tuổi đến khám tại một cơ sở phẫu thuật thẩm mỹ mặt, mũi của cô đã bị xẹp hoàn toàn, khiến đầu mũi bị tụt vào trong. Dị dạng đã kéo dài 7 năm.

Người phụ nữ có một loạt các triệu chứng liên quan, bao gồm viêm dai dẳng trong khoang mũi và niêm mạc xoang, một tình trạng được gọi là "viêm mũi xoang mãn tính" và cô cũng có nhiều polyp trong mũi. Chất nhầy loãng chảy ra từ mũi và chất nhầy khô có máu đóng vảy bên trong đường mũi.

Khám sức khỏe cho thấy xương mũi - nằm ở hai bên sống mũi - của người phụ nữ bị "mất gần như toàn bộ", và sụn vách ngăn mũi bị thoái hóa nghiêm trọng. Ngoài ra, chụp cắt lớp vi tính (CT) cho thấy một lỗ hổng lớn đã hình thành trong vách ngăn mũi.

Để tìm hiểu nguyên nhân gây ra tình trạng viêm lan rộng, các bác sĩ đã tiến hành xét nghiệm để xác định các kháng thể lưu hành trong máu. Theo Phòng thí nghiệm Bệnh viện Mayo, họ đã tìm thấy mức độ cao của kháng thể kháng proteinase 3 (PR3), một protein được tìm thấy trong một số tế bào bạch cầu. Kháng thể kháng PR3 là một loại tự kháng thể, có nghĩa là chúng tấn công các tế bào khỏe mạnh, và chúng có thể gây viêm trong mạch máu và gây tổn thương các cơ quan, thường là thận, phổi và đường hô hấp.

Dựa trên sự có mặt của kháng thể PR3 trong người phụ nữ, bác sĩ chẩn đoán cô bị "u hạt kèm viêm đa mạch", hay GPA. Theo Bệnh viện Mayo, gần như tất cả những người có GPA đều mang các tự kháng thể này.

Theo Tổ chức Quốc gia về Rối loạn Hiếm gặp (NORD) của Mỹ, "vai trò chính xác của các tự kháng thể này trong sự phát triển của u hạt kèm theo viêm đa mạch vẫn chưa được hiểu đầy đủ". Một khả năng là những kháng thể này có thể bám vào các tế bào bạch cầu mang PR3 và bằng cách nào đó khiến chúng hoạt động không đúng và làm hư hại các mô khỏe mạnh.

"Các ước tính về tần suất u hạt đi kèm viêm đa mạch rất khác nhau tùy thuộc vào từng nhóm quần thể được nghiên cứu", và thông thường, rối loạn này không được các bác sĩ phát hiện. Do đó, rất khó để ước tính có bao nhiêu người bị bệnh mỗi năm, nhưng nó được coi là rất hiếm.

Theo NORD, GPA có thể diễn biến chậm trong nhiều tháng hoặc nhanh chóng, trong vài ngày. Các triệu chứng rất khác nhau ở mỗi người nhưng có thể ảnh hưởng đến các cơ quan trên toàn cơ thể. Ví dụ, những trường hợp nghiêm trọng có thể dẫn đến mất thính giác, giảm thị lực, suy thận hoặc tổn thương dây thần kinh sọ, nếu không được điều trị. Rối loạn tự miễn cũng có thể gây chảy nước mũi dai dẳng, đóng vảy mũi, viêm xoang và thủng - lỗ - ở vách ngăn mũi, như đã thấy ở trường hợp này.

Để điều trị GPA ở người phụ nữ, các bác sĩ đã kê đơn rituximab, một thuốc điều trị bằng kháng thể nhắm vào các tế bào miễn dịch được gọi là tế bào B để lọc bỏ phản ứng miễn dịch đang bị trục trặc của cơ thể. Bệnh nhân cũng được dùng cyclophosphamide liều thấp, một chất ức chế miễn dịch khác, và prednisone, một loại corticoid cũng làm giảm hoạt động miễn dịch.

"Vào lần tái khám 6 tháng sau, tình trạng chảy máu mũi và đóng vảy máu của bệnh nhân đã được giải quyết", theo báo cáo của NEJM. "Dị dạng mũi không thay đổi." Bệnh nhân tiếp tục được dùng rituximab, nhưng báo cáo không cho biết bệnh nhân có phẫu thuật chiếc mũi bị xẹp hay không.

VietBF@sưu tập
VIETBF Diễn Đàn Hay Nhất Của Người Việt Nam

HOT NEWS 24h

HOT 3 Days

NEWS 3 Days

HOT 7 Days

NEWS 7 Days

HOME

Breaking News

VietOversea

World News

Business News

Car News

Computer News

Game News

USA News

Mobile News

Music News

Movies News

History

Thơ Ca

Sport News

Stranger Stories

Comedy Stories

Cooking Chat

Nice Pictures

Fashion

School

Travelling

Funny Videos

Canada Tin Hay

USA Tin Hay

VietBF Homepage Autoscroll

VietBF Video Autoscroll Portal

Home Classic

Home Classic Master Page


troopy
R10 Vô Địch Thiên Hạ
Release: 04-09-2021
Reputation: 227447


Profile:
Join Date: Oct 2014
Posts: 89,413
Last Update: None Rating: None
Attached Thumbnails
Click image for larger version

Name:	47.jpg
Views:	0
Size:	40.4 KB
ID:	1771130  
troopy is_online_now
Thanks: 75
Thanked 6,660 Times in 5,784 Posts
Mentioned: 5 Post(s)
Tagged: 0 Thread(s)
Quoted: 34 Post(s)
Rep Power: 112
troopy Reputation Uy Tín Level 10troopy Reputation Uy Tín Level 10troopy Reputation Uy Tín Level 10troopy Reputation Uy Tín Level 10troopy Reputation Uy Tín Level 10troopy Reputation Uy Tín Level 10
troopy Reputation Uy Tín Level 10troopy Reputation Uy Tín Level 10troopy Reputation Uy Tín Level 10troopy Reputation Uy Tín Level 10troopy Reputation Uy Tín Level 10troopy Reputation Uy Tín Level 10troopy Reputation Uy Tín Level 10troopy Reputation Uy Tín Level 10troopy Reputation Uy Tín Level 10troopy Reputation Uy Tín Level 10troopy Reputation Uy Tín Level 10troopy Reputation Uy Tín Level 10troopy Reputation Uy Tín Level 10troopy Reputation Uy Tín Level 10troopy Reputation Uy Tín Level 10troopy Reputation Uy Tín Level 10troopy Reputation Uy Tín Level 10troopy Reputation Uy Tín Level 10troopy Reputation Uy Tín Level 10troopy Reputation Uy Tín Level 10troopy Reputation Uy Tín Level 10troopy Reputation Uy Tín Level 10
 
User Tag List



 
Lên đầu Xuống dưới Lên 3000px Xuống 3000px

iPad Videos Portal Autoscroll

VietBF Music Portal Autoscroll

iPad News Portal Autoscroll

VietBF Homepage Autoscroll

VietBF Video Autoscroll Portal

USA News Autoscroll Portall

VietBF WORLD Autoscroll Portal

Home Classic

Super Widescreen

iPad World Portal Autoscroll

iPad USA Portal Autoscroll

Phim Bộ Online

Tin nóng nhất 24h qua

Tin nóng nhất 3 ngày qua

Tin nóng nhất 7 ngày qua

Tin nóng nhất 30 ngày qua

Albums

Total Videos Online
Lên đầu Xuống dưới Lên 3000px Xuống 3000px

Tranh luận sôi nổi nhất 7 ngày qua

Tranh luận sôi nổi nhất 14 ngày qua

Tranh luận sôi nổi nhất 30 ngày qua

10.000 Tin mới nhất

Tin tức Hoa Kỳ

Tin tức Công nghệ
Lên đầu Xuống dưới Lên 3000px Xuống 3000px

Super News

School Cooking Traveling Portal

Enter Portal

Series Shows and Movies Online

Home Classic Master Page

Donation Ủng hộ $3 cho VietBF
Lên đầu Xuống dưới Lên 3000px Xuống 3000px
Diễn Đàn Người Việt Hải Ngoại. Tự do ngôn luận, an toàn và uy tín. Vì một tương lai tươi đẹp cho các thế hệ Việt Nam hãy ghé thăm chúng tôi, hãy tâm sự với chúng tôi mỗi ngày, mỗi giờ và mỗi giây phút có thể. VietBF.Com Xin cám ơn các bạn, chúc tất cả các bạn vui vẻ và gặp nhiều may mắn.
Welcome to Vietnamese American Community, Vietnamese European, Canadian, Australian Forum, Vietnamese Overseas Forum. Freedom of speech, safety and prestige. For a beautiful future for Vietnamese generations, please visit us, talk to us every day, every hour and every moment possible. VietBF.Com Thank you all and good luck.

Lên đầu Xuống dưới Lên 3000px Xuống 3000px

All times are GMT. The time now is 00:46.
VietBF - Vietnamese Best Forum Copyright ©2005 - 2025
User Alert System provided by Advanced User Tagging (Pro) - vBulletin Mods & Addons Copyright © 2025 DragonByte Technologies Ltd.
Log Out Unregistered

Page generated in 0.13648 seconds with 13 queries