HOME-Au
HOME-Au
24h
24h
USA
USA
GOP
GOP
Phim Bộ
Phim Bộ
Videoauto
VIDEO-Au
Home Classic
Home Classic
Donation
Donation
News Book
News Book
News 50
News 50
worldautoscroll
WORLD-Au
Breaking
Breaking
 

Go Back   VietBF > World Box| Thế Giới > World News|Tin Thế Giới > World News |Tin Thế Giới 2021-2023


 
 
Thread Tools
  #1  
Old  Default Canada cảnh báo bệnh thần kinh bí ẩn gia tăng ở người trẻ tuổi
Mới đây, các nhân viên y tế ở Canada đã lên tiếng cảnh báo về căn bệnh thần kinh bí ẩn đang ảnh hưởng đến nhiều thanh niên ở tỉnh New Brunswick của nước này.


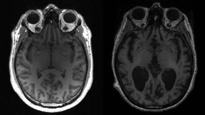
Ảnh chụp não những thanh niên được tin mắc bệnh thần kinh lạ ở New Brunswick, Canada. Ảnh: Alamy

Theo trang The Guardian (Anh), một nhân viên y tế giấu tên tại mạng lưới y tế Vitalité ở tỉnh New Brunswick cho biết số hàng chục thanh niên không có bệnh nền đang phát triển những triệu chứng của một căn bệnh thần kinh kỳ lạ, chưa từng được biết đến trước đây. Các triệu chứng của bệnh bao gồm sụt cân nhanh chóng, mất ngủ, ảo giác, khó suy nghĩ và hạn chế vận động.

Mặc dù thống kê chính thức số ca mắc bệnh kể từ khi bệnh lạ được ghi nhận lần đầu tiên hồi đầu mùa xuân năm ngoái chưa vượt quá con số 48 người, nhưng theo nhiều nguồn tin, có tới 150 người đã mắc căn bệnh này. Vẫn còn nhiều trường hợp người trẻ tuổi đang được kiểm tra, đánh giá, trong khi một số đã tử vong.

“Tôi thực sự lo ngại về những trường hợp này vì bệnh dường như phát triển quá nhanh. Tôi lo lắng cho họ và chúng tôi nợ họ một số lời giải thích”, nhân viên y tế giấu tên cho biết.

Trong số ít nhất 9 trường hợp mắc bệnh, có 2 người từng chăm sóc và tiếp xúc gần với bệnh nhân đã phát triển các triệu chứng tương tự. Điều này cho thấy bệnh không chỉ dễ lây lan giữa người với người mà còn có khả năng liên quan đến các yếu tố môi trường.

Một trường hợp nghi mắc bệnh thần kinh lạ liên quan đến một người đàn ông có các triệu chứng mất trí và mất điều hòa vận động. Vợ anh, người chăm sóc anh, đột nhiên cũng bị mất ngủ và suy nhược cơ, mất trí nhớ và ảo giác. Hiện tình trạng của cô còn tồi tệ hơn của người chồng.

Ca bệnh khác là một người phụ nữ khoảng 30 tuổi được mô tả là không nói được, phải ăn uống qua ống thông và chảy nhiều dãi. Người chăm sóc cô, một sinh viên điều dưỡng khoảng 20 tuổi, gần đây cũng bắt đầu xuất hiện các triệu chứng suy giảm thần kinh.

Một bà mẹ trẻ cũng nhanh chóng sụt gần 60 cân, mắc chứng mất ngủ và bắt đầu bị ảo giác. Hình ảnh chụp não của cô cho thấy các dấu hiệu đang phát triển bệnh teo não.

Theo nguồn tin, chính quyền tỉnh New Brunswick giữ kín về các ca bệnh nói trên. “Đây không chỉ là căn bệnh xuất hiện ở New Brunswick. Chúng tôi có lẽ là khu vực đầu tiên cảnh báo điều này vì chúng tôi sinh sống chủ yếu ở nông thôn, nơi người dân phải tiếp xúc với các yếu tố môi trường nhiều hơn ”.

Hồi năm ngoái, một bản hồ sơ y tế bị rò rỉ đã tiết lộ những ca bệnh bí ẩn đầu tiên.Song nhà chức trách cho rằng chùm ca bệnh chỉ đơn thuần là kết quả “chẩn đoán nhầm”. Hồi tháng 10/2021 giới chức tuyên bố 8 trường hợp tử vong do “một căn bệnh đã biết và các ca bệnh không liên quan đến nhau”. Một báo cáo dịch tễ học công bố cùng thời điểm cũng đã loại trừ nguyên nhân gây bệnh do tiếp xúc với thực phẩm, hành vi hoặc môi trường. Tuy nhiên, một chuyên gia y tế giấu tên khác cáo buộc nhà chức trách đang cố tình che giấu sự thật.


Ảnh: AFP

Các chuyên gia thân cận với chùm ca bệnh bí ẩn cảnh báo điều đáng lo ngại là độ tuổi của bệnh nhân vì trước đây, các bệnh liên quan đến thần kinh rất hiếm gặp ở người trẻ tuổi. Một nhà khoa học về các bệnh thoái hóa thần kinh tại Canada tiết lộ: “Thực tế là chúng tôi ghi nhận nhiều bệnh nhân trẻ hơn. Điều này hoàn toàn không giống với tuyên bố rằng các trường hợp này mắc bệnh không liên quan đến nhau hay do chẩn đoán nhầm mà chính quyền đã tuyên bố”.

Vào tháng 10, tỉnh cũng cho biết một báo cáo dịch tễ học cho thấy không có bằng chứng nào về việc tiếp xúc với thực phẩm, hành vi hoặc môi trường đã biết có thể giải thích cho căn bệnh này.

Cha của Tim Beatty, ông Laurie, đã qua đời vào năm 2019 sau khi xuất hiện các triệu chứng bệnh lạ vào dịp Giáng sinh. Beatty cho biết gia đình anh đã “vô cùng sốc” khi anh biết cha mình là một trong 8 người đã bị "chẩn đoán nhầm và tử vong vì bệnh Alzheimer".

Ông Beatty và những gia đình khác có người thân nhân chết vì căn bệnh bí ẩn nghi ngờ việc chính quyền từ chối thừa nhận sự xuất hiện của bệnh lạ trong khu vực. Beatty đang tìm cách xét nghiệm hài cốt của cha để tìm các chất độc thần kinh, kể cả β-Methylamino-L-alanine (BMAA), chất bị nghi ngờ là thủ phạm gây bệnh. Nền kinh tế địa phương chủ yếu dựa vào đánh bắt tôm hùm và hóa chất trên có thể được tìm thấy với nồng độ cao trong loại hải sản này, theo một nghiên cứu gần đây.
VIETBF Diễn Đàn Hay Nhất Của Người Việt Nam

HOT NEWS 24h

HOT 3 Days

NEWS 3 Days

HOT 7 Days

NEWS 7 Days

HOME

Breaking News

VietOversea

World News

Business News

Car News

Computer News

Game News

USA News

Mobile News

Music News

Movies News

History

Thơ Ca

Sport News

Stranger Stories

Comedy Stories

Cooking Chat

Nice Pictures

Fashion

School

Travelling

Funny Videos

Canada Tin Hay

USA Tin Hay

VietBF Homepage Autoscroll

VietBF Video Autoscroll Portal

Home Classic

Home Classic Master Page


TinNhanh247
R9 Tuyệt Đỉnh Tôn Sư
Release: 01-03-2022
Reputation: 14045


Profile:
Join Date: Oct 2014
Posts: 38,697
Last Update: None Rating: None
Attached Thumbnails
Click image for larger version

Name:	128.1.jpg
Views:	0
Size:	64.6 KB
ID:	1967835   Click image for larger version

Name:	128.2.jpg
Views:	0
Size:	31.5 KB
ID:	1967836  
TinNhanh247_is_offline
Thanks: 16
Thanked 1,792 Times in 1,630 Posts
Mentioned: 3 Post(s)
Tagged: 0 Thread(s)
Quoted: 11 Post(s)
Rep Power: 50
TinNhanh247 Reputation Uy Tín Level 6
TinNhanh247 Reputation Uy Tín Level 6TinNhanh247 Reputation Uy Tín Level 6TinNhanh247 Reputation Uy Tín Level 6TinNhanh247 Reputation Uy Tín Level 6TinNhanh247 Reputation Uy Tín Level 6TinNhanh247 Reputation Uy Tín Level 6TinNhanh247 Reputation Uy Tín Level 6TinNhanh247 Reputation Uy Tín Level 6TinNhanh247 Reputation Uy Tín Level 6TinNhanh247 Reputation Uy Tín Level 6TinNhanh247 Reputation Uy Tín Level 6TinNhanh247 Reputation Uy Tín Level 6TinNhanh247 Reputation Uy Tín Level 6TinNhanh247 Reputation Uy Tín Level 6TinNhanh247 Reputation Uy Tín Level 6TinNhanh247 Reputation Uy Tín Level 6TinNhanh247 Reputation Uy Tín Level 6
 
User Tag List



 
Lên đầu Xuống dưới Lên 3000px Xuống 3000px

iPad Videos Portal Autoscroll

VietBF Music Portal Autoscroll

iPad News Portal Autoscroll

VietBF Homepage Autoscroll

VietBF Video Autoscroll Portal

USA News Autoscroll Portall

VietBF WORLD Autoscroll Portal

Home Classic

Super Widescreen

iPad World Portal Autoscroll

iPad USA Portal Autoscroll

Phim Bộ Online

Tin nóng nhất 24h qua

Tin nóng nhất 3 ngày qua

Tin nóng nhất 7 ngày qua

Tin nóng nhất 30 ngày qua

Albums

Total Videos Online
Lên đầu Xuống dưới Lên 3000px Xuống 3000px

Tranh luận sôi nổi nhất 7 ngày qua

Tranh luận sôi nổi nhất 14 ngày qua

Tranh luận sôi nổi nhất 30 ngày qua

10.000 Tin mới nhất

Tin tức Hoa Kỳ

Tin tức Công nghệ
Lên đầu Xuống dưới Lên 3000px Xuống 3000px

Super News

School Cooking Traveling Portal

Enter Portal

Series Shows and Movies Online

Home Classic Master Page

Donation Ủng hộ $3 cho VietBF
Lên đầu Xuống dưới Lên 3000px Xuống 3000px
Diễn Đàn Người Việt Hải Ngoại. Tự do ngôn luận, an toàn và uy tín. Vì một tương lai tươi đẹp cho các thế hệ Việt Nam hãy ghé thăm chúng tôi, hãy tâm sự với chúng tôi mỗi ngày, mỗi giờ và mỗi giây phút có thể. VietBF.Com Xin cám ơn các bạn, chúc tất cả các bạn vui vẻ và gặp nhiều may mắn.
Welcome to Vietnamese American Community, Vietnamese European, Canadian, Australian Forum, Vietnamese Overseas Forum. Freedom of speech, safety and prestige. For a beautiful future for Vietnamese generations, please visit us, talk to us every day, every hour and every moment possible. VietBF.Com Thank you all and good luck.

Lên đầu Xuống dưới Lên 3000px Xuống 3000px

All times are GMT. The time now is 15:06.
VietBF - Vietnamese Best Forum Copyright ©2005 - 2025
User Alert System provided by Advanced User Tagging (Pro) - vBulletin Mods & Addons Copyright © 2025 DragonByte Technologies Ltd.
Log Out Unregistered

Page generated in 0.10953 seconds with 15 queries