HOME-Au
HOME-Au
24h
24h
USA
USA
GOP
GOP
Phim Bộ
Phim Bộ
Videoauto
VIDEO-Au
Home Classic
Home Classic
Donation
Donation
News Book
News Book
News 50
News 50
worldautoscroll
WORLD-Au
Breaking
Breaking
 

Go Back   VietBF > World Box| Thế Giới > Vietnam News | Tin Việt Nam > 2005-2023 Vietnam News


 
 
Thread Tools
  #1  
Old  Default Bệnh nhân sống chung với sỏi thận 5 năm, lúc mổ ra to như củ gừng
Ngày 19 tháng 10, các bác sĩ của bệnh viện Đại học Y TP. HCM đã có một ca mổ đáng nhớ. Bệnh nhân bị sỏi thận 5-6 năm nhưng quyết "sống chung với lũ". Đến khi mổ thì ai cũng phải tá hỏa vì viên sỏi to như củ gừng.



Hôm nay (19.10), thạc sĩ - bác sĩ Nguyễn Hoàng Đức, Trưởng khoa Tiết niệu, Bệnh viện ĐH Y dược TP.HCM, cho biết sỏi thận của bà S. là trường hợp lớn nhất từ trước đến nay từng điều trị tại bệnh viện.

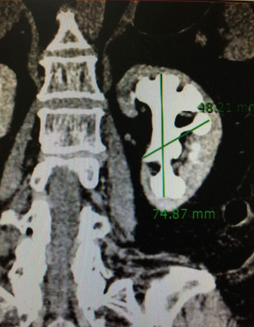
“Người bệnh bị sỏi san hô, kích thước 74 x 48 mm, to như củ gừng, chiếm hết toàn bộ thận và các đài thận trái. Đây là trường hợp sỏi thận phức tạp, hiếm gặp. Tên gọi sỏi san hô là do viên sỏi lấp đầy toàn bộ các nhánh đài thận, nhìn như một tảng san hô dưới biển”, bác sĩ Đức nói.

Bệnh nhân S. (59 tuổi, ngụ tại TP.HCM) nhập viện Bệnh viện ĐH Y dược TP.HCM vì đau hông trái kéo dài nhiều năm.

Trước đó, người bệnh đã biết mình có viên sỏi rất lớn ở thận trái từ 5-6 năm nay nhưng không dám điều trị vì khi đi khám ở nhiều bệnh viện đều được chỉ định mổ hở lấy sỏi, thậm chí có thể phải cắt bỏ bên thận có sỏi.

Theo bác sĩ Đức, với tình trạng của bệnh nhân, nếu không điều trị sỏi sẽ tàn phá làm mất chức năng thận. Không những thế, sỏi còn có thể gây ra những đợt nhiễm trùng thận tái đi tái lại, đôi khi nhiễm trùng nặng có thể gây nguy hiểm tính mạng.
Vì vậy, bệnh nhân đã được phẫu thuật nội soi để lấy sỏi khổng lồ.


Hình chụp sỏi san hô, kích thước 74 x 48mm, chiếm hết toàn bộ thận và các đài thận trái của bệnh nhân

Các bác sĩ đã rạch một vết mổ nhỏ khoảng 10 mm vùng hông lưng của bệnh nhân, tạo một đường hầm nhỏ xuyên từ ngoài da vào trong thận, dùng tia laser để tán nhỏ viên sỏi thận khổng lồ và gắp vụn sỏi ra ngoài.

Ca phẫu thuật không cần truyền máu, người bệnh xuất viện khỏe mạnh.
Sau 4 lần nội soi gắp sỏi, người bệnh đã sạch gần 98% sỏi, chỉ còn một mảnh vụn sỏi 5 mm sót lại. Vụn sỏi này sẽ tiếp tục được tán sỏi ngoài cơ thể cho sạch hết, không cần phẫu thuật.

“Phương pháp mổ nội soi này giúp bệnh nhân ít sang chấn, ít mất máu, ít ảnh hưởng đến chức năng thận, ít đau và hồi phục nhanh sau mổ. Trước đây, khi phẫu thuật nội soi niệu chưa phát triển, những trường hợp sỏi san hô như thế này đều phải mổ hở lấy sỏi, thậm chí phải cắt bỏ thận. Phẫu thuật mổ hở lấy sỏi trong những trường hợp này cũng có nhiều tai biến như chảy máu sau mổ, xì rò nước tiểu, tổn thương nhu mô thận gây ảnh hưởng chức năng thận...”, bác sĩ Đức đánh giá.

Theo thống kê, 10% trong chúng ta sẽ bị mắc sỏi thận trong suốt cuộc đời, đặc biệt là nam giới ở độ tuổi từ 30 và 40. Vì vậy, điều quan trọng là học cách ngăn ngừa và điều trị tình trạng này bằng phương pháp tự nhiên.

Theo bác sĩ Đức, Việt Nam nằm trong vùng dịch tễ sỏi thận của châu Á. Nguyên nhân có thể do khí hậu nhiệt đới nên khả năng mất nước trong cơ thể cao, làm tăng sự cô đặc nước tiểu, các tinh thể can-xi dễ lắng đọng trong nước tiểu hình thành sỏi.

Sỏi niệu gặp ở mọi lứa tuổi, từ trẻ em đến người lớn. Độ tuổi thường gặp nhất từ 40 - 70 tuổi. Triệu chứng nổi bật là đau tức vùng hông lưng, tiểu máu. Tuy nhiên khoảng 30% trường hợp sỏi thận diễn tiến âm thầm không triệu chứng đặc hiệu. Người bệnh chỉ phát hiện được khi sỏi đã gây các biến chứng như mủ thận, suy thận, sốc nhiễm trùng,…

Vì vậy, bác sĩ khuyến cáo, để phát hiện sớm sỏi niệu, người dân cần thường xuyên kiểm tra sức khỏe định kỳ. Siêu âm bụng là phương tiện tầm soát giúp phát hiện sớm sỏi niệu tốt nhất.

Đặc biệt, “biện pháp duy nhất để phòng ngừa sỏi niệu là nên uống nhiều nước, trung bình mỗi ngày nên uống từ 1,5-2 lít nước”, bác sĩ Đức khuyến cáo.
VIETBF Diễn Đàn Hay Nhất Của Người Việt Nam

HOT NEWS 24h

HOT 3 Days

NEWS 3 Days

HOT 7 Days

NEWS 7 Days

HOME

Breaking News

VietOversea

World News

Business News

Car News

Computer News

Game News

USA News

Mobile News

Music News

Movies News

History

Thơ Ca

Sport News

Stranger Stories

Comedy Stories

Cooking Chat

Nice Pictures

Fashion

School

Travelling

Funny Videos

Canada Tin Hay

USA Tin Hay

VietBF Homepage Autoscroll

VietBF Video Autoscroll Portal

Home Classic

Home Classic Master Page



sunshine1104
R10 Vô Địch Thiên Hạ
Release: 10-19-2016
Reputation: 25190


Profile:
Join Date: Feb 2015
Posts: 79,960
Last Update: None Rating: None
Attached Thumbnails
Click image for larger version

Name:	2.3.jpg
Views:	0
Size:	107.5 KB
ID:	950580   Click image for larger version

Name:	2.33.jpg
Views:	0
Size:	101.6 KB
ID:	950581  
sunshine1104_is_offline
Thanks: 4
Thanked 4,051 Times in 3,567 Posts
Mentioned: 4 Post(s)
Tagged: 0 Thread(s)
Quoted: 22 Post(s)
Rep Power: 91
sunshine1104 Reputation Uy Tín Level 7sunshine1104 Reputation Uy Tín Level 7
sunshine1104 Reputation Uy Tín Level 7sunshine1104 Reputation Uy Tín Level 7sunshine1104 Reputation Uy Tín Level 7sunshine1104 Reputation Uy Tín Level 7sunshine1104 Reputation Uy Tín Level 7sunshine1104 Reputation Uy Tín Level 7sunshine1104 Reputation Uy Tín Level 7sunshine1104 Reputation Uy Tín Level 7sunshine1104 Reputation Uy Tín Level 7sunshine1104 Reputation Uy Tín Level 7sunshine1104 Reputation Uy Tín Level 7sunshine1104 Reputation Uy Tín Level 7sunshine1104 Reputation Uy Tín Level 7sunshine1104 Reputation Uy Tín Level 7sunshine1104 Reputation Uy Tín Level 7sunshine1104 Reputation Uy Tín Level 7sunshine1104 Reputation Uy Tín Level 7sunshine1104 Reputation Uy Tín Level 7sunshine1104 Reputation Uy Tín Level 7
 
User Tag List


Bài học Nokia giữa mùa đông Phần Lan: Thua từ bên trong trước khi thua thị trường Liuzhi – Bóng tối mới phủ xuống giới doanh nhân Trung Quốc 5 tiểu bang vàng cho nghề nail – hair – spa của người Việt tại Mỹ
Phố Tây Bùi Viện náo nhiệt và bóng dáng nhà canh tân cuối thế kỷ XIX Từ mafia thuốc lá đến tú bà Chemnitz: Vết nhơ kéo dài của một bộ phận người Việt Đông Đức Khi xe Trung Quốc viết lại trật tự ngành ô tô thế giới
Dự luật ‘một quốc tịch Mỹ’: ồn ào trên mặt báo, nhưng rất khó thành hiện thực Netflix nuốt chửng Warner Bros: Địa chấn 72 tỷ đô làm rung chuyển Hollywood Apple rung chuyển: Lãnh đạo lần lượt ra đi, Tim Cook trước cơn bão AI
Kế hoạch y tế mới của Trump: Chưa kịp ra mắt đã vỡ trận ngay trong nội bộ Cộng Hòa Cuộc trả thù chính trị của Trump: Từ vụ Comey, Letitia James đến đòn nhắm vào Mark Kelly Cơn say trên mây: Ai chịu trách nhiệm về hành khách nhậu nhẹt trên máy bay?
Giáng Sinh thắt lưng buộc bụng mà vẫn đủ ấm và đủ vui Mùa mua sắm Giáng Sinh 2025: Kinh tế chữ K và ảo giác “chi tiêu vẫn tăng” DOGE – thí nghiệm quyền lực thất bại của Trump và Musk
Ukraine, Trump và bản hòa ước mong manh giữa tiếng drone gầm rú Dũng Taylor: Căng thẳng đỉnh điểm giữa người Việt MAGA và người Việt Dân Chủ Hùng Cao về thăm Việt Nam: Từ đứa bé tị nạn đến kiến trúc sư an ninh Thái Bình Dương
“Ngày Tri Ân Trump” ở Little Saigon: khi tượng đài chiến sĩ bị biến thành sân khấu chính trị “Giải thưởng Neville Chamberlain” cho Trump và bản thỏa thuận 28 điểm bẩn thỉu Biển lửa Hồng Kông: giàn giáo tre bốc cháy, chung cư Tai Po hóa địa ngục giữa trời
Từ iPod đến “Delete Day”: Hành trình Gabriela Nguyễn thoát khỏi cơn nghiện mạng xã hội “Cha già dân tộc” đã khép lại: khi thần tượng chính trị bị kéo xuống mặt đất DOGE đã chết: “cải cách” 135 tỷ đô la đốt sạch tiền thuế của người Mỹ
VinFast VF 8 ở Mỹ: từ cáo buộc “sạc rùa bò” đến nguy cơ mất lái và lệnh triệu hồi hàng loạt Trump, Putin và ván cờ hòa bình Ukraine: khi “hạn chót” chỉ còn là lời nói gió bay 1.000 tỷ USD bốc hơi: Bitcoin bước vào thời kỳ ‘dành cho người thường’ và cơn say tiền số tan vỡ

 
Lên đầu Xuống dưới Lên 3000px Xuống 3000px

iPad Videos Portal Autoscroll

VietBF Music Portal Autoscroll

iPad News Portal Autoscroll

VietBF Homepage Autoscroll

VietBF Video Autoscroll Portal

USA News Autoscroll Portall

VietBF WORLD Autoscroll Portal

Home Classic

Super Widescreen

iPad World Portal Autoscroll

iPad USA Portal Autoscroll

Phim Bộ Online

Tin nóng nhất 24h qua

Tin nóng nhất 3 ngày qua

Tin nóng nhất 7 ngày qua

Tin nóng nhất 30 ngày qua

Albums

Total Videos Online
Lên đầu Xuống dưới Lên 3000px Xuống 3000px

Tranh luận sôi nổi nhất 7 ngày qua

Tranh luận sôi nổi nhất 14 ngày qua

Tranh luận sôi nổi nhất 30 ngày qua

10.000 Tin mới nhất

Tin tức Hoa Kỳ

Tin tức Công nghệ
Lên đầu Xuống dưới Lên 3000px Xuống 3000px

Super News

School Cooking Traveling Portal

Enter Portal

Series Shows and Movies Online

Home Classic Master Page

Donation Ủng hộ $3 cho VietBF
Lên đầu Xuống dưới Lên 3000px Xuống 3000px
Diễn Đàn Người Việt Hải Ngoại. Tự do ngôn luận, an toàn và uy tín. Vì một tương lai tươi đẹp cho các thế hệ Việt Nam hãy ghé thăm chúng tôi, hãy tâm sự với chúng tôi mỗi ngày, mỗi giờ và mỗi giây phút có thể. VietBF.Com Xin cám ơn các bạn, chúc tất cả các bạn vui vẻ và gặp nhiều may mắn.
Welcome to Vietnamese American Community, Vietnamese European, Canadian, Australian Forum, Vietnamese Overseas Forum. Freedom of speech, safety and prestige. For a beautiful future for Vietnamese generations, please visit us, talk to us every day, every hour and every moment possible. VietBF.Com Thank you all and good luck.

Lên đầu Xuống dưới Lên 3000px Xuống 3000px

All times are GMT. The time now is 22:54.
VietBF - Vietnamese Best Forum Copyright ©2005 - 2025
User Alert System provided by Advanced User Tagging (Pro) - vBulletin Mods & Addons Copyright © 2025 DragonByte Technologies Ltd.
Log Out Unregistered

Page generated in 0.13563 seconds with 15 queries